31.10.2024
| Zitat zur Verwendung von Venus Pearl Pure Shades: |
| Ein gleichmäßiges, symmetrisches und viel schöneres Lächeln. Die Patientin ist sehr zufrieden. Erreicht mit einer einzigen Komposit Farbe. |
| Klinischer Fall |
Ausgangssituation: Ästhetische Rekonstruktion von Engständen im oberen und unteren Frontzahnbereich gewünscht.
Digitales Modell der oberen Zähne.
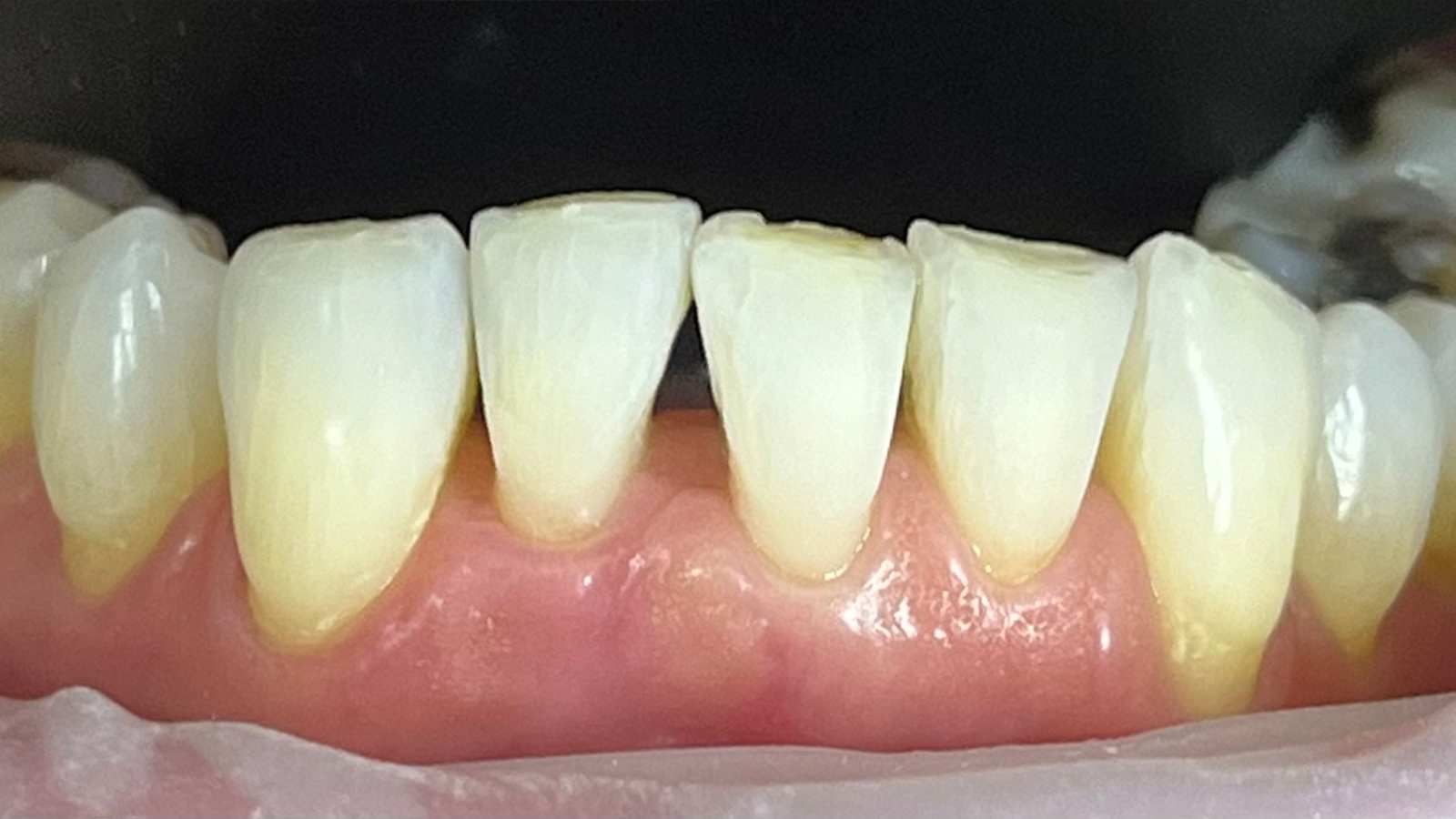
Untere Front nach dem Ausrichten.
Situation nach dem Ausrichten und Bleichen.
Zahn für Zahn Rekonstruktion mit Komposit.
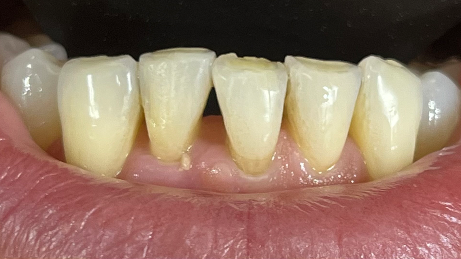
Endgültiges Ergebnis der unteren Front.
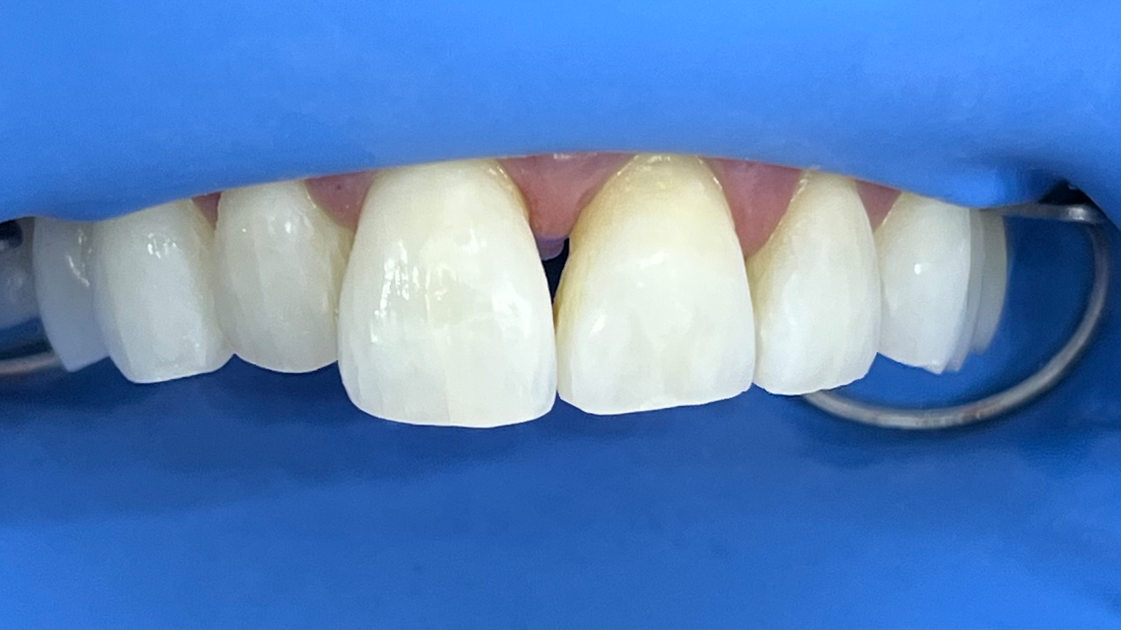
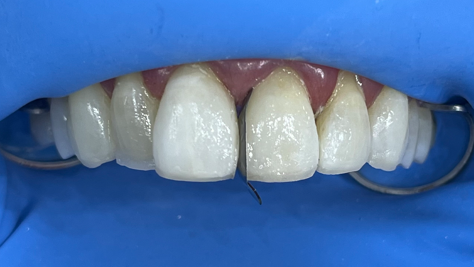
Kofferdamisolierung der oberen Front.
Zahn für Zahn rekonstruieren.
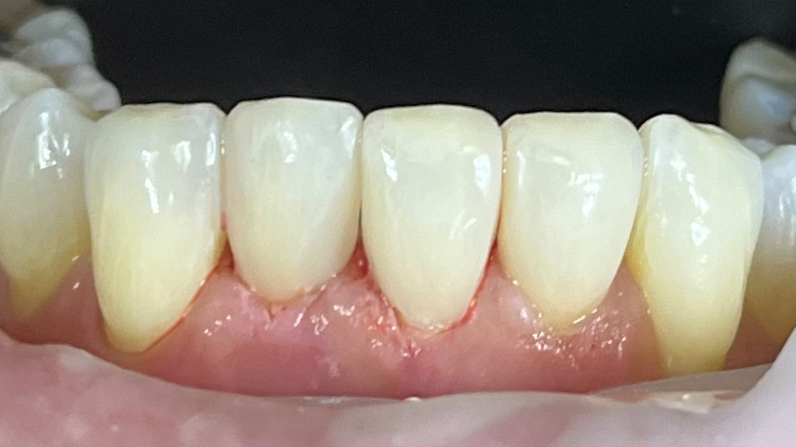
Endgültiges Ergebnis: Ästhetische Rekonstruktion im oberen und unteren Frontbereich nach Vorbehandlung mit Ausrichten und Bleaching.
VERWENDETE PRODUKTE
Entdecken Sie die in diesem Fall vorgestellten Kulzer-Produkte und folgen Sie den Links für weitere Informationen:
Gebrauchsanweisung:
Bitte beachten Sie bei der Verwendung der Medizinprodukte auch die entsprechenden Gebrauchsanweisungen (Gebrauchsanweisungen sind im e-IFU Portal verfügbar): Zum e-IFU Portal