Länder
Kontakt
Newsletter
Shop
Be part of it
Fall des Monats

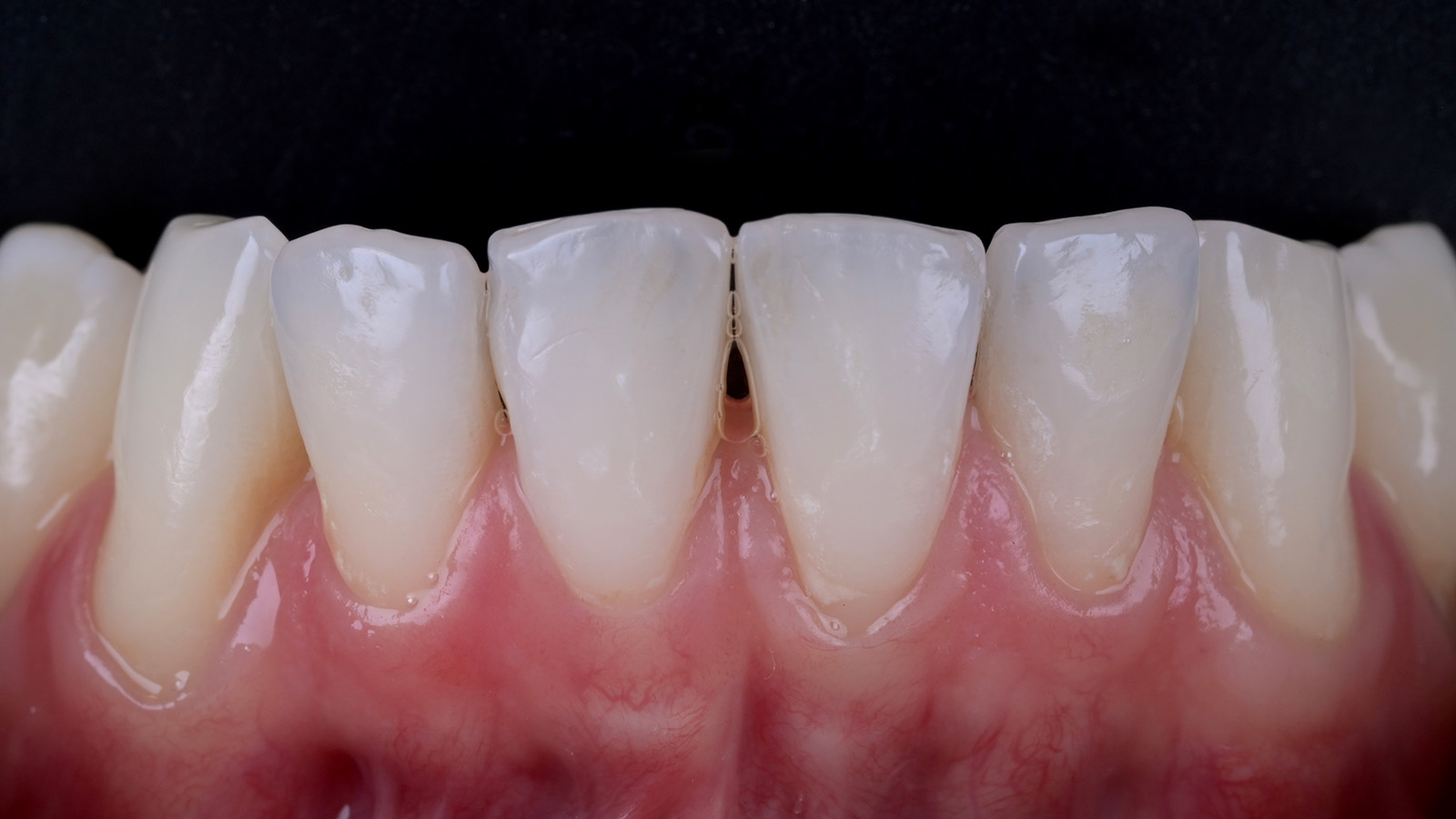
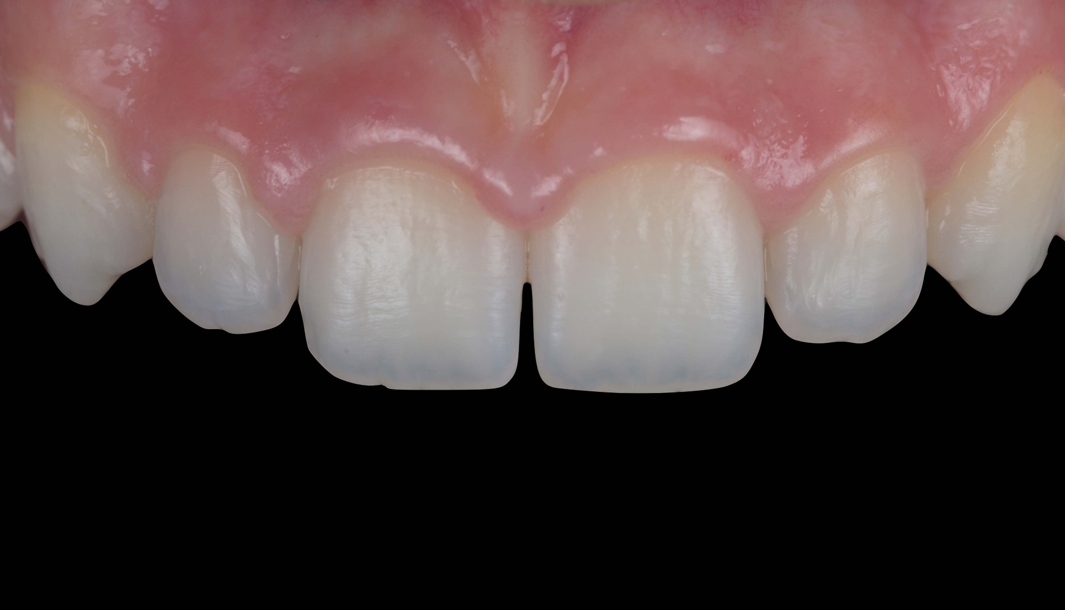
Ein weiterer beeindruckender Fall mit den neuen Venus Diamond Flow Pure Shades

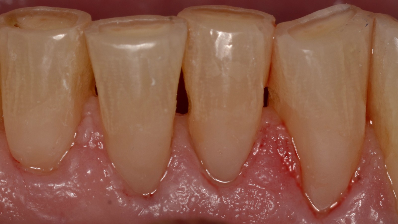
Schauen Sie sich diese Restauration zervikaler Läsionen im Unterkiefer durch Dr. Lichtblau an!

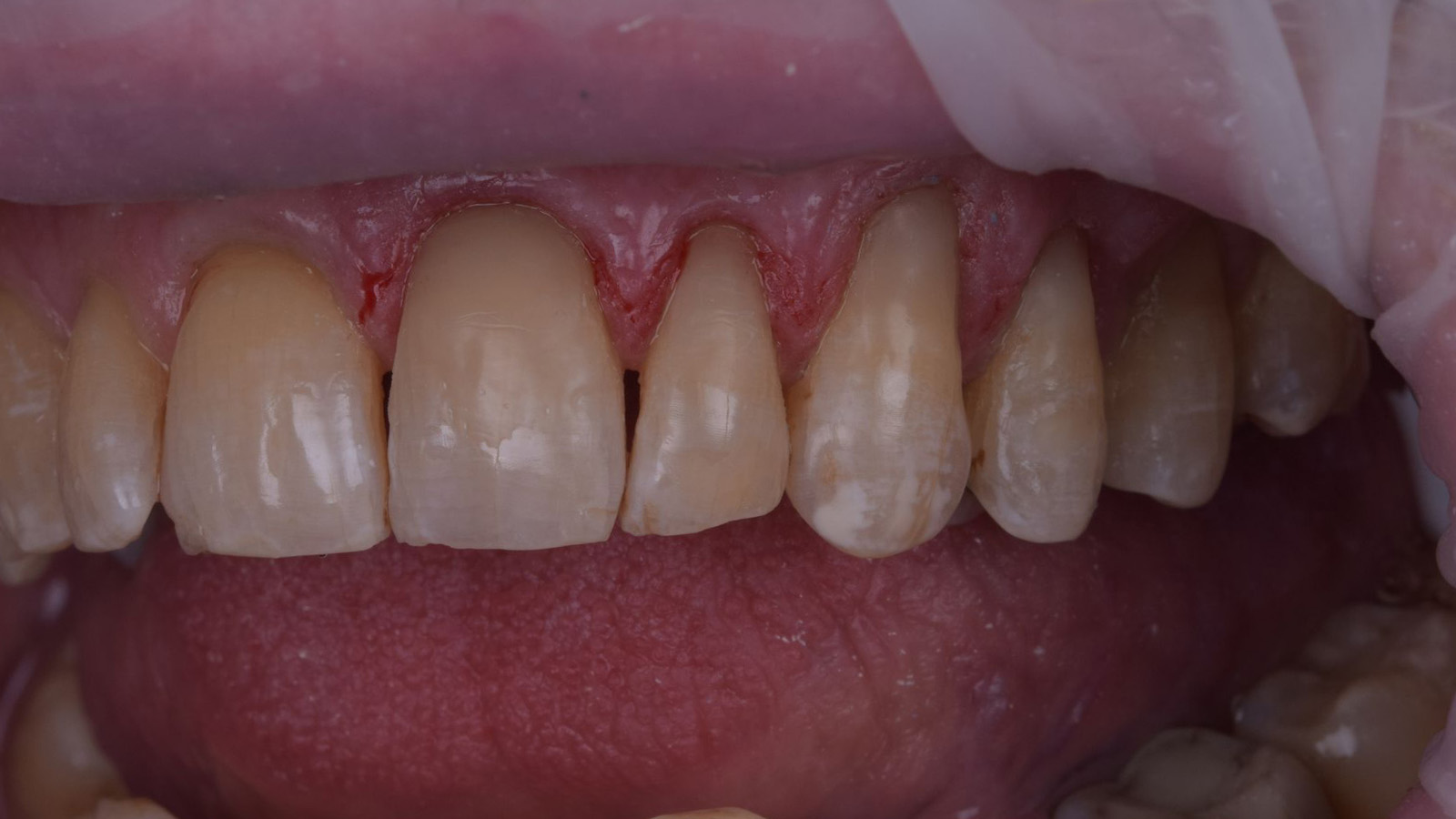
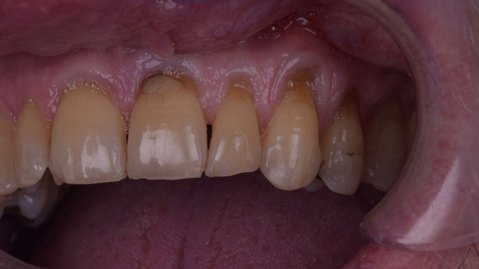
Vorher
Nachher

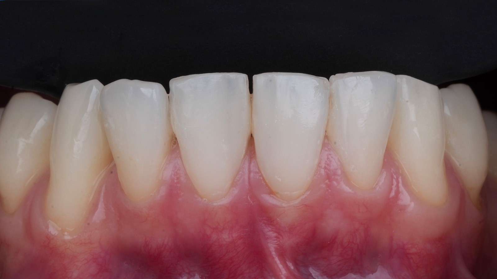
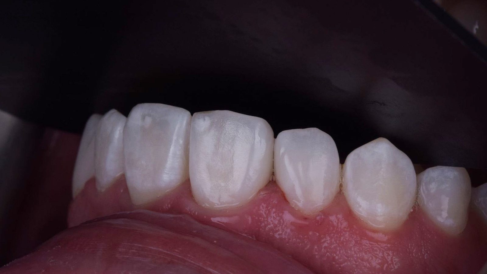
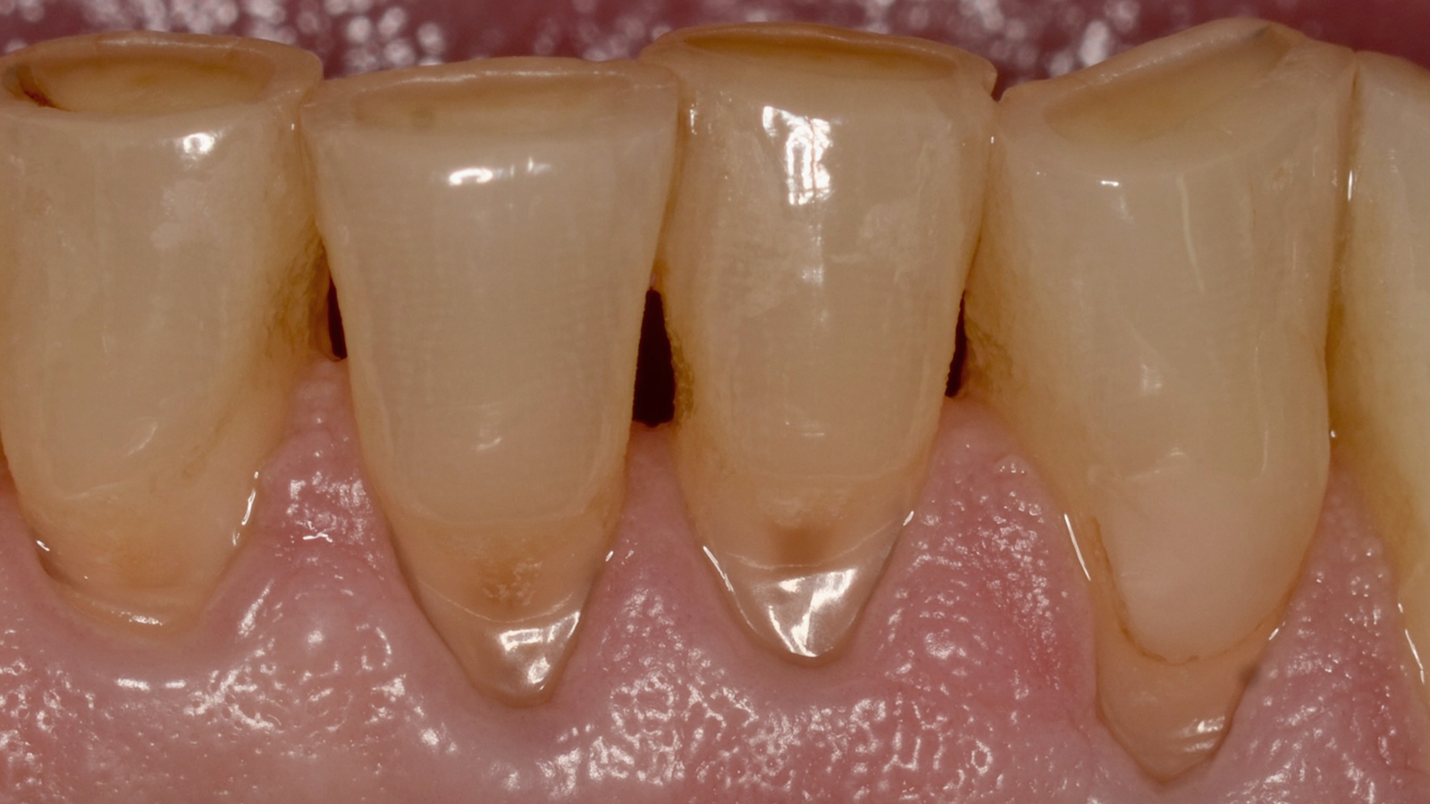
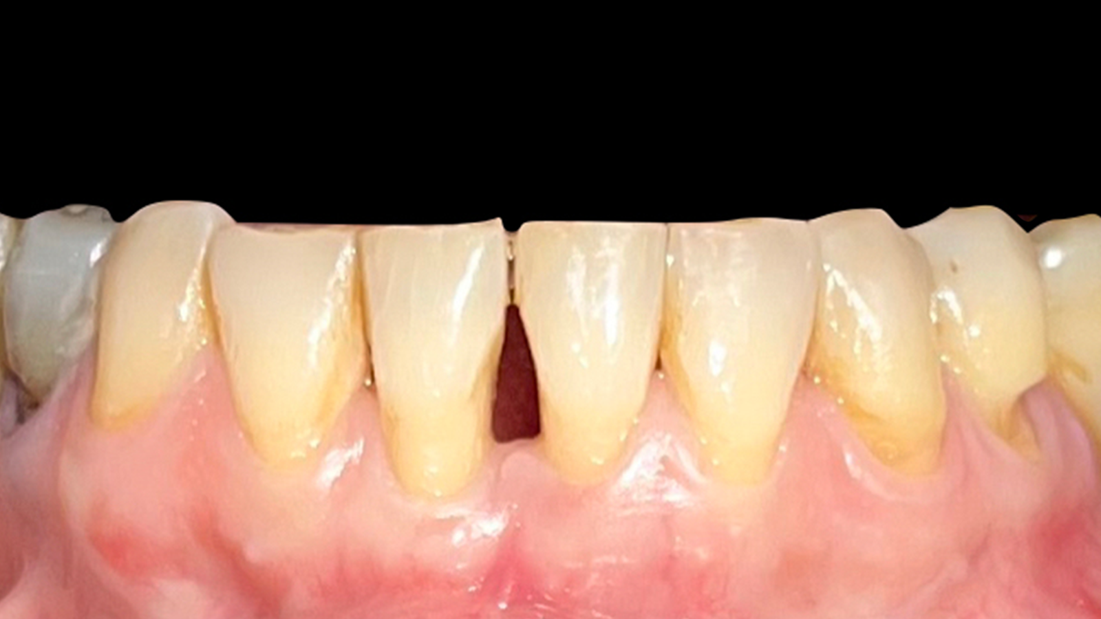
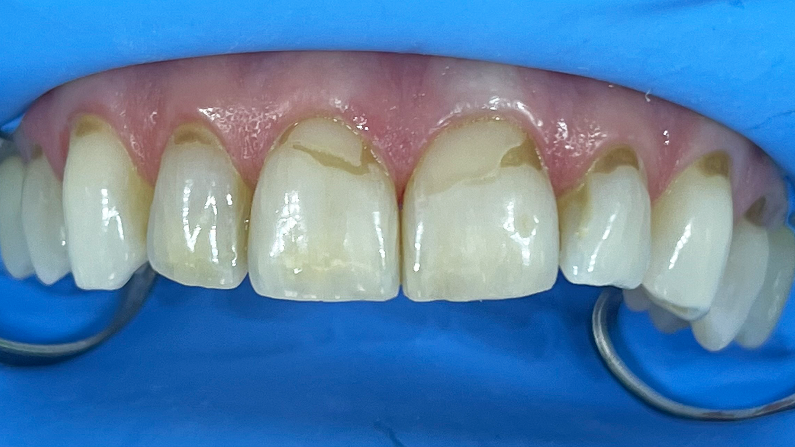
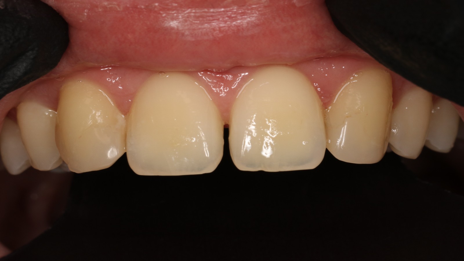
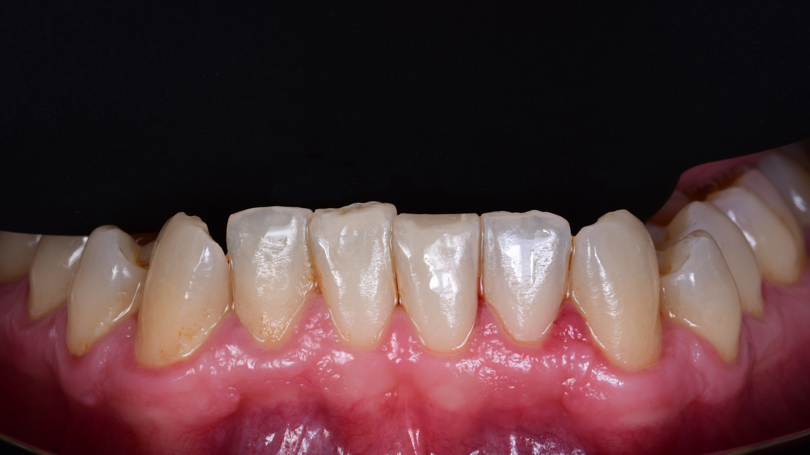
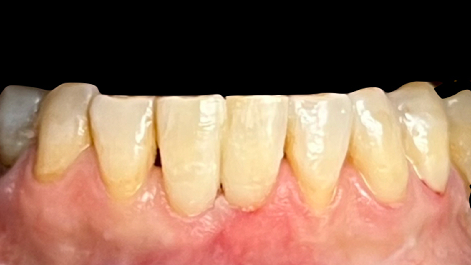
Wiederherstellung von zervikalen Läsionen im Unterkiefer mit Venus Diamond Flow DARK (Dr. Christoph Lichtblau).

Fälle mit den effizienten Venus Pure Shades
Fälle mit den effizienten Venus Pure Shades
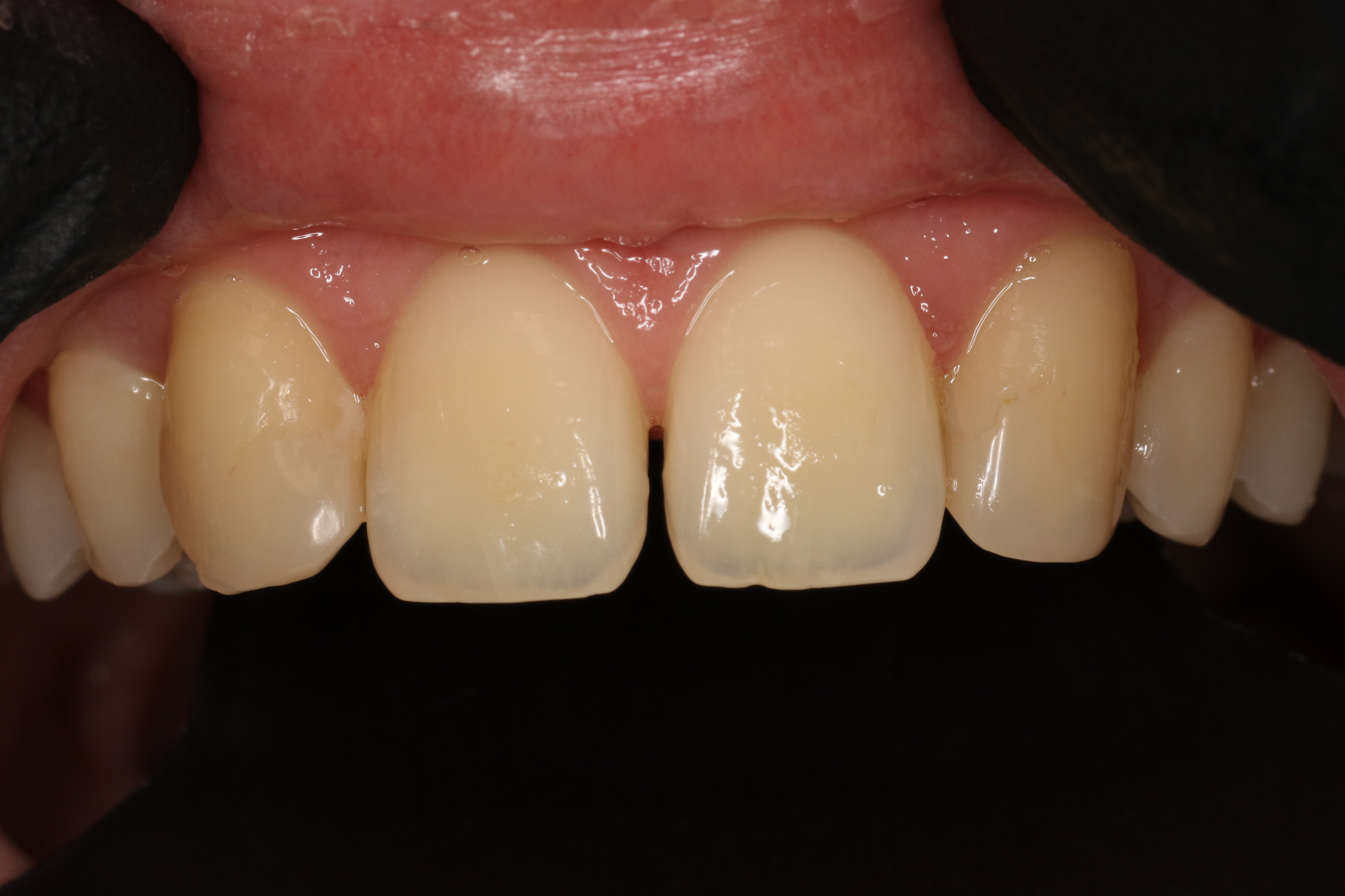
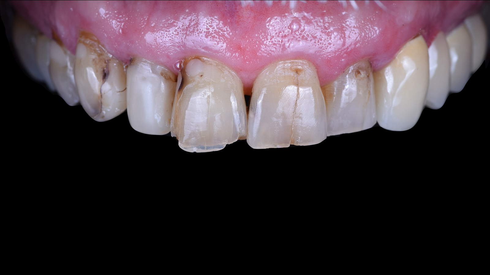
Vorher
Nachher

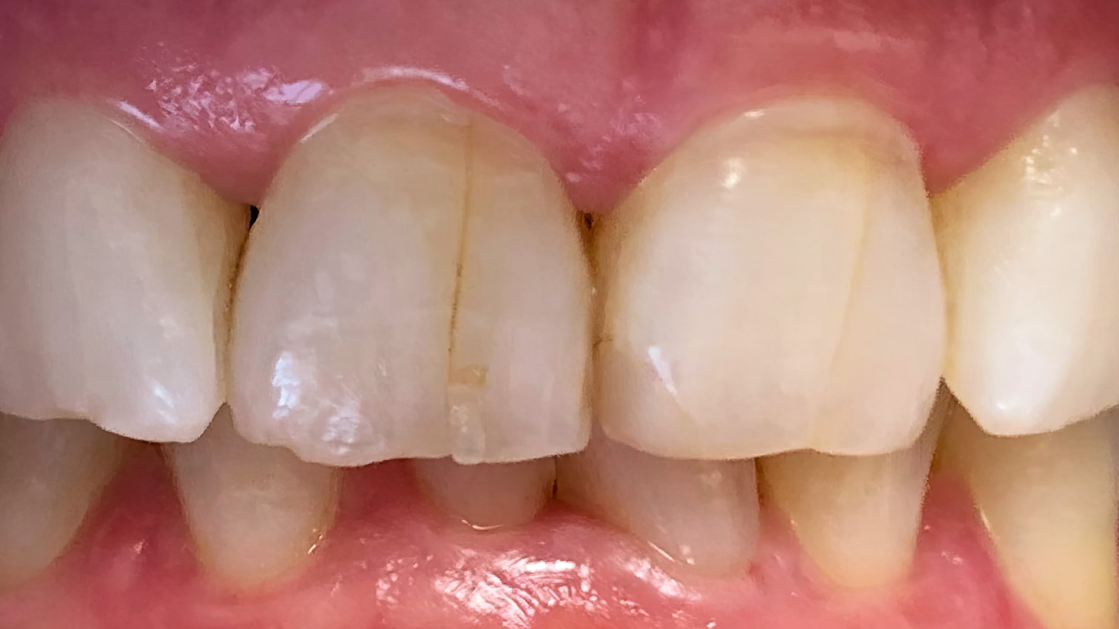
Die Zähne 15 bis 22 wurden in monochromatischer Schichtung mit Venus Pearl DARK, Venus Diamond OMC und Venus Supra rekonstruiert. Zahn 12 wurde mit OMC abgedeckt, um dunkle Bereiche zu kaschieren. (Dr. Vegard Berg).

Vorher
Nachher

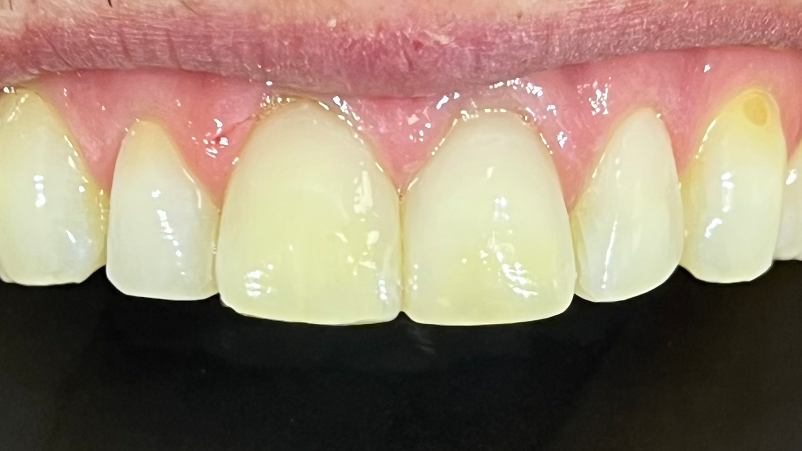
Schließung des medialen Diastemas im Unterkiefer mit Venus Pearl LIGHT & Venus Diamond Flow LIGHT (Dr. Edoardo Fossati).

Vorher
Nachher

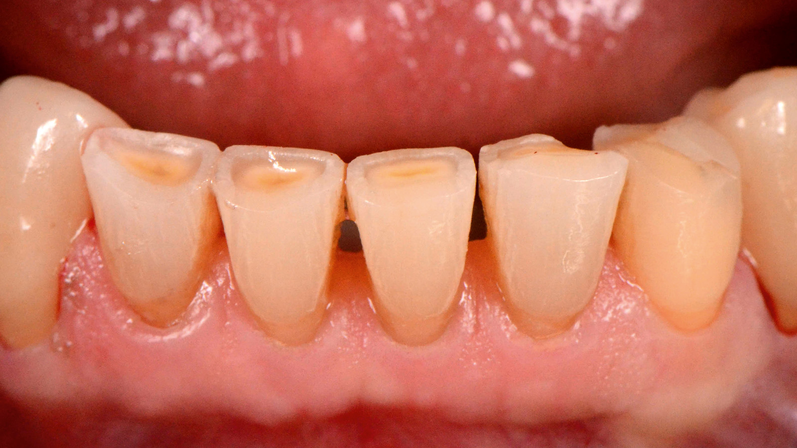
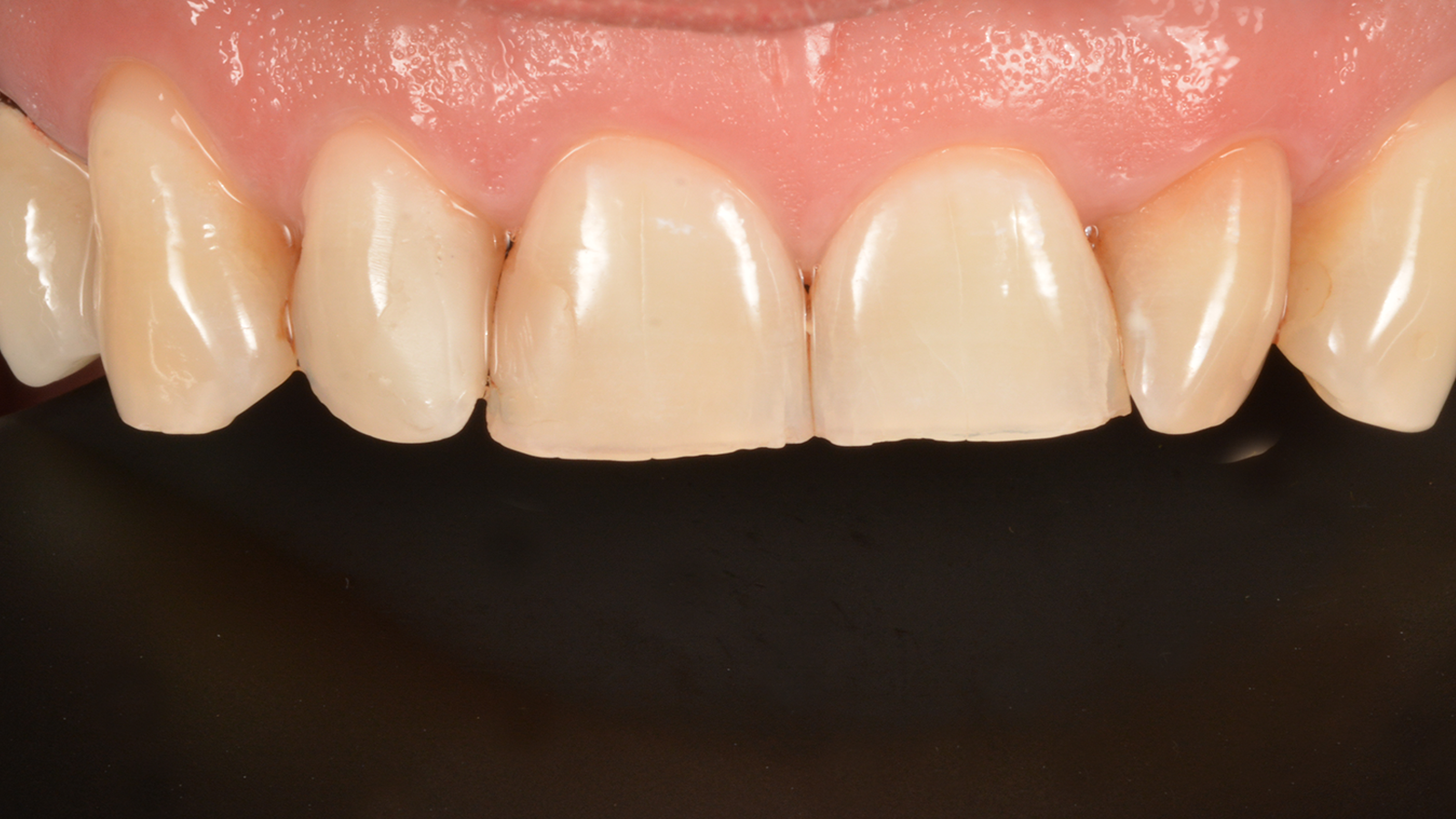
Die Umformung von Zahn 12 wurde mit dem Venus Diamond Flow Pure LIGHT in monochromatischer Schichtung durchgeführt. (Dr. Mahmoud Ibrahim).

Vorher
Nachher

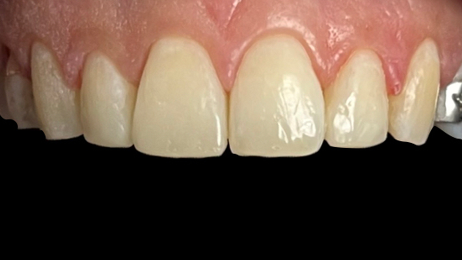
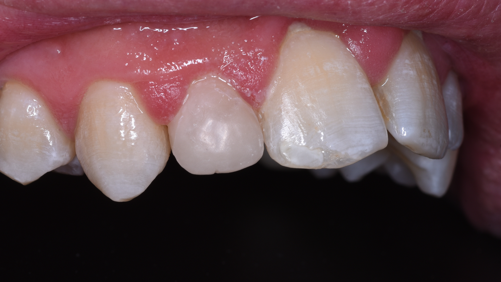
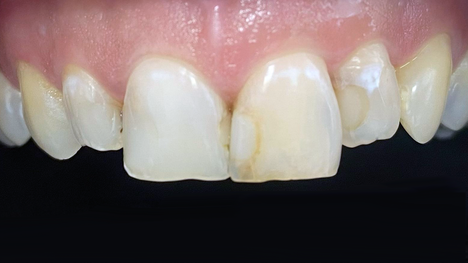
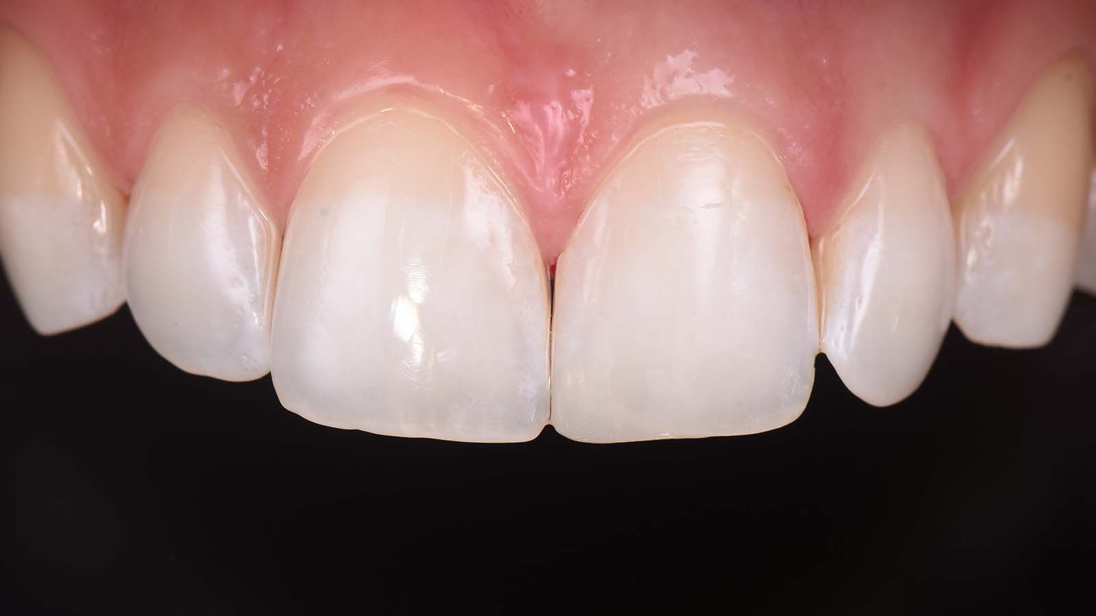
Wiederherstellung von Läsionen im Bereich des Oberkiefers mit Venus Diamond Flow DARK (Dr. Mahmoud Ibrahim).

Vorher
Nachher

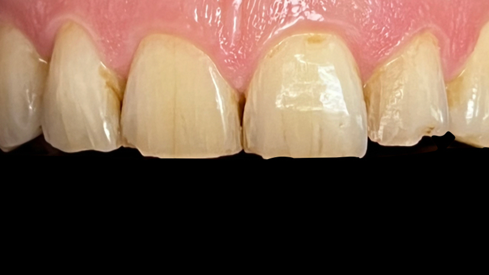
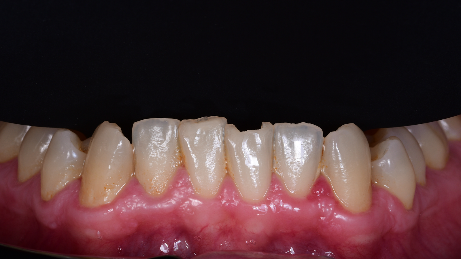
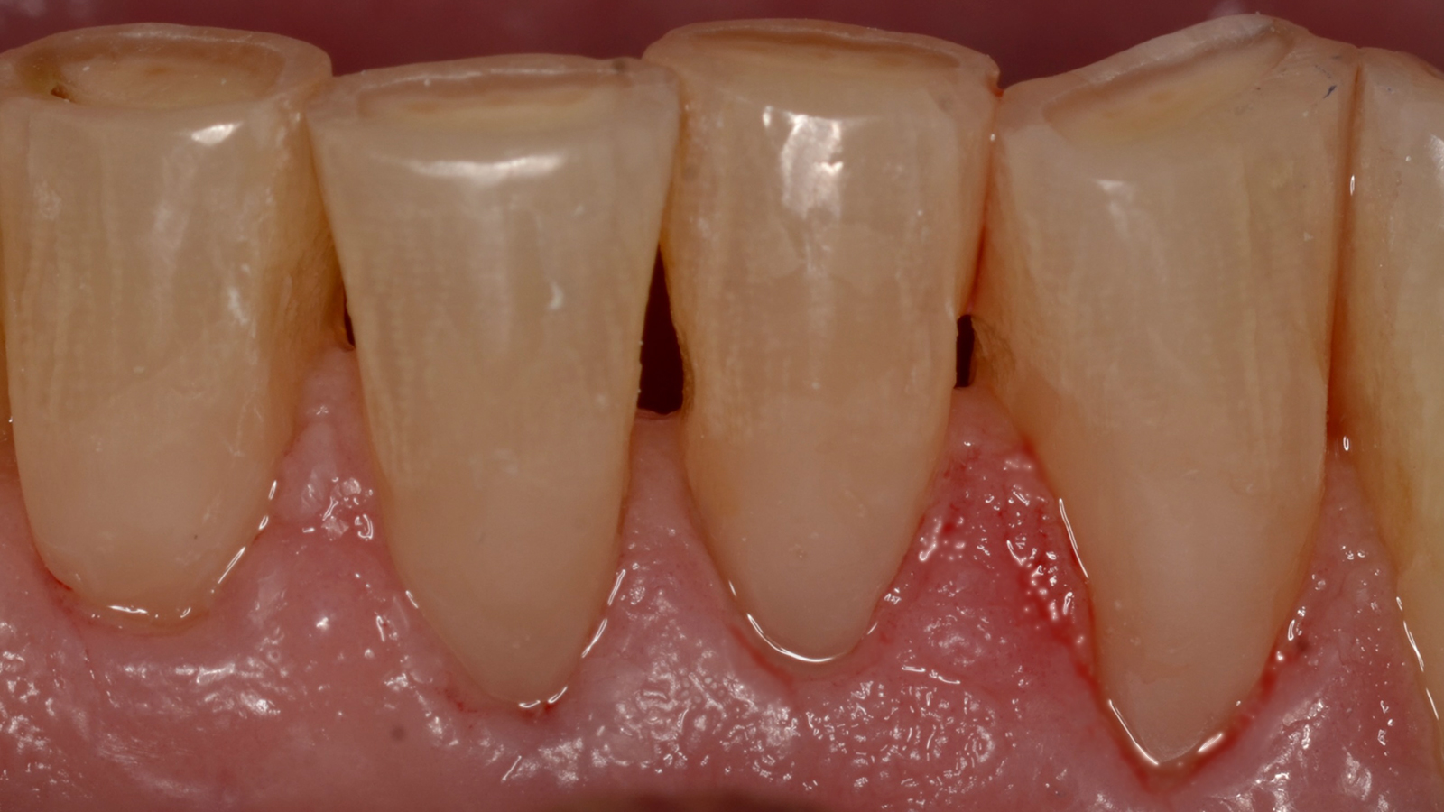
Wiederherstellung von zervikalen Läsionen im Unterkiefer mit Venus Diamond Flow DARK (Dr. Christoph Lichtblau).

Vorher
Nachher

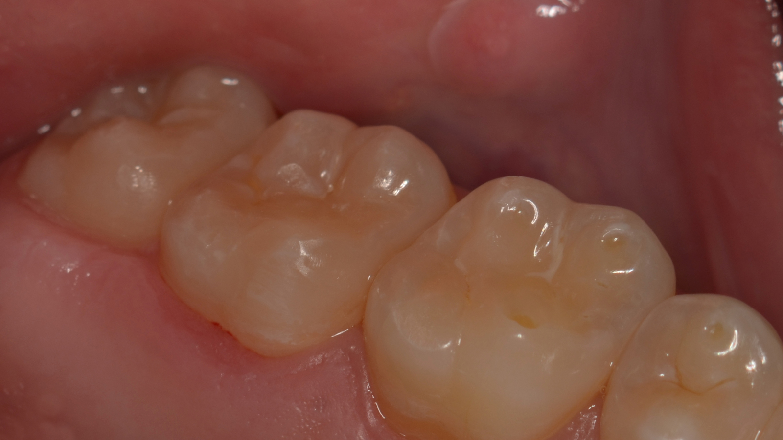
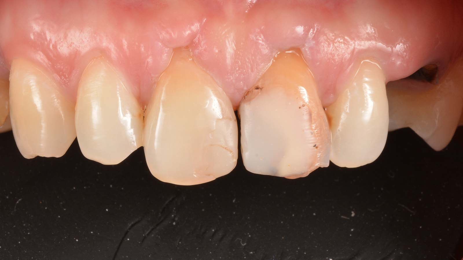
Rekonstruktion einer kariösen Läsion im oberen Backenzahn mit Venus Diamond Flow MEDIUM & iBOND Universal (Dr. Christoph Lichtblau).

Vorher
Nachher

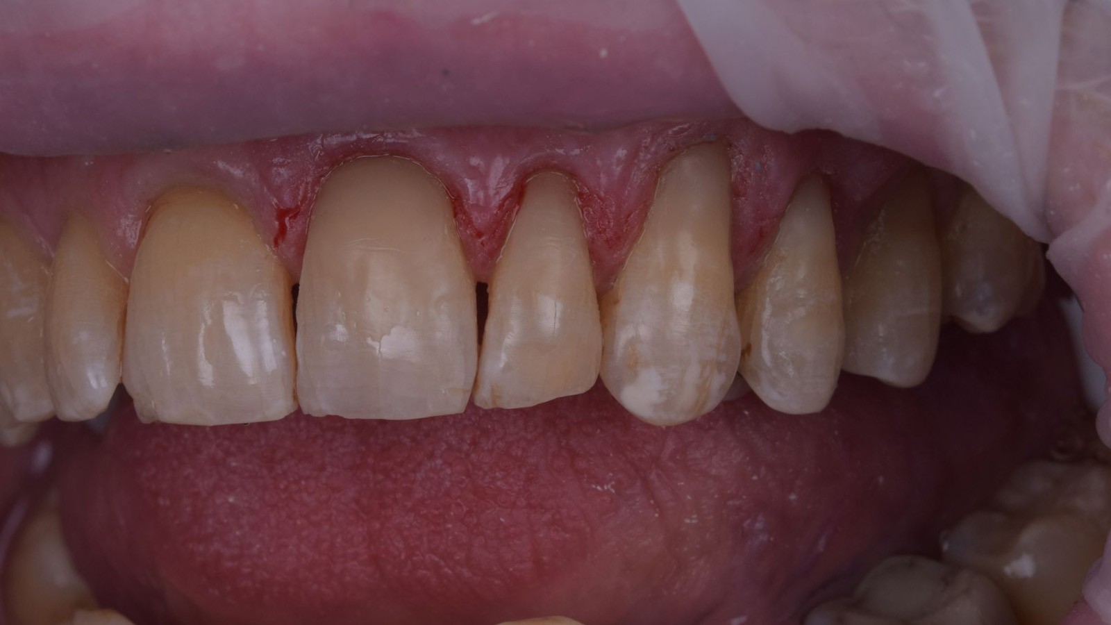
Dieser monochromatische Diastemaverschluss erfüllt den Wunsch der Patienten nach einer schnellen und zuverlässigen Lösung mit Venus Pearl LIGHT (Dr. Jukka Paakkanen).

Vorher
Nachher

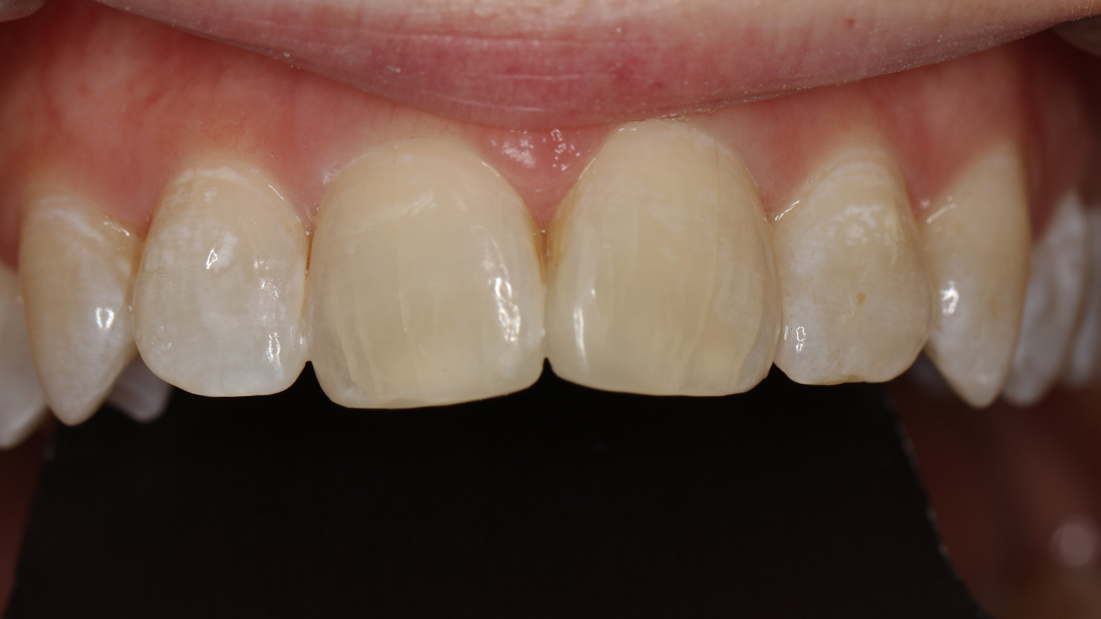
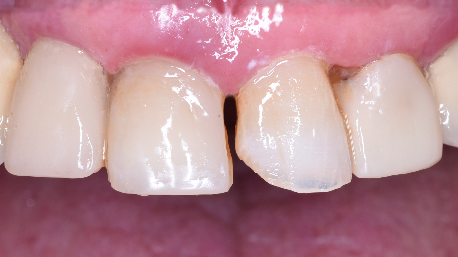
Schnelle monochromatische Lösung bei abgesplitterten oberen, inneren Schneidezähnen mit Venus Pearl MEDIUM (Dr. Jukka Paakkanen)

Vorher
Nachher

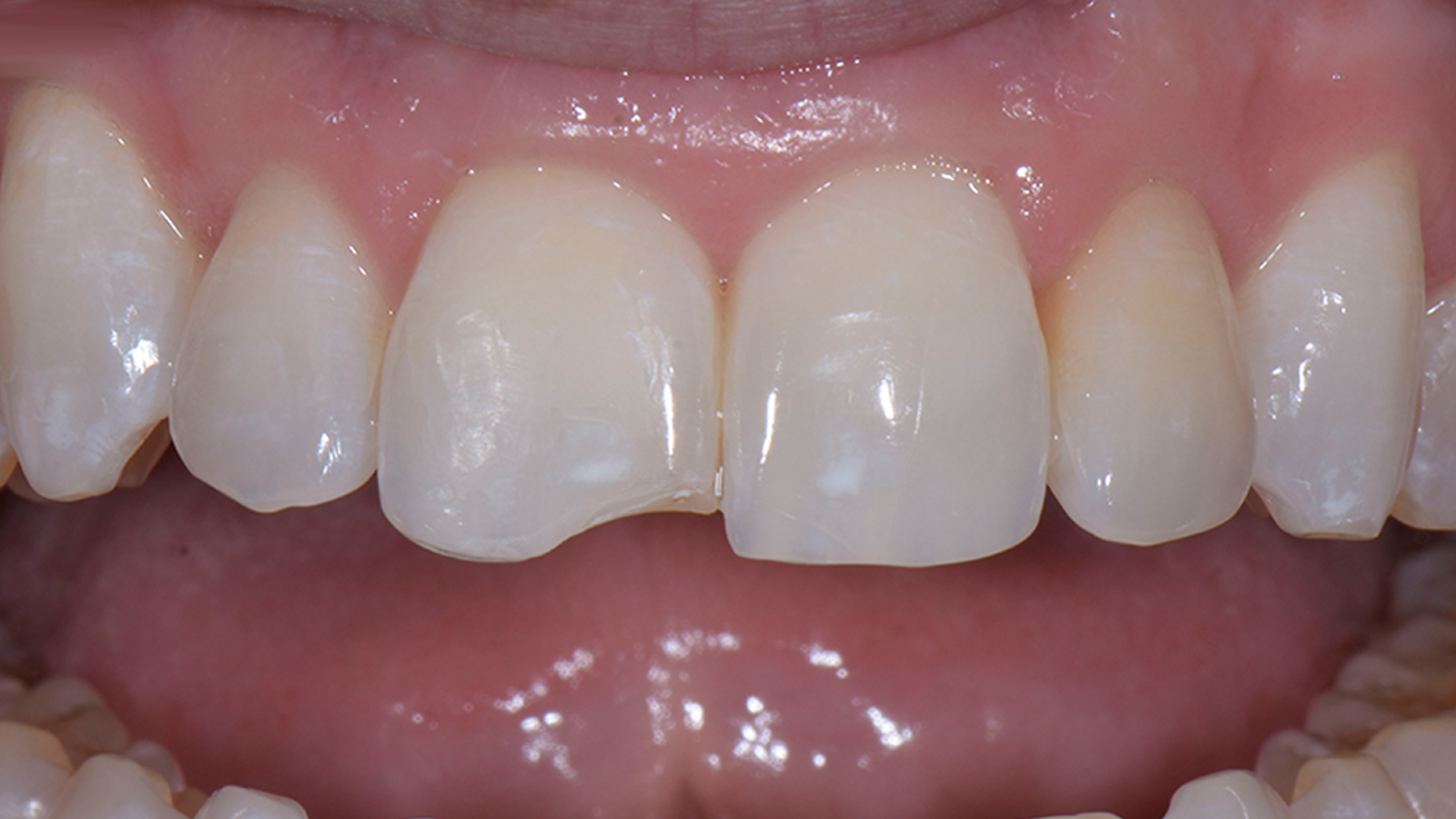
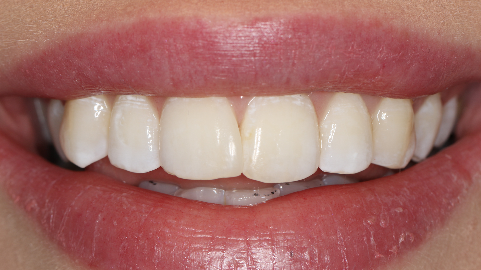
Monochromatische Korrektur eines kleinen Chips an Zahn 11 mit Venus Pearl LIGHT (Dr. Jukka Paakkanen).

Vorher
Nachher

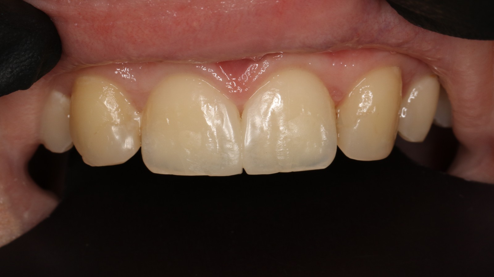
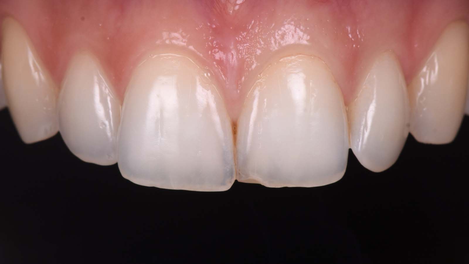
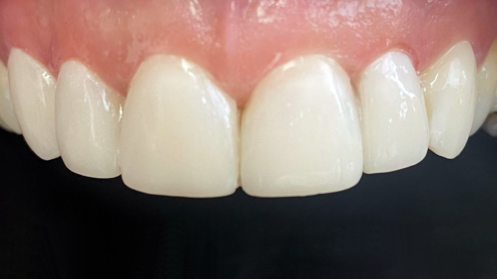
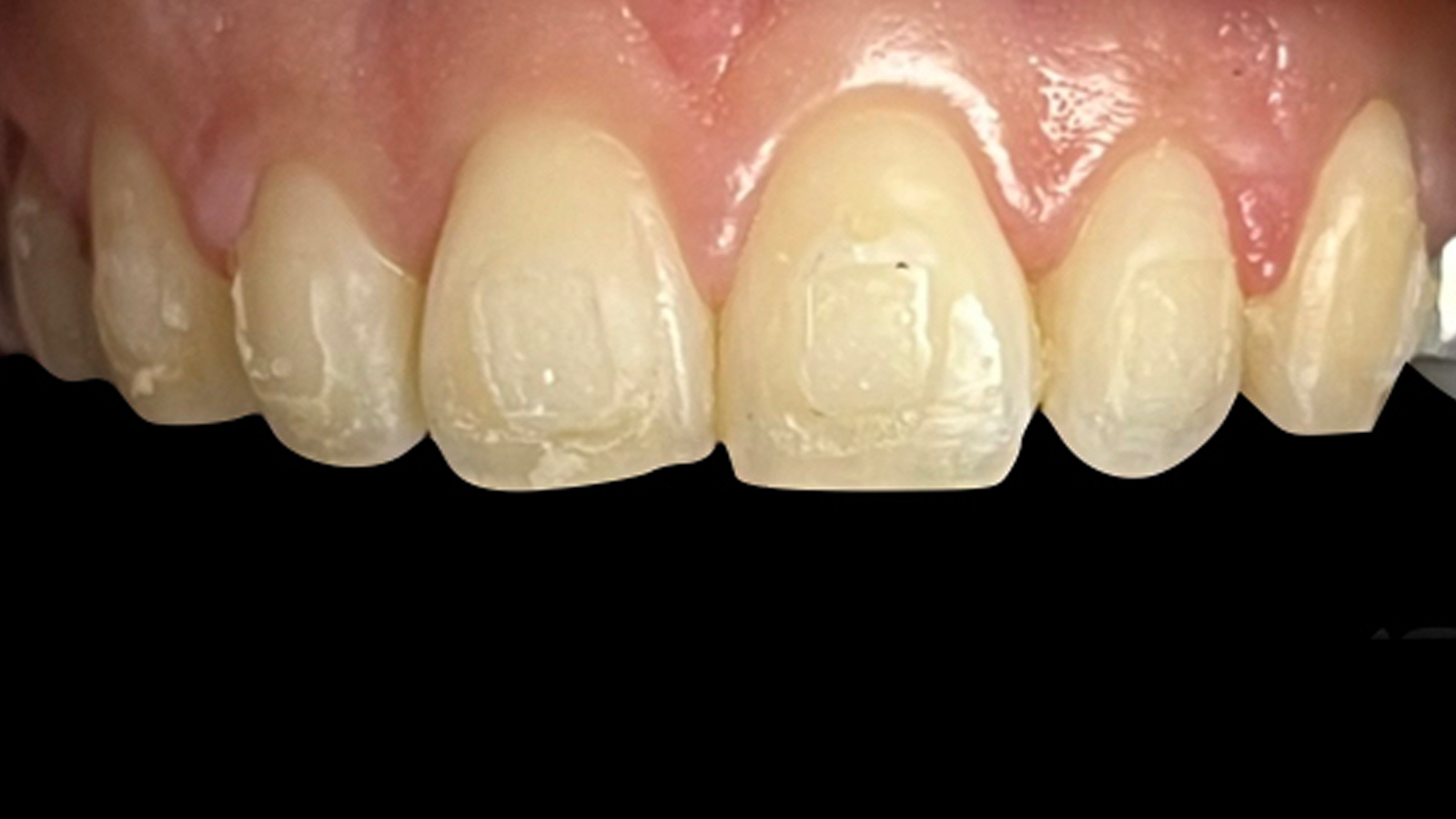
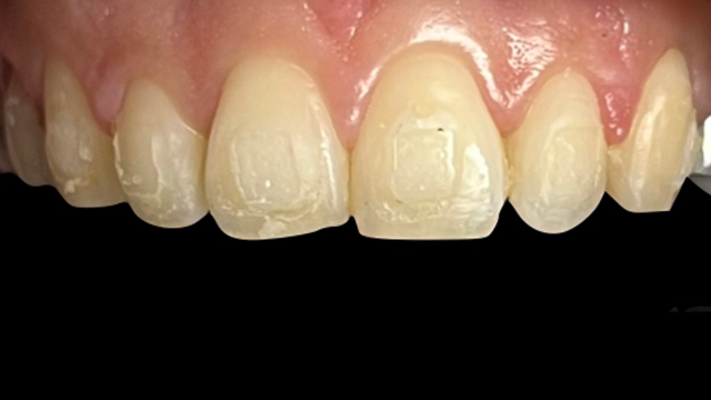
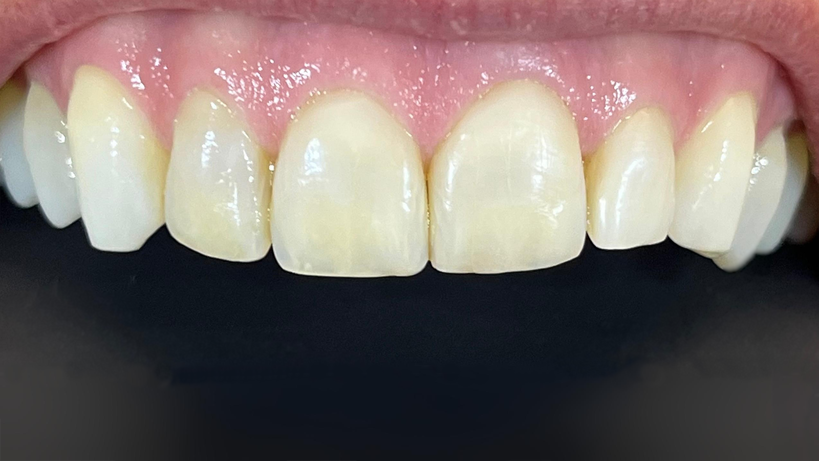
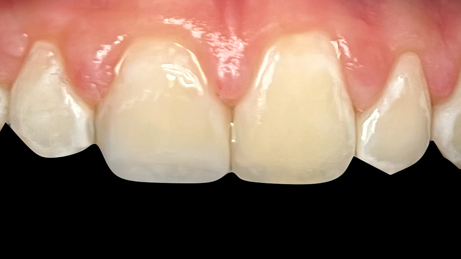
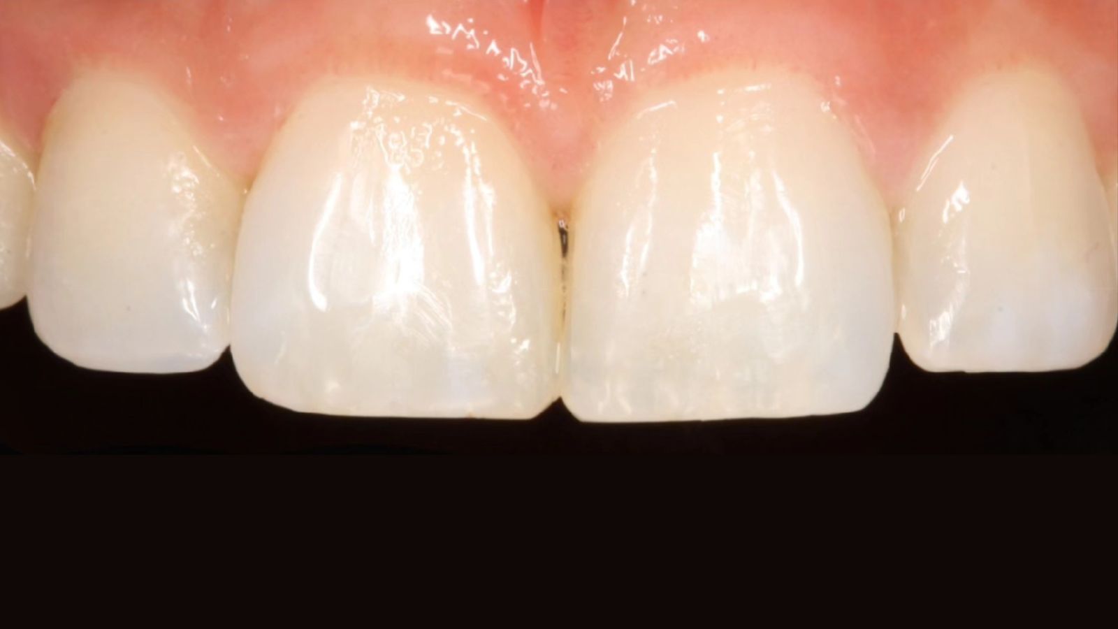
Minimalinvasive monochromatische ästhetische Rekonstruktion der oberen Schneidezähne mit Venus Pearl BLEACH (Dr. Azadeh Balalaie).

Vorher
Nachher

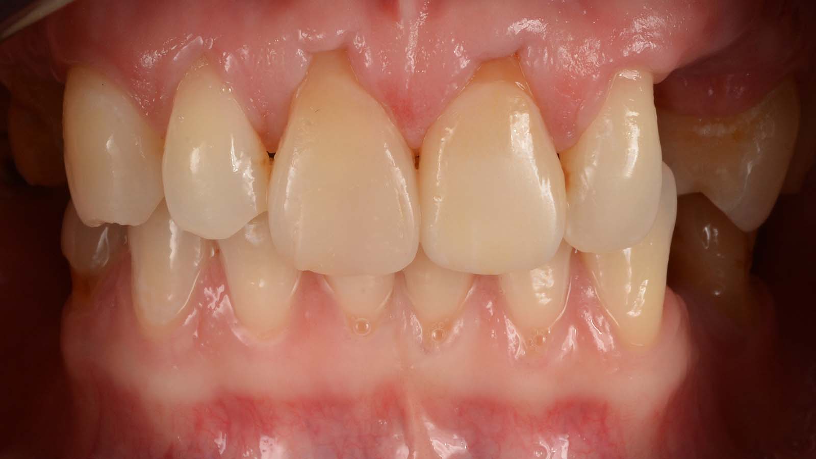
Ästhetische Rekonstruktion von engstehenden Zähnen in der Ober- und Unterkieferfront mit Venus Pearl LIGHT & Venus Color (Dr. Henrik Hjelte).

Vorher
Nachher

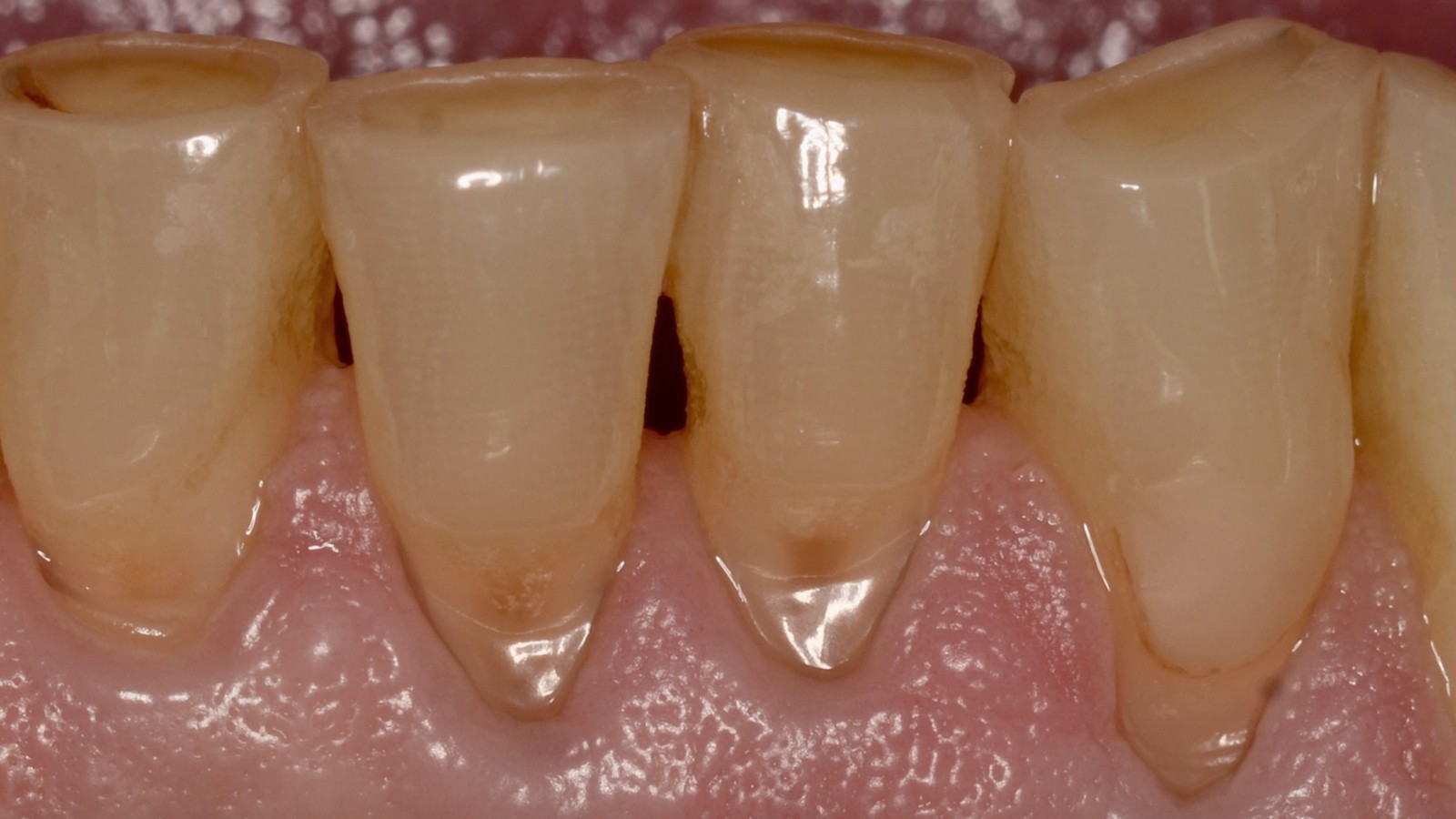
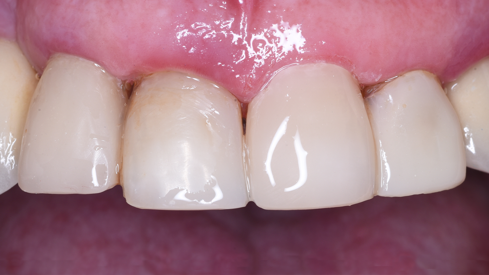
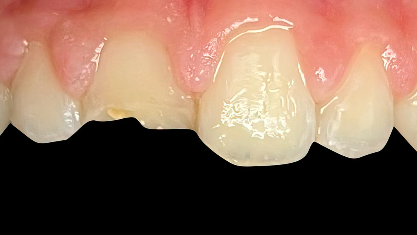
Zervikale Rekonstruktion im oberen Frontbereich mit Venus Pearl LIGHT (Dr. Henrik Hjelte).

Vorher
Nachher

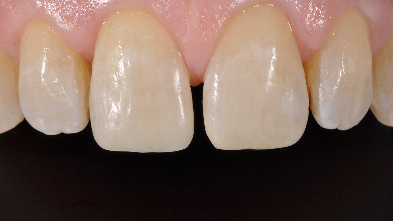
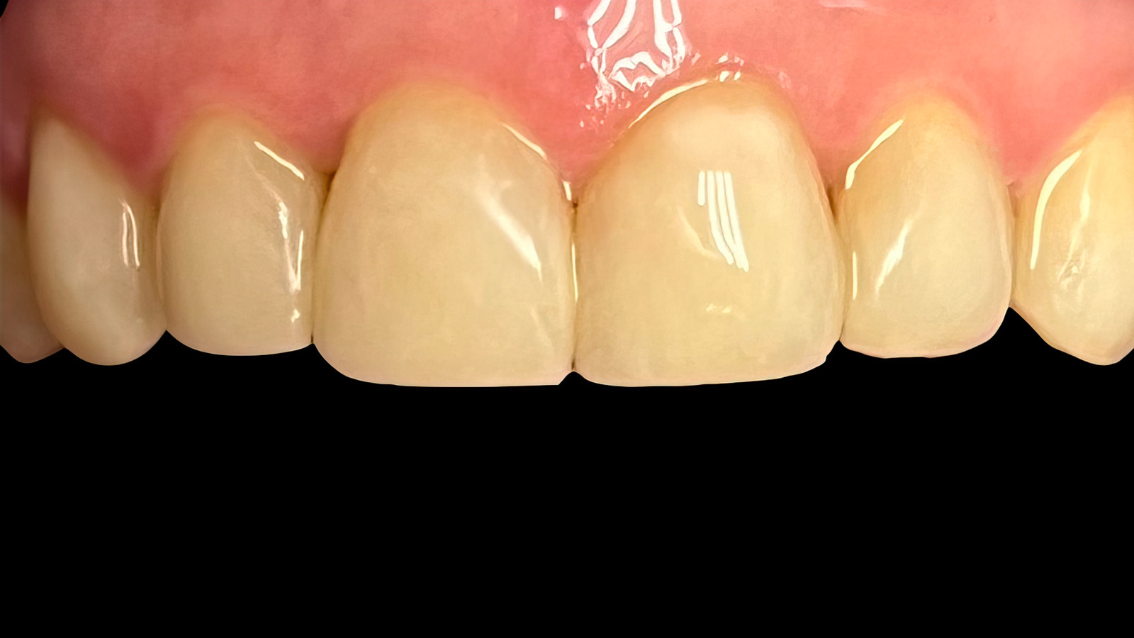
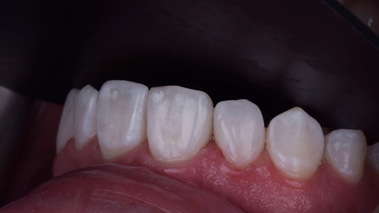
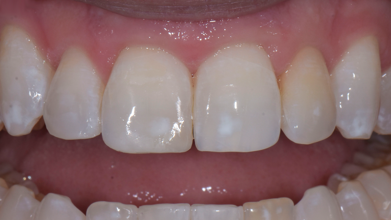
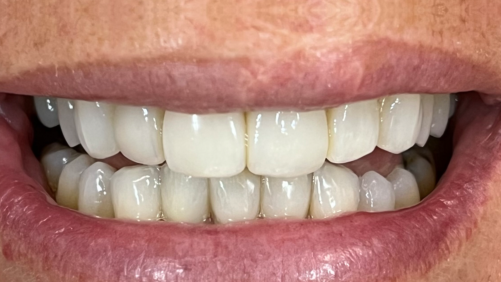
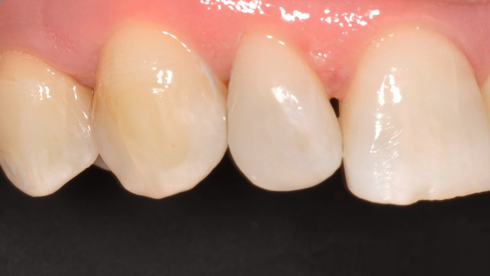
Ästhetische monochromatische Rekonstruktion der Zähne 11, 21 und 22 mit Venus Pearl LIGHT (Dr. Henrik Hjelte).

Before
After

Austausch einer alten Kompositfüllung im oberen linken Schneidezahn mit Ivory Kofferdam, iBOND Universal, Venus Pearl LIGHT & Venus Supra (Dr Laura Mokhtari).

Vorher
Nachher

Restauration der Klasse IV an Zahn 11 nach Fraktur und kosmetische Korrektur an Zahn 12 mit Ivory Rubber Dam, iBOND Universal, Venus Pearl Pure Shades (Farbe: LIGHT) & Venus Supra (Dr. Dimple Desai).

Vorher
Nachher

Direkte Verblendung der Zähne 12 bis 22 mit Venus Pearl Pure Shades / Farbe: MEDIUM (Dr. Dimple Desai).

Vorher
Nachher

Direkte Versorgung der Zähne 11 und 21 - in monochromer Schichtung - nach Inzisalkantenfrakturen mit Venus Pearl Pure Shades / Farbe: MEDIUM (Dr. Alvaro Gusmara)

Vorher
Nachher

Diastemaverschluss an den Zähnen 12 mesial und 22 mesial nach kieferorthopädischer Behandlung mit Venus Pearl Pure Shades / Farbe: LIGHT & Polierer Venus Supra (Dr. Janine Schweppe).

Vorher
Nachher

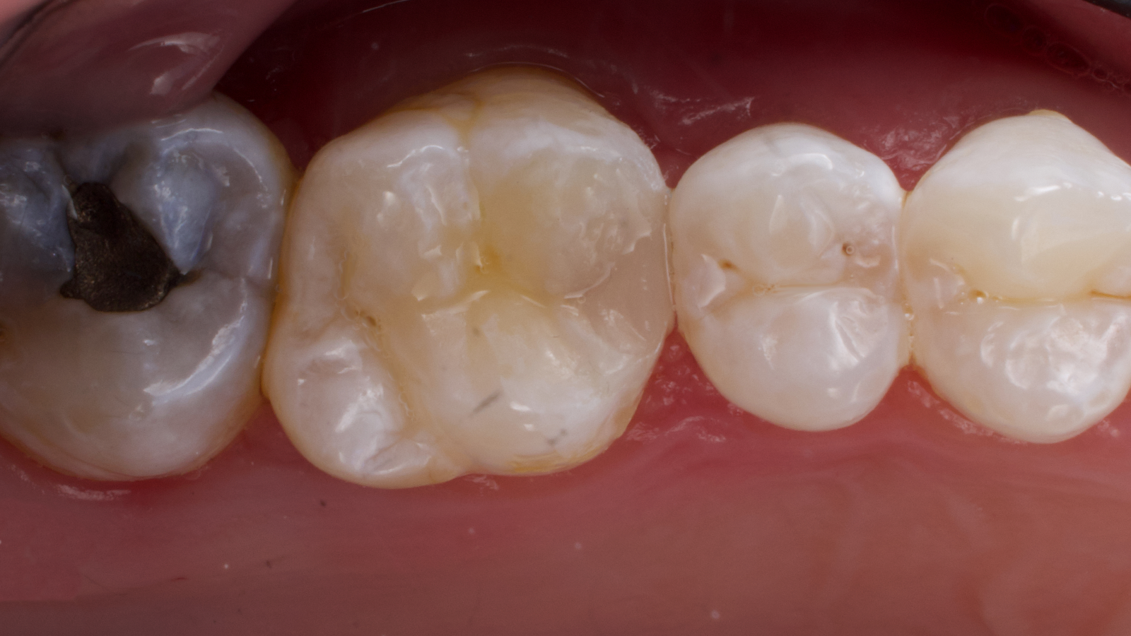
Neue Komposit-Restaurationen an den Zähnen 14od und 15om mit Venus Bulk Flow ONE & Venus Pearl MEDIUM (Dr. Patrik Bargiel).

Vorher
Nachher

Restauration einer kariösen Läsion an Zahn 36 mit dem Bulk-Fill Komposit Venus Bulk Flow ONE (Universalfarbe (A1-D4) & dem Universalkomposit Venus Pearl Pure Shades / Farbe: LIGHT (Dr. Patrik Bargiel).

Vorher
Nachher

Klasse IV Restauration an Zahn 21 mit Venus Pearl Pure Shades / Farbe: MEDIUM nach einem Zahnunfall (Dr. Patrik Bargiel).

Vorher
Nachher

Restauration von zwei zentralen Schneidezähnen (Zähne 11 und 21) mit dem Komposit Venus Pearl Pure Shades / Farbe: MEDIUM. Angefertigt in monochromatischer Schichtung (Dr. Riccardo Baratto).

Vorher
Nachher

Korrekte anatomische und ästhetische Rekonstruktion von Zahn 12 mit Venus Diamond Pure Shades / Farbe: MEDIUM (Dr. Gianluca D'Oria).

Vorher
Nachher

Klasse IV Restauration an Zahn 31 mit Venus Pearl Pure Shades / Farbe: MEDIUM (Barelli Corbo, Federico).

Vorher
Nachher

Klasse IV Restauration an Zahn 21 mit Venus Pearl Pure Shades / Farbe MEDIUM (Dr. Pianticella Corinne).

Vorher
Nachher

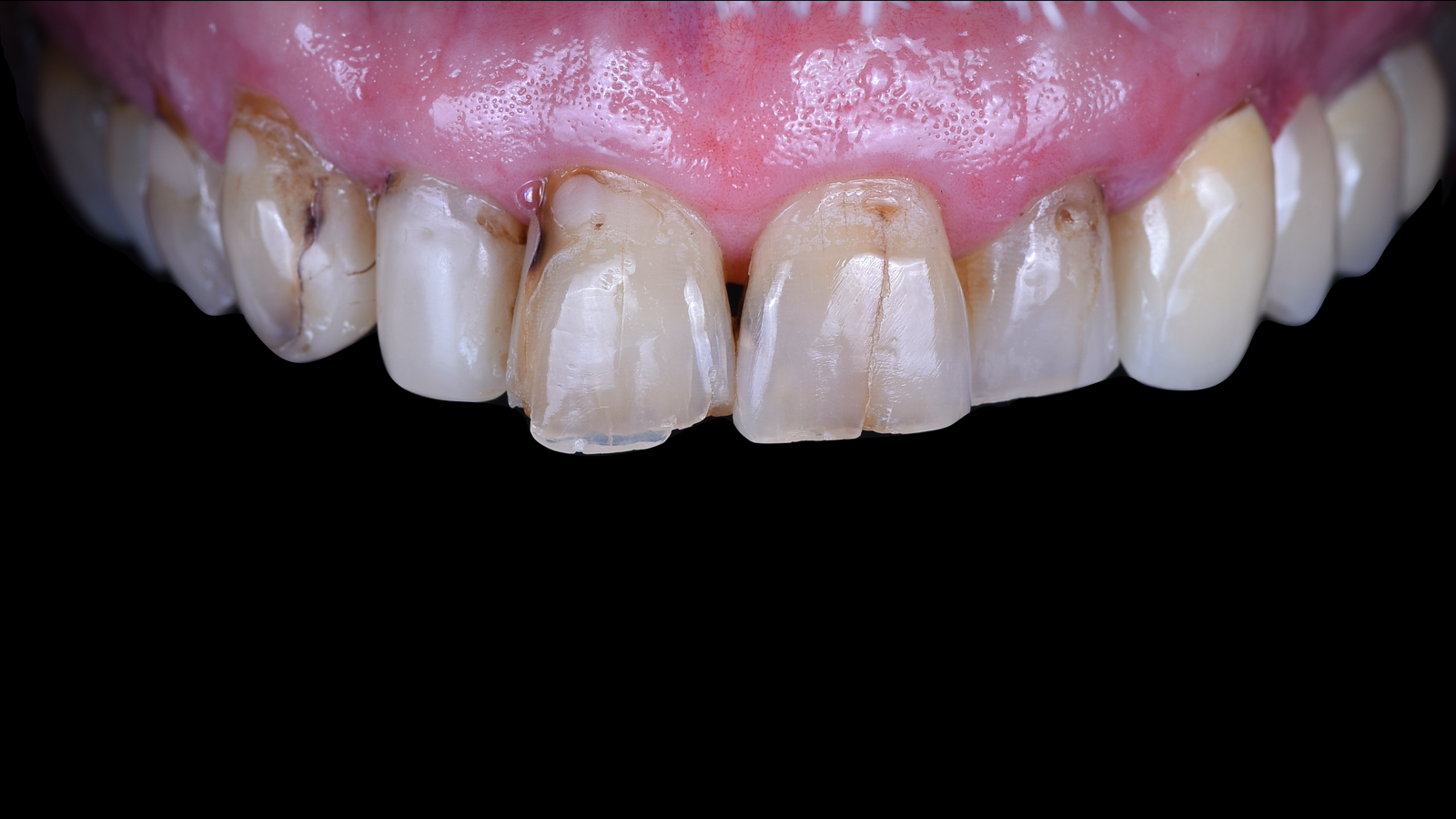
Direkte Versorgung des frakturierten Zahns 12 in monochromatischer Schichtung mit Venus Diamond Pure Shades / Farbe: DARK (Dr. Álvarez Rodríguez).

Vorher
Nachher

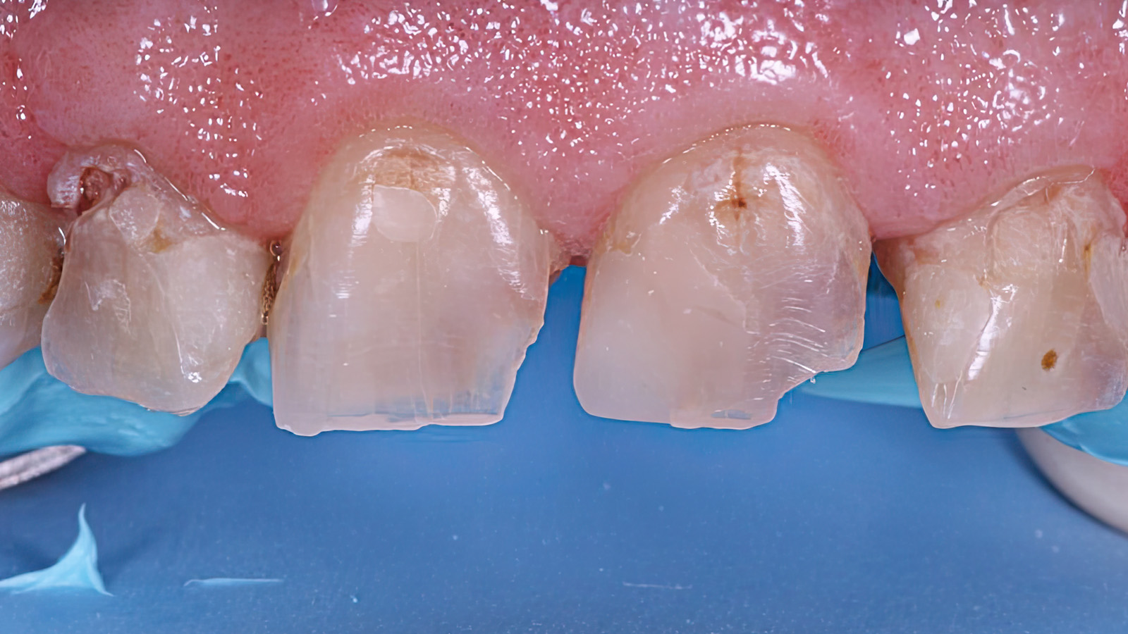
Ersatz insuffizienter Restaurationen und anatomische Korrektur im Frontzahnbereich (13 bis 23) mit Venus Diamond Pure Shades / Farbe: LIGHT (Dr. Álvarez Rodríguez).

Vorher
Nachher

Direkte Restauration einer frakturierten 10 Jahre alten Komposit Verblendung an Zahn 21 mit Venus Diamond Pure Shades / Farbe: DARK (Dr Álvarez Rodríguez).

Vorher
Nachher

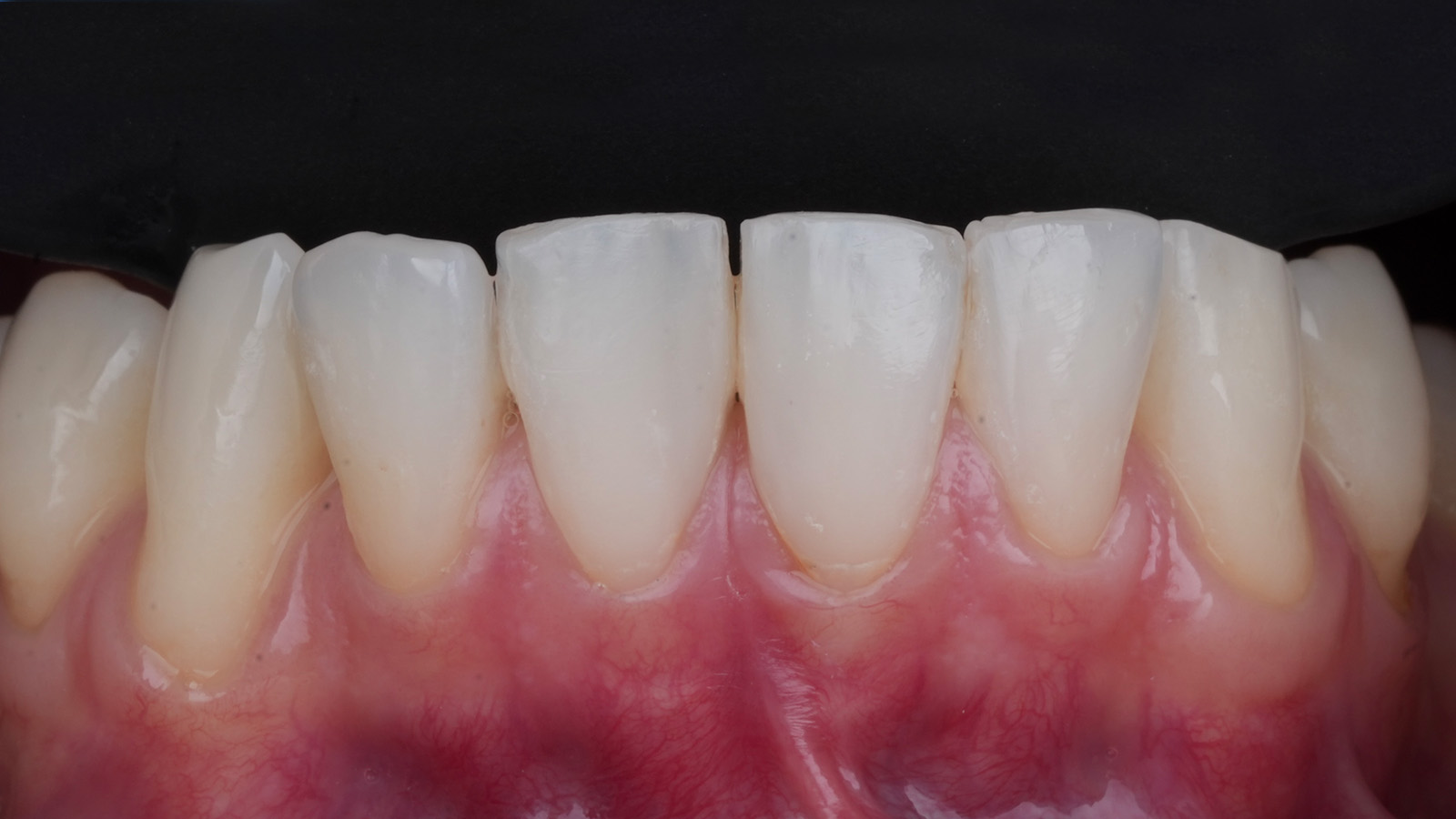
Rekonstruktion von Zahnabrieb im unteren Frontzahnbereich mit Venus Pearl Pure Shades / Farbe: MEDIUM (Dr. Francesco Lerda).

Vorher
Nachher

Ersatz einer unzureichenden Amalgamrestauration durch Venus Pearl Pure Shades / Farbe: LIGHT (Dr. Siddarth Gupta).

Vorher
Nachher

Ersatz einer insuffizienten alten Füllung im ersten Molaren durch Venus Pearl Pure Shades / Farbe: LIGHT (Dr. Siddarth Gupta).

Vorher
Nachher

Ersatz einer insuffizienten Amalgamrestauration mit Sekundärkaries im zweiten Prämolaren mit Venus Pearl Pure Shades / Farbe: LIGHT (Dr. Siddarth Gupta).

Vorher
Nachher

Direkte morphologische Restauration der Frontzähne 12 - 22 mit Venus Pearl Pure Shades / Farbe: LIGHT (Dr. Alessandro Conti).

Vorher
Nachher

Ersatz einer insuffizienten Restauration an Zahn 11 mit Venus Pearl Pure Shades / Farbe: LIGHT (Zahn 21 wurde mit einer Lithium-Disilikat-Krone versorgt) (Dr. Vincenzo Vitale).

Vorher
Nachher

Ersatz einer alten, verfärbten Füllung am seitlichen Schneidezahn (Zahn 12) mit Venus Pearl Pure Shades / Farbe: LIGHT (Dr. Vincenzo Vitale).

Vorher
Nachher

Ästhetische Rekonstruktion von Frontzähnen mit Venus Pearl Pure Shades / Farbe: LIGHT (Dr. Alicia Serra).

Vorher
Nachher

Ästhetische Rekonstruktion von Frontzähnen mit Venus Pearl Pure Shades / Farbe: LIGHT (Dr. Alicia Serra).

Vorher
Nachher

Direkter Lückenschluss im unteren Frontzahnbereich mit Venus Pearl Pure Shades / Farbe: MEDIUM (Dr. Alicia Serra).

Vorher
Nachher

Ästhetische Rekonstruktion der oberen Frontzähne mit Venus Pearl Pure Shades / Farbe: MEDIUM (Dr. Alicia Serra).

Vorher
Nachher

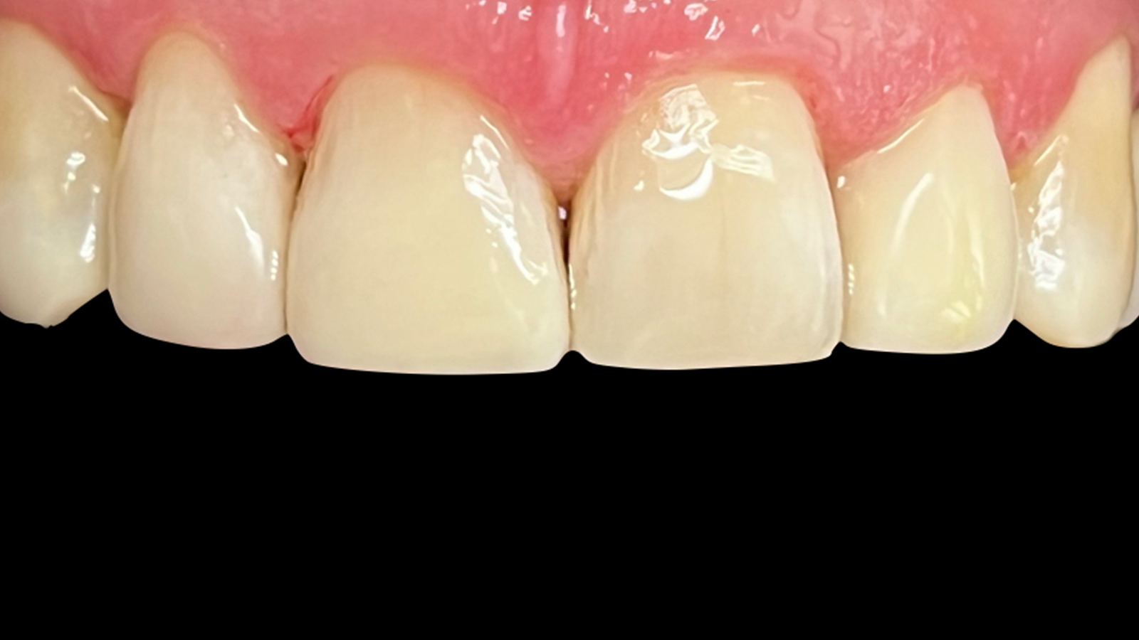
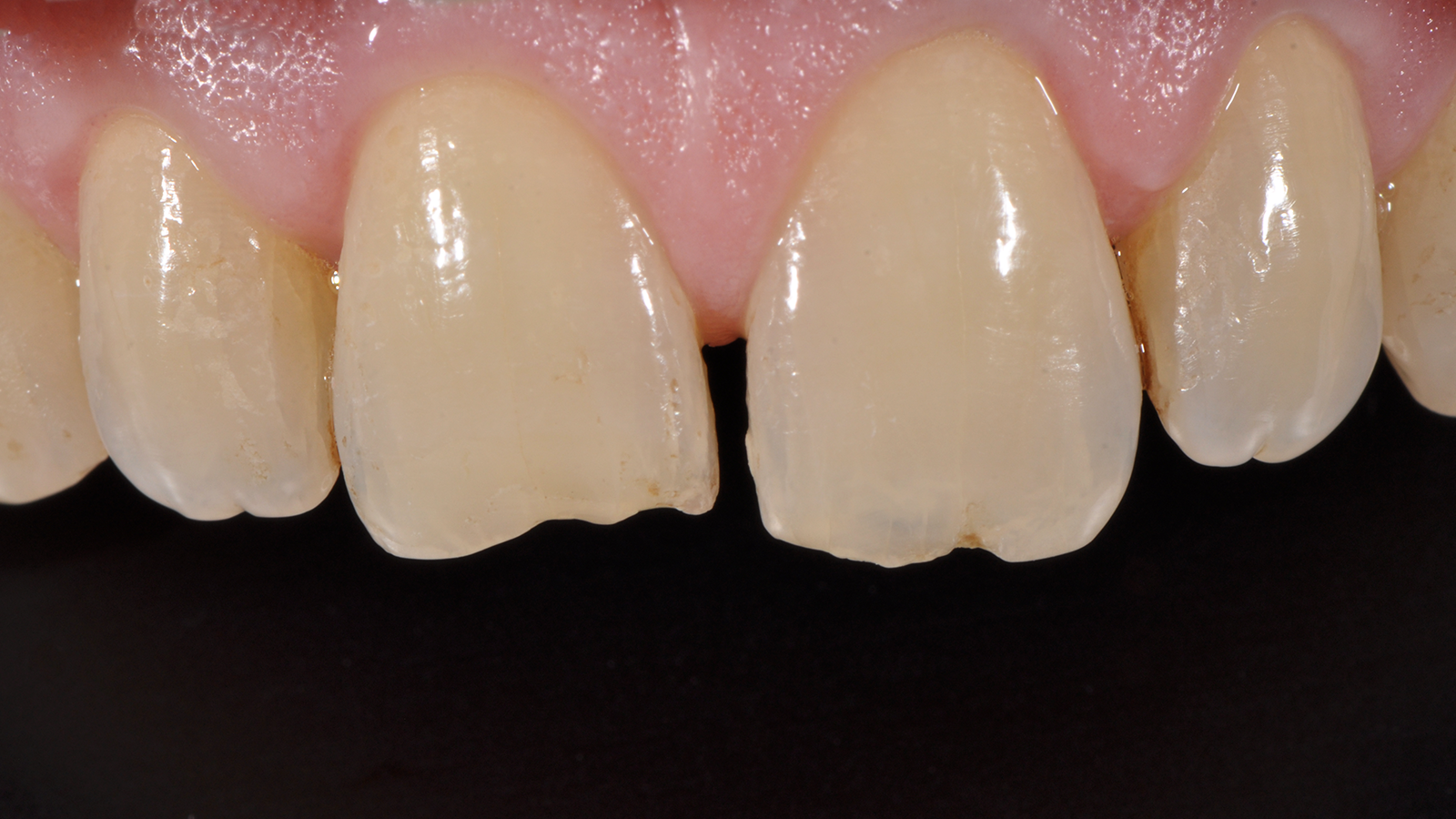
Ästhetische Rekonstruktion der frakturierten Zähne 11 und 21 mit Venus Pearl Pure Shades / Farbe: BLEACH (Dr. Alícia Serra).

Vorher
Nachher

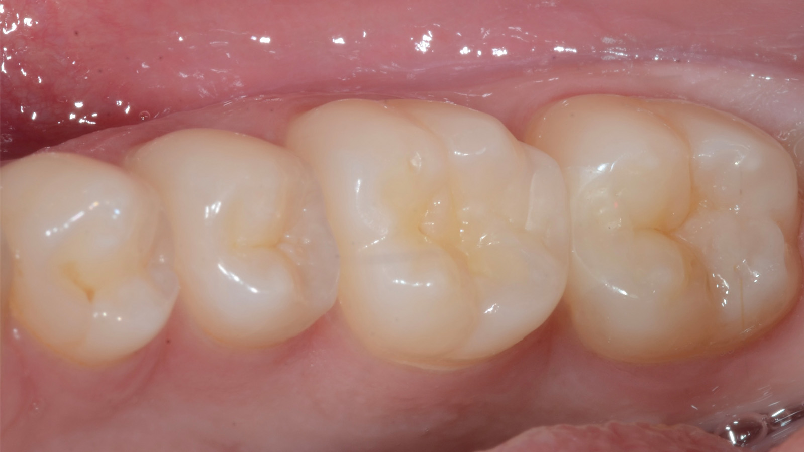
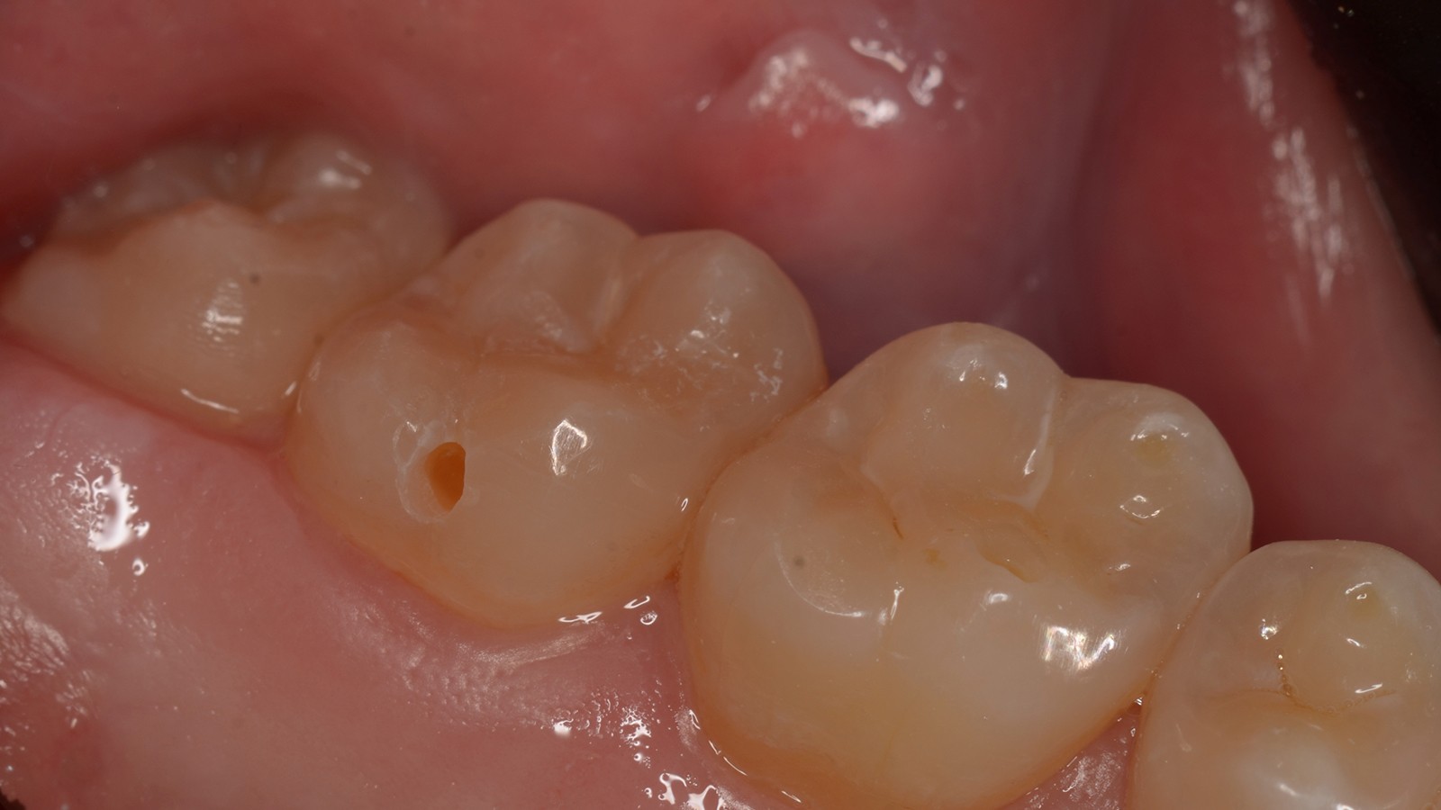
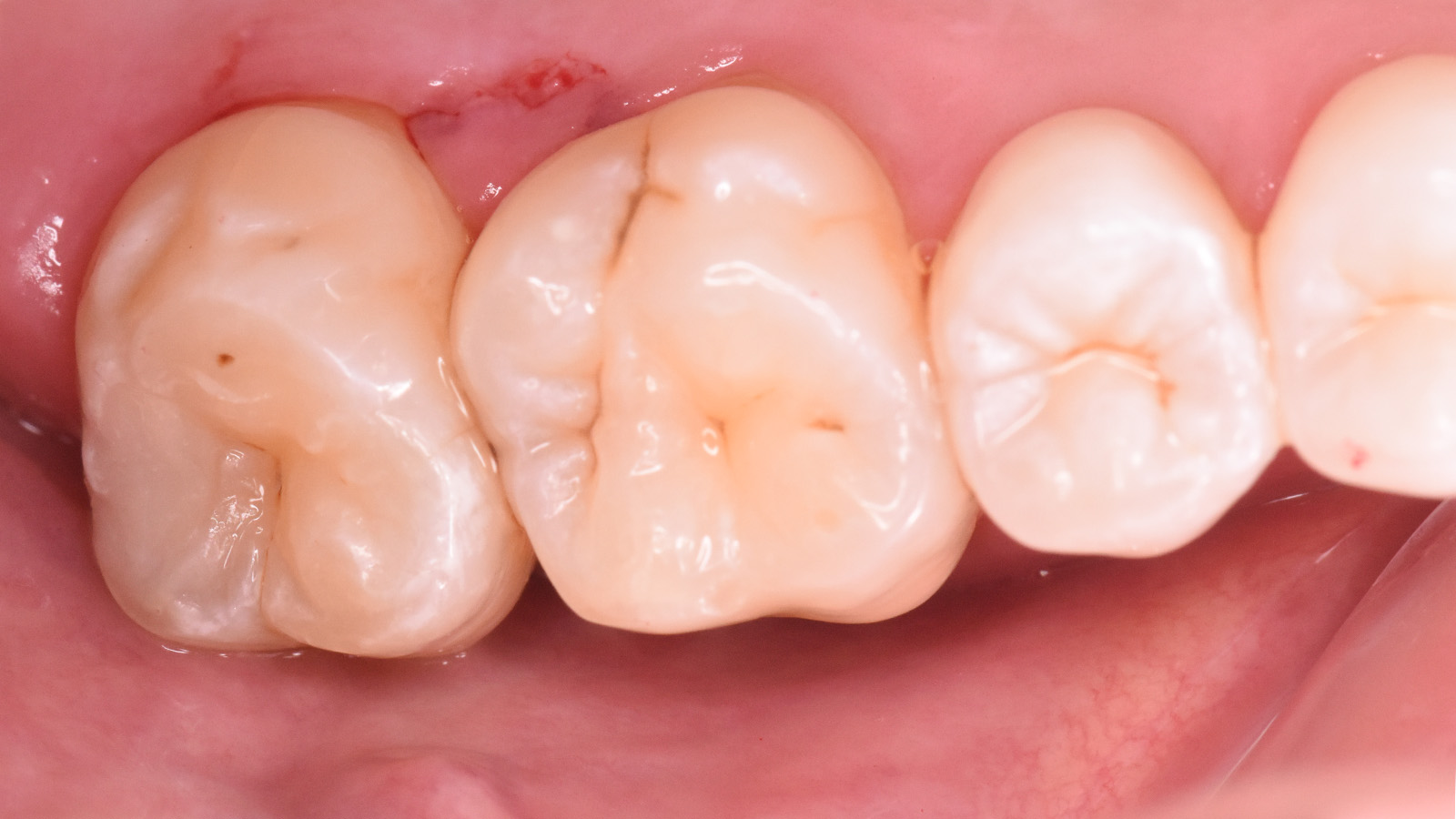
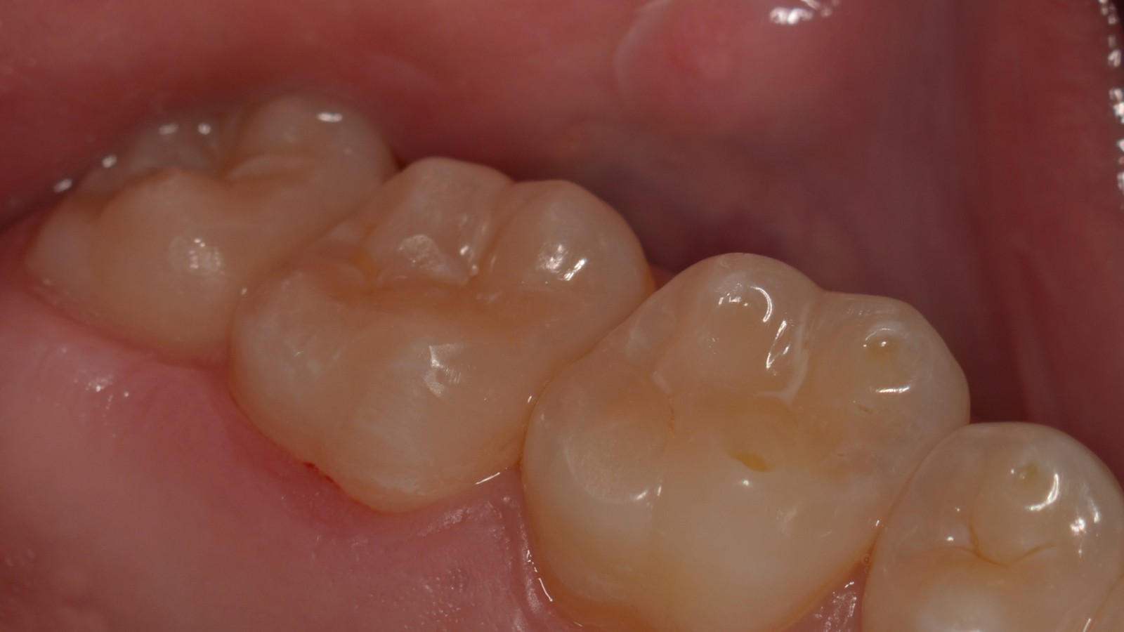
Rekonstruktion von kariösen Läsionen an den Zähnen 36 und 37 mit Venus Pearl Pure Shades / Farbe: LIGHT (Dr. Filippo Del Curto).

Vorher
Nachher

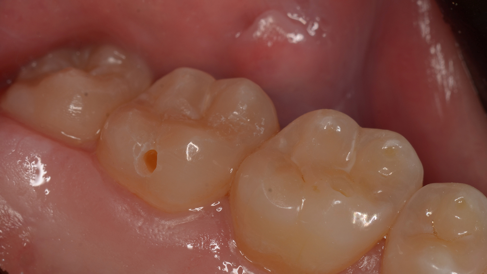
Restauration einer okklusalen Kariesläsion im zweiten Molaren mit Venus Pearl Pure Shades / Farbe: LIGHT (Dr. Daniel Çaga).

Vorher
Nachher

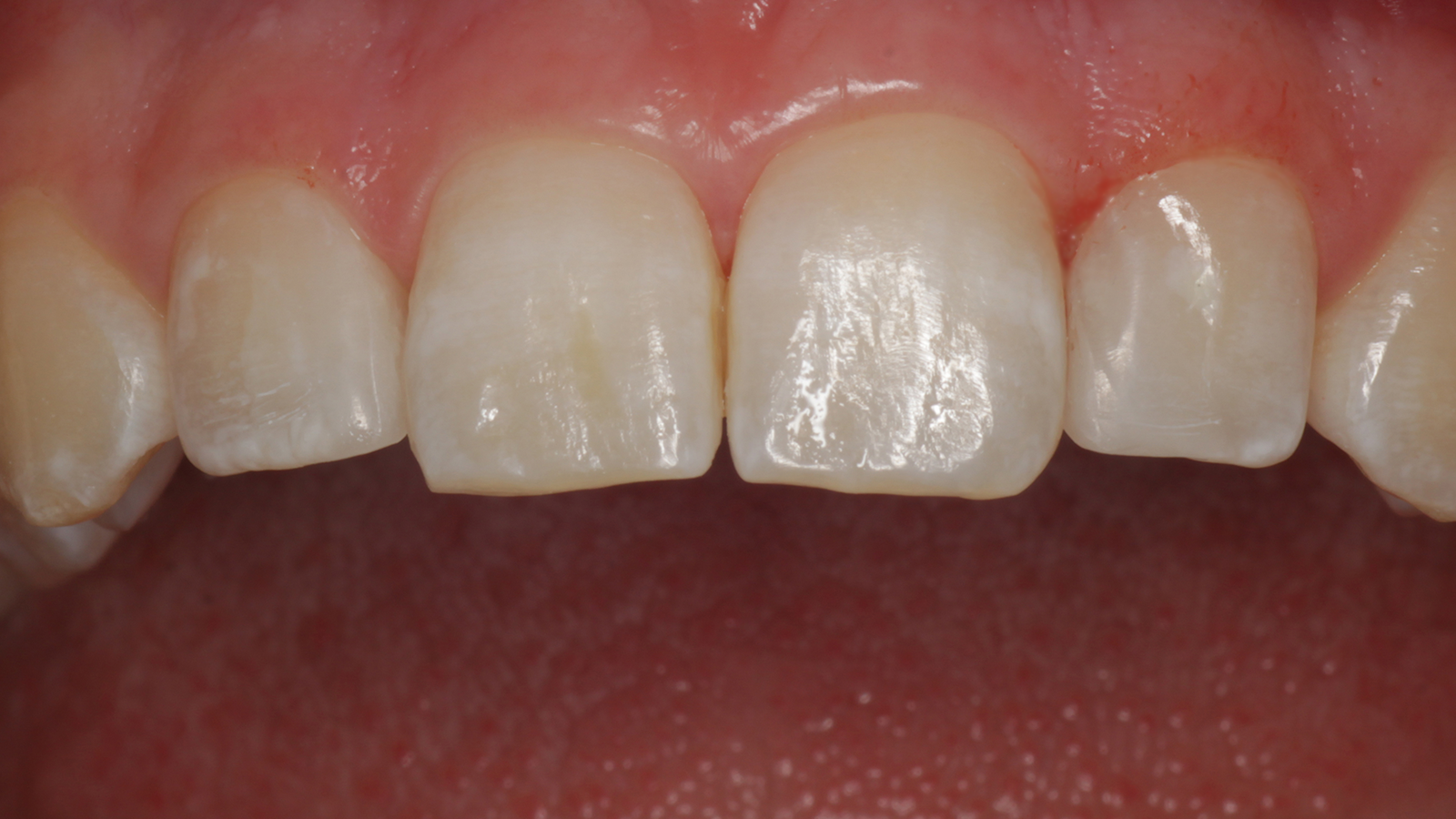
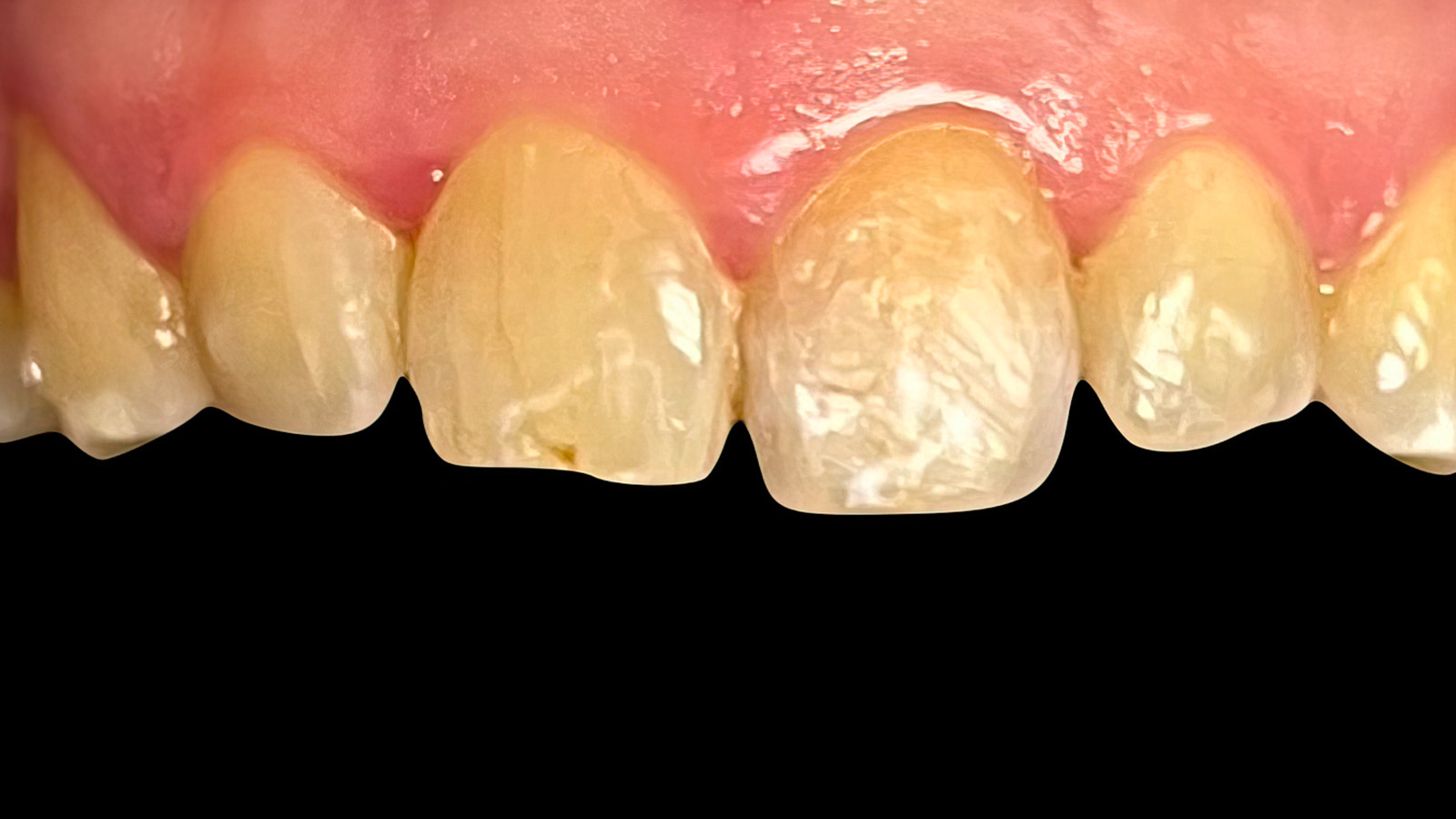
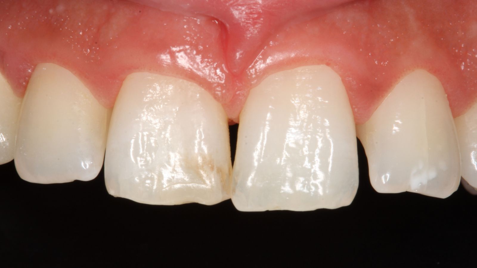
Restauration von stark beschädigten Frontzähnen mit Venus Pearl Pure Shades / Farbe: MEDIUM (Dr. Fraser Tait).

Vorher
Nachher

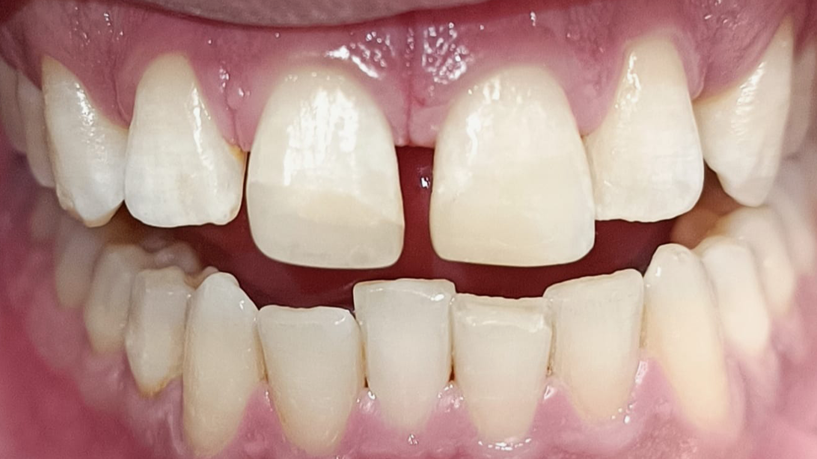
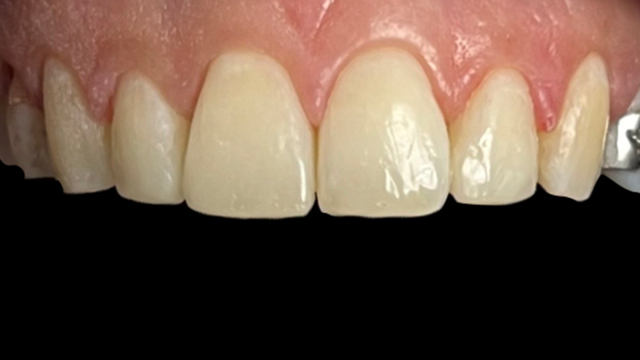
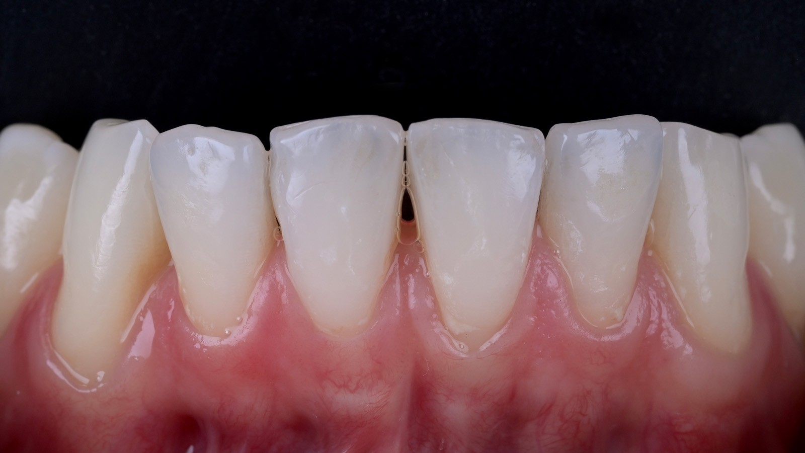
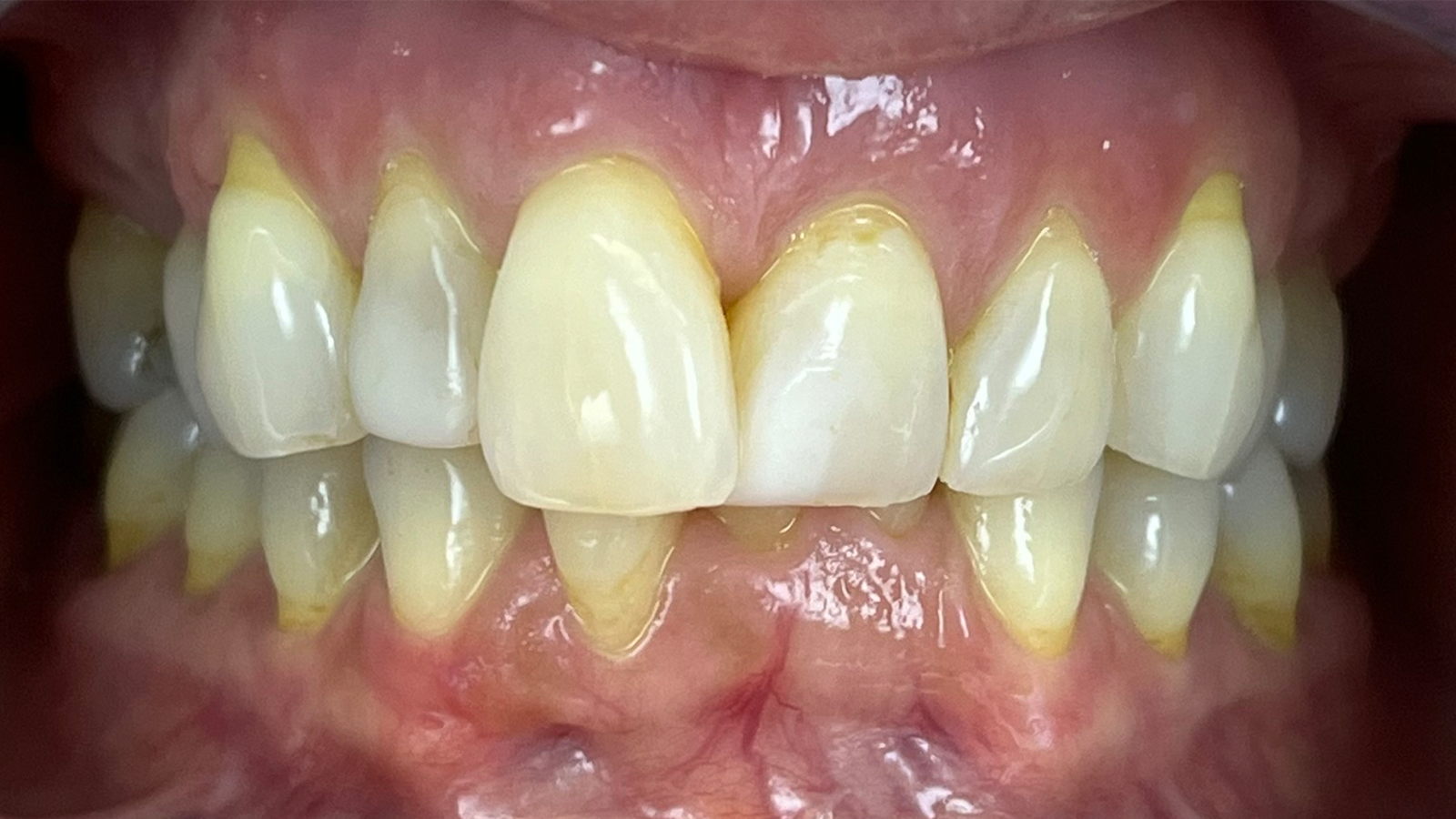
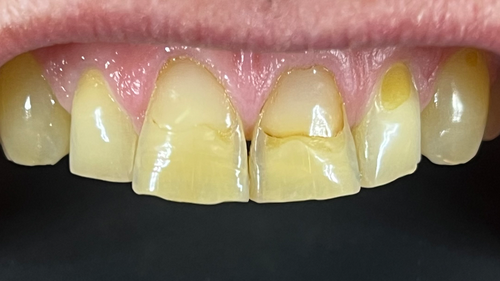
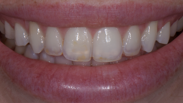
Ästhetische Verbesserung der Frontzähne bei einer älteren Patientin mit Venus Pearl / Farbe: DARK (Dr. Lucy Flanaghan).

Venus Diamond Pure Shades

Venus Pure Shades

Wie sieht mehr Einfachheit bei Ihren Restaurationen aus?

Entdecken Sie die Vorteile von Venus Pure
Ihren Fall einreichen

Möchten Sie auch Teil der Venus-Community werden?

Reichen Sie jetzt Ihren Fall ein!
Fälle mit den vielseitigen Venus Art Shades
Fälle mit den vielseitigen Venus Art Shades
Ihren Fall einreichen

Möchten Sie auch Teil der Venus-Community werden?

Teilen Sie Ihre Geschichten und reichen Sie klinische Fälle mit Venus Pure und Venus Art ein.

Reichen Sie jetzt Ihren Fall ein!
Venus Art Shades

Das Portfolio unserer Venus Art Komposite ...

... bietet die Flexibilität & Vielseitigkeit, um die ästhetischsten Herausforderungen zu meistern.

Erfahren Sie mehr!

Externe Ressourcen

Quelle Datum Artikel und Autor:in Link
StyleItaliano November 7, 2024 “Monochromatic Layering with a New Matrix: Achieving Predictable Aesthetics with Composite Materials” by
Dr Alessandro Colella (English)
Zum Artikel
Dentistry September 26, 2024 “Smooth, high gloss result for composite resin restorations” by
Dr Nadeem Younis (English)
Zum Artikel
StyleItaliano September 12, 2024 “Small and Big Restoration: Bulk and Body Solution” by
Dr Tommaso Brunelli (English)
Zum Artikel
StyleItaliano July 24, 2024 “Integrating Composite Resin and Ceramic Veneers” by
Dr Lisa Fernandes Gonçalves (English)
Zum Artikel
StyleItaliano June 20, 2024 “A single shade restoration to treat a dyschromic hypoplastic canine” by
Dr Alessandro Colella (English)
Zum Artikel
StyleItaliano May 20, 2024 “Easy way to enhance aesthetics with simplified composite shades” by
Dr Laura Mokhtari (English)
Zum Artikel
StyleItaliano April 19, 2024 “Class IV using just a single shade: dream or reality?” by
Dr Edoardo Yang Fossati (English)
Zum Artikel
Dentistry April 16, 2024 “Simple restoration creates illusion of depth” by
Dr Elaine Mo (English)
Zum Artikel