Venus Diamond Art Shades sind für Fälle mit außergewöhnlich hohen ästhetischen Ansprüchen konzipiert, die keine Kompromisse in puncto Handwerkskunst und Liebe zum Detail zulassen.
| VENUS ART |
| Ein Materialkonzept für die |
| ÄSTHETISCHE ZAHNMEDIZIN |
| das Ihre |
| ERWARTUNGEN ÜBERTRIFFT |
Die Schönheit jedes Lächelns liegt in seiner Einzigartigkeit. Genau, wie die individuellen Ansprüche Ihrer Patient:innen. Der Wunsch nach Ästhetik und Natürlichkeit – auch bei alltäglichen Restaurationen – erfordert ein vielseitiges Konzept.
Venus Pearl Art Shades sind die Antwort für alle, die über das Legen einfacher Restaurationen hinausgehen und die Grenzen des ästhetisch Möglichen ausschöpfen möchten.
Gut zu wissen
Uverlässige Qualität führt zu sicheren Anwendungen. Und mit der Kulzer-einzigartigen TCD-Matrix können Sie eine geringe Schrumpfspannung erwarten, was das Risiko von Randspaltbildung und Sekundärkaries senkt. Darüber hinaus erhöht der hohe Vernetzungsgrad der TCD-Matrix Festigkeit und Langlebigkeit des Komposits und reduziert das Risiko von Chippings oder Frakturen.
Darüber hinaus enthält die TCD-Matrix von Venus Diamond überhaupt keine BPA-Struktur. Untersuchungen eines externen akkreditierten Labors konnten kein freigesetztes BPA aus unpolymerisiertem und polymerisiertem Venus Pearl und Venus Diamond Komposit oberhalb der Nachweisgrenze finden.1
¹Quelle: Testbericht 10-2023.
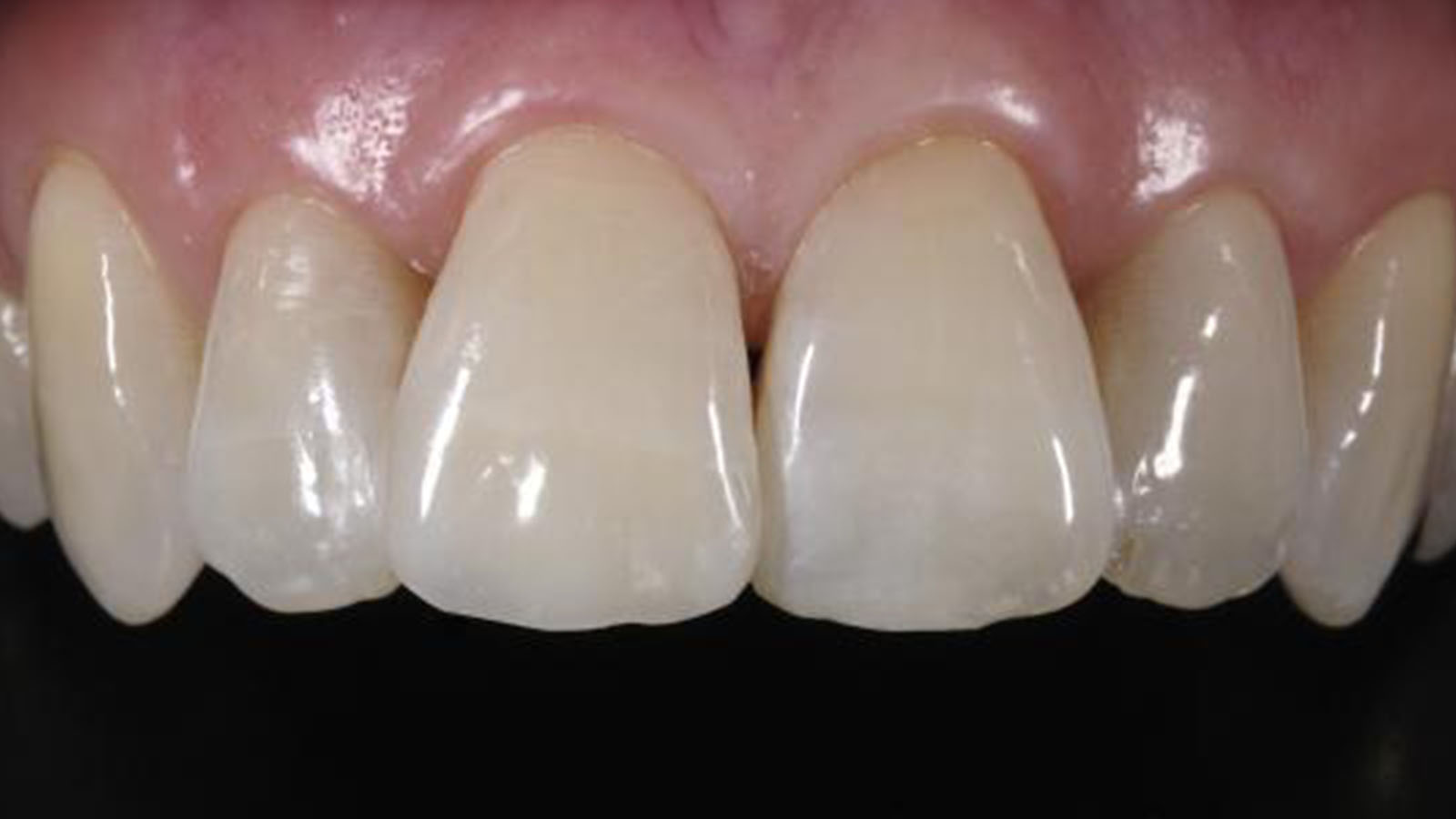
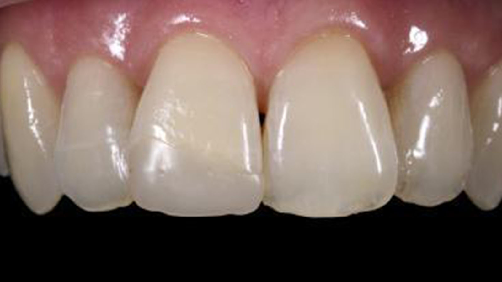
Um mit den Venus Art Shades das beste ästhetische Ergebnis zu erzielen, können Sie in der ein- als auch in der mehrschichtigen Farbtechnik arbeiten. Die individuelle Schichtung von opakem Dentin, Universal- und Inzisalfarben lassen Sie dabei natürlich aussehende Restaurationen erschaffen.
Opake Dentinfarben
Opake Farbtöne mit erhöhter Farbintensität werden zum Abdecken von Amalgamtätowierungen und verfärbten Zähnen sowie zur Wiederherstellung dunkler Fälle der Klasse V verwendet:
Universalfarben
Universalfarben besitzen Farbintensitäten mittlerer Transluzenz und sind in einer großen Auswahl erhältlich. Sie können ohne zusätzliche Schichtung verwendet oder mit Dentin- und Inzisalfarben kombiniert werden, um ästhetisch ansprechende Ergebnisse zu erzielen.
Inzisalfarben
Den krönenden Abschluss bilden die Inzisalfarben, die höchste Transparenz und minimale Farbintensität bieten. CL (Clear) und AM (Amber) können über den Universalton aufgetragen werden, um ein natürlicheres, naturgetreueres Erscheinungsbild zu erzielen. Mit Hilfe der speziellen Inzisalmassen CO (Clear Opal) und YO (Yellow Opal) erzielen Sie aufgrund der intrinsischen Opaleszenz dieser Farben das bestmögliche ästhetische Ergebnis.
Sonderfarben (Bleach-Farben)
Drei Bleach-Farben (BL = Bleach Light, BXL = Bleach Extra Light, OB = Opaque Bleach) ermöglichen ästhetische Restaurationen nach Bleaching-Behandlungen. Der neue Farbton Venus Pearl CORE wurde für Stumpfaufbauten im Seitenzahnbereich entwickelt und verfügt daher über eine größere Durchhärtungstiefe (3 mm). Durch die grüne Farbe lässt es sich besonders in den dunkleren Seitenzahnbereichen deutlich von der natürlichen Zahnsubstanz unterscheiden und erleichtert so die Fixierung der indirekten Restauration auf dem Kern. Der neue Farbton Venus Pearl GUM wurde für die Rekonstruktion der Gingiva bei Zahnfleischrezessionen entwickelt.
Venus Diamond Art Shades in der Praxis
Verwandte Produkte
Kontakt Deutschland
Kontakt Österreich
Aussendienst-Suche