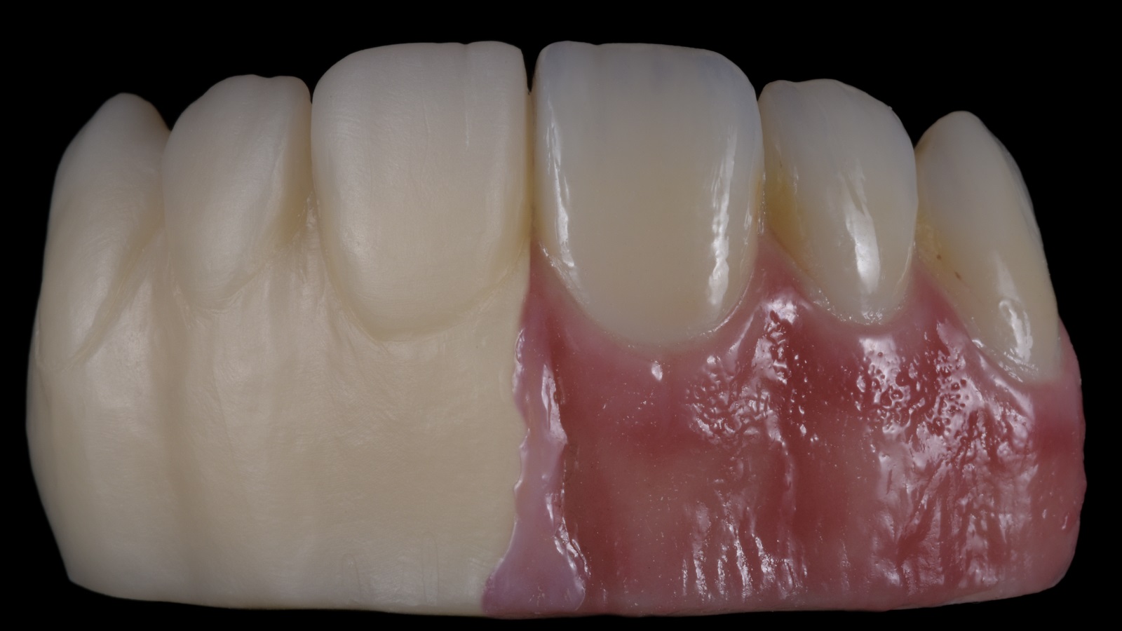
HeraCeram cre-active bietet ein vielfältiges Sortiment an 2D- und 3D-Massen zur ästhetischen Individualisierung und Finalisierung von Keramik-Restaurationen. Die Massen sind optimal zur Verarbeitung in Kombination mit allen HeraCeram-Keramiklinien abgestimmt und ideal für die ästhetische Veredelung von monolithischen Vollkeramik-Restaurationen auf Zirkoniumdioxid oder Lithiumdisilikat geeignet.
Dank hochwertiger 2D- und 3D-Liquid-Ceramics lassen sich naturnahe lichtdynamische Eigenschaften, Oberflächenstrukturen und Transluzenzeffekte komfortabel, effizient und reproduzierbar gestalten.
Vorteile
Technisch Perfekt
Optisch perfekt
Anwendungskonzepte
Entdecken Sie die anwenderfreundlichen Verarbeitungskonsistenzen der HeraCeram cre-active Komponenten und ihre mühelose Handhabung. Lernen Sie Schritt für Schritt die verschiedenen Anwendungskonzepte kennen: von der standardiserten Bemalung bis zur anspruchsvollen hybriden Technik, wie dem Micro-Layering. Eindrucksvolle Video-Tutorials bieten wertvolle Einblicke in die wichtigsten Anwendungsbereiche.
Expertenstatements
Erhalten Sie exklusive Einblicke von Experten - Zahntechniker, die HeraCeram cre-active bereits mitentwickelt und getestet haben - wie sie durch HeraCeram cre-active ihren Workflow revolutioniert haben und nun mit Leichtigkeit atemberaubende, natürlich aussehende Restaurationen erzielen können.
Brenntabellen
| HeraCeram | HeraCeram Saphir |
HeraCeram Sun |
HeraCeram Zirkonia |
HeraCeram Zirkonia 750 mit Lithium- disilikat |
HeraCeram Zirkonia 750 mit Zirkonium- dioxid |
1-4 Einheiten: Lithiumdisilikat, monolithisches Zirkonium- dioxid |
5- xx Einheiten: monolithisches Zirkonium- dioxid |
|||||||
|---|---|---|---|---|---|---|---|---|---|---|---|---|---|---|
|
Start- temperatur |
[°C] | 600 | 600 | 600 | 600 | 400 | 500 | 450 | 450 | |||||
| Trocknen | [min] | 5 | 5 | 5 | 5 | 5 | 5 | 5 | 8 | |||||
| Vorwärmen | [min] | 1 | 1 | 1 | 1 | 1 | 1 | 1 | 4 | |||||
|
Temperatur- anstieg |
[°C/ min] |
100 | 100 | 100 | 100 | 60 | 60 | 55 | 45 | |||||
|
End- temperatur |
[°C] | 850 | 850 | 740 | 850 | 725 | 725 | 740 | 740 | |||||
| Haltezeit | [min] | 0,5-1 | 0,5-1 | 0,5-1 | 0,5-1 | 0,5-1 | 0,5-1 | 1 | 1 | |||||
| Vacuum Start | [°C] | - | - | - | - | - | --- | 650 | 650 | |||||
| Vacuum Stop | [°C] | - | - | - | - | - | --- | 700 | 700 | |||||
|
1-4 Einheiten: HeraCeram; HeraCeram Saphir; HeraCeramSun; HeraCeram Zirkonia; HeraCeram Zirkonia 750 mit Lithiumdisilikat; HeraCeram Zirkonia 750 mit Zirkoniumdioxid; Lithiumdisilikat; monolithisches Zirconiumdioxid |
5- xx Einheiten: HeraCeram; HeraCeram Saphir; HeraCeramSun; HeraCeram Zirkonia; HeraCeram Zirkonia 750 mit Zirkoniumdioxid; monolithisches Zirconiumdioxid |
|||||||||||||
|---|---|---|---|---|---|---|---|---|---|---|---|---|---|---|
|
Start- temperatur |
[°C] | 450 | 450 | |||||||||||
| Trocknen | [min] | 8 | 10 | |||||||||||
| Vorwärmen | [min] | 2 | 5 | |||||||||||
|
Temperatur- anstieg |
[°C/min] | 55 | 30 | |||||||||||
|
End- temperatur |
[°C] | 740 | 740 | |||||||||||
| Haltezeit | [min] | 1 | 1 | |||||||||||
|
Vacuum Start |
[°C] | 650 | 650 | |||||||||||
|
Vacuum Stop |
[°C] | 730 | 730 | |||||||||||
WICHTIGER HINWEIS: Die angegebenen Brenntemperaturen sind Richtwerte. Abweichungen davon sind wegen unterschiedlicher Ofenleistungen möglich und müssen gegebenenfalls angepasst werden.
Farbzuordnungstabelle
| Bleach | A1 | A2 | A3 | A3,5 | A4 | B1 | B2 | B3 | B4 | C1 | C2 | C3 | C4 | D2 | D3 | D4 | ||
|---|---|---|---|---|---|---|---|---|---|---|---|---|---|---|---|---|---|---|
| 2D | Body stains | - |
2D B-A |
2D B-A |
2D B-A | 2D B-A | 2D B-A | 2D B-B | 2D B-B | 2D B-B | 2D B-B | 2D B-C | 2D B-C | 2D B-C | 2D B-C | 2D B-D | 2D B-D | 2D B-D |
| 2D | Mamelon- / bzw. Sekundärdentin |
2D MD1 |
2D MD1 |
2D MD1 | 2D SD2 | 2D SD2 | 2D SD2 | 2D MD2 | 2D MD2 | 2D MD3 | 2D MD3 | 2D MD2 | 2D SD1 | 2D SD2 | 2D SD2 | 2D MD1 | 2D MD3 | 2D SD1 |
| 2D | Value |
2D VL1 |
2D VL1 |
2D VL1 |
2D VL3 | 2D VL3 | 2D VL3 | 2D VL1 | 2D VL1 | 2D VL3 | 2D VL3 | 2D VL1 | 2D VL1 | 2D VL3 |
2D VL3 |
2D VL1 | 2D VL3 | 2D VL3 |
| 3D | Enamel |
3D OS-BL |
3D OS-BL |
3D OS-BL |
3D OS | 3D OS | 3D OS | 3D OS-BL | 3D OS-BL | 3D OS | 3D OS | 3D OS-BL | 3D OS | 3D OS | 3D OS |
3D OS-BL |
3D OS | 3D OS |
| 3D | Body Correction |
3D BC BL |
3D BC-A |
3D BC-A |
3D BC-A | 3D BC-A | 3D BC-A | 3D BC-B | 3D BC-B | 3D BC-B | 3D BC-B | 3D BC-C | 3D BC-C | 3D BC-C |
3D BC-C |
3D BC-D |
3D BC-D | 3D BC-D |
Übersicht Produktsortiment
HeraCeram cre-active Sets & Zubehör
Sets
4X 3D STRUCTURE PASTES
16X 2D STAINS / GLAZE PASTES
2X LIQUID CAL
2X BRUSHES
1X SHADE GUIDE
1x HC cre-active Shade-Sticker
1x HeraCeram Paste Opaque Brush
1x HeraCeram Stains Brush
1x HC cre-act. 3D Opal Transpa OT Y, 2ml
1x HC cre-act. 3D Opal Transpa OT A, 2ml
1x HC cre-act. 3D Opal Incisal OS, 2ml
1x HC cre-act. 3D Opal Incisal OS BL, 2ml
1x HC cre-act. 2D Enhancer EH Bright, 2ml
1x HC cre-act. Glaze Paste, 3ml
1x HC cre-act. Glaze Fluo Paste, 3ml
1x HC cre-act. 2D Milk, 2ml
1x HC cre-act. 2D Espresso Powder, 3g
1x HC cre-act. 2D Body A, 2ml
1x HC cre-act. 2D Body B, 2ml
1x HC cre-act. 2D Cacao, 2ml
1x HC cre-act. 2D Peanut, 2ml
1x HC cre-act. 2D Amber, 2ml
1x HC cre-act. 2D Pacific, 2ml
1x HC cre-act. 2D Stone, 2ml
1x HC cre-act. 2D Aubergine, 2ml
1x HC cre-act. 2D Curry, 2ml
1x HC cre-act. 2D Mamelon Dentine MD1, 2ml
1x HC cre-act. 2D Mamelon Dentine MD2, 2ml
2x HC cre-act. Liquid CAL, 2ml
12X 3D STRUCTURE PASTES
11X 2D STAINS / GLAZE PASTES
1X LIQUID CAL
2X BRUSHES
1X SHADE GUIDE
1x HC cre-active Shade-Sticker
1x HeraCeram Paste Opaque Brush
1x HeraCeram Stains Brush
1x HC cre-act. 3D Opal Transpa OT 1, 2ml
1x HC cre-act. 3D Opal Transpa OT 10, 2ml
1x HC cre-act. 3D Opal Transpa OT Y, 2ml
1x HC cre-act. 3D Opal Transpa OT A, 2ml
1x HC cre-act. 3D Opal Transpa OT B, 2ml
1x HC cre-act. 3D Opal Incisal OS, 2ml
1x HC cre-act. 3D Opal Incisal OS BL, 2ml
1x HC cre-act. 2D Mamelon Dentine MD1, 2ml
1x HC cre-act. 2D Mamelon Dentine MD2, 2ml
1x HC cre-act. 2D Mamelon Dentine MD3, 2ml
1x HC cre-act. 2D Dec. Dentine SD1, 2ml
1x HC cre-act. 2D Dec. Dentine SD2, 2ml
1x HC cre-act. 2D Value VL1, 2ml
1x HC cre-act. 2D Value VL3, 2ml
1x HC cre-act. 2D Enhancer EH Bright, 2ml
1x HC cre-act. 3D Body Correction BL, 2ml
1x HC cre-act. 3D Body Correction A, 2ml
1x HC cre-act. 3D Body Correction B, 2ml
1x HC cre-act. 3D Body Correction C, 2ml
1x HC cre-act. 3D Body Correction D, 2ml
1x HC cre-act. 2D Milk, 2ml
1x HC cre-act. Glaze Paste, 3ml
1x HC cre-act. Glaze Fluo Paste, 3ml
1x HC cre-act. Liquid CAL, 2ml
22X 2D STAINS / GLAZE PASTES
1X LIQUID CAL
2X BRUSHES
1X SHADE GUIDE
1x HC cre-active Shade-Sticker
1x HeraCeram Glaze Brush
1x HeraCeram Stains Brush
1x HC cre-act. 2D Body A, 2ml
1x HC cre-act. 2D Body B, 2ml
1x HC cre-act. 2D Body C, 2ml
1x HC cre-act. 2D Body D, 2ml
1x HC cre-act. 2D Coffee, 2ml
1x HC cre-act. 2D Avocado, 2ml
1x HC cre-act. 2D Peanut, 2ml
1x HC cre-act. 2D Amber, 2ml
1x HC cre-act. 2D Pacific, 2ml
1x HC cre-act. 2D Aubergine, 2ml
1x HC cre-act. 2D Vanilla, 2ml
1x HC cre-act. 2D Cacao, 2ml
1x HC cre-act. 2D Curry, 2ml
1x HC cre-act. 2D Basic Yellow, 2ml
1x HC cre-act. 2D Basic Anthracite, 2ml
1x HC cre-act. 2D Basic Red, 2ml
1x HC cre-act. 2D Milk, 2ml
1x HC cre-act. 2D Espresso Powder, 3g
1x HC cre-act. Glaze Paste, 3ml
1x HC cre-act. Glaze Fluo Paste, 3ml
1x HC cre-act. 2D Enhancer EH Bright, 2ml
1x HC cre-act. Liquid CAL, 2ml
4X 3D STRUCTURE PASTES
16X 2D STAINS / GLAZE PASTES
2X LIQUID CAL
2X BRUSHES
1X SHADE GUIDE
1x HC cre-active Shade-Sticker
1x HeraCeram Paste Opaque Brush
1x HeraCeram Stains Brush
1x HC cre-act. Gingiva 2D G2, 2ml
1x HC cre-act. Gingiva 2D G4, 2ml
1x HC cre-act. Gingiva 2D G5, 2ml
1x HC cre-act. Gingiva 2D G6, 2ml
1x HC cre-act. Gingiva 2D G7, 2ml
1x HC cre-act. Gingiva 2D G8, 2ml
1x HC cre-act. 2D Salsa, 2ml
1x HC cre-act. 2D Hazel, 2ml
1x HC cre-act. 2D Mauve, 2ml
1x HC cre-act. 2D Deepblue, 2ml
1x HC cre-act. 2D Canyon, 2ml
1x HC cre-act. 2D Basic Yellow, 2ml
1x HC cre-act. 2D Basic Anthracite, 2ml
1x HC cre-act. 2D Basic Red, 2ml
1x HC cre-act. 2D Milk, 2ml
1x HC cre-act. 2D Espresso Powder, 3g
1x HC cre-act. Gingiva 3D G1, 2ml
1x HC cre-act. Gingiva 3D G2-4, 2ml
1x HC cre-act. Gingiva 3D G5, 2ml
1x HC cre-act. Gingiva 3D G7-8, 2ml
1x HC cre-act. Glaze Paste, 3ml
2x HC cre-act. Liquid CAL, 2ml
Shade Guides
HeraCeram cre-active Shade Guide Basic-Set
➤ Art.-No. 66094150
HeraCeram cre-active Shade Guide Matrix
➤ Art.-No. 66094151
HeraCeram cre-active Shade Guide 2D Stains
➤ Art.-No. 66094152
HeraCeram cre-active Shade Guide Gingiva
➤ Art.-No. 66094154
Pinsel
Das richtige Werkzeug ist eine Voraussetzung für eine optimale Arbeitsweise. Unsere Pinsel sind auf die jeweiligen Verarbeitungsschritte abgestimmt.
Glaze Materialien & Liquids
Ein Liquid zum Mischen, Verdünnen und Auffrischen
FAQ
Technische Daten
| HeraCeram cre-active 2D / Glaze / Glaze Fluo | ||||||||||||||
|---|---|---|---|---|---|---|---|---|---|---|---|---|---|---|
| CTE (25-400°) | 9,0 ± 0,3 μm/m・K | |||||||||||||
| CTE (25-500°) | n.a. | |||||||||||||
| TG | 490° ± 20°C | |||||||||||||
| HeraCeram cre-active 3D | ||||||||||||||
|---|---|---|---|---|---|---|---|---|---|---|---|---|---|---|
| CTE (25-400°) | 9,2 ± 0,3 μm/m・K | |||||||||||||
| CTE (25-500°) | n.a. | |||||||||||||
| TG | 490° ± 20°C | |||||||||||||
Produktkonsistenz
HeraCeram cre-active 2D, 3D oder Glaze / Glaze Fluo (Paste) Komponenten vor jedem Gebrauch mit einem metallfreien Spatel gut durchmischen! Auf Grund ihrer keramischen Basis können die pastösen Massen sedimentieren. Überschüssige Flüssigkeit nicht aus dem Behälter gießen. Diese wieder in die Paste einmischen. Die Pasten werden durch Bewegung weicher und lassen sich gut verarbeiten.
Die Konsistenz des Materials kann in Abhängigkeit von der Raumtemperatur variieren.
Die Konsistenz der HeraCeram cre-active 2D und 3D Pasten kann durch vorsichtiges Zudosieren des HeraCeram cre-active Liquids (CAL) oder der HeraCeram cre-active Glaze / Glaze Fluo (Paste) Komponenten individuell eingestellt werden.
Sollte die Konsistenz der HeraCeram cre-active 2D oder 3D Pasten bzw. der HeraCeram cre-active Glaze / Glaze Fluo Pasten durch längere Lagerung trockener und damit fester werden, kann durch vorsichtiges Zudosieren des HeraCeram cre-active Liquids (CAL) die Viskosität wieder eingestellt werden.
Liquid
HeraCeram cre-active Liquid (CAL) muss verwendet werden. Die Verwendung von Malfarbenflüssigkeiten oder Verdünnerliquids von Fremdkeramiken ist nicht indiziert.
Die Konsistenz der HeraCeram cre-active 2D und 3D Pasten kann durch vorsichtiges Zudosieren des HeraCeram cre-active Liquids (CAL) oder der HeraCeram cre-active Glaze / Glaze Fluo (Paste) Komponenten individuell eingestellt werden.
Produktanwendung
Die Oberfläche der zu individualisierenden Restauration mit einem Diamantschleifkörper oder geeigneten rotierenden Instrumenten ausarbeiten, d.h. Konturen und Oberflächenstrukturen gestalten. Zirkoniumdioxid nach dem Fräsen bzw. Lithiumdisilikat-Gerüste nach dem Fräsen oder Pressen entsprechend der Gebrauchsanweisung des Herstellers vorbereiten. Sofern in der Gebrauchsanweisung des Herstellers nicht anders angegeben, Zirkoniumdioxid mit 110 - 125 μm und Lithiumdisilikat mit 50 μm Einwegstrahlkorund (Al₂O₃) abstrahlen. Der empfohlene Strahldruck beträgt 2 bar. Anschließend Schleifstaub und Verunreinigungen von der Oberfläche z.B. mit einem Dampfstrahler entfernen.
HeraCeram cre-active 3D Komponenten können in einer Schichtstärke von 0,1 - 0,3 mm auf die individuell bemalte oder glasierte Oberfläche aufgetragen werden. Auf Zirkoniumdioxid oder Lithiumdisilikat sollten bei Schichtstärken über 0,3 mm die für das jeweilige Gerüstmaterial indizierte Schichtkeramik (z.B. HeraCeram Zirkonia 750) verwendet werden!
Die fertig ausgearbeitete Restauration kann mit HeraCeram cre-active Glaze / Glaze Fluo und HeraCeram cre-active 2D Massen individuell charakterisiert werden. Die Komponenten können individuell miteinander gemischt bzw. kombiniert werden. Alle pastösen Massen vor jedem Gebrauch mit einem metallfreien Spatel gut durchmischen. Auf Grund ihrer keramischen Basis können die pastösen Massen sedimentieren. HeraCeram cre-active 2D Espresso sowie HeraCeram cre-active Glaze und Glaze Fluo Komponenten sind in Pulverform erhältlich. Zur Herstellung des gebrauchsfähigen Zustands der pulverförmigen Massen werden die keramischen Pulver mit HeraCeram cre-active Liquid (CAL) angemischt. Durch das Benetzen der Keramikoberfläche mit HeraCeram cre-active Liquid (CAL) werden Schichtung und Farbeindruck besser sichtbar.
Vor dem Auftragen der HeraCeram cre-active 3D Komponenten muss die Oberfläche bereits mit einer Schicht HeraCeram cre-active 2D oder HeraCeram cre-active Glaze / Glaze Fluo versehen und gebrannt sein. Auf Zirkoniumdioxid- oder Lithiumdisilikat-Gerüstoberflächen kann alternativ HeraCeram Zirkonia 750 Adhesive mit einem Pinsel in einer gleichmäßig dünnen Schicht (Wash) aufgetragen und unter Vakuum gebrannt werden (Brandführung siehe Brenntabelle in der Gebrauchsanweisung HeraCeram Zirkonia 750). HeraCeram cre-active 3D Komponenten vor jedem Gebrauch mit einem metallfreien Spatel gut durchmischen. Auf Grund ihrer keramischen Basis können die pastösen Massen sedimentieren. Anschließend die gewünschten HeraCeram cre-active 3D Massen auftragen und mit einem sauberen Pinsel in die gewünschte Form modellieren. Die Komponenten können individuell miteinander gemischt bzw. kombiniert werden. Die Konsistenz der HeraCeram cre-active 3D Massen kann durch vorsichtige Zugabe von HeraCeram cre-active Liquid (CAL) oder HeraCeram cre-active Glaze / Glaze Fluo Komponenten individuell eingestellt werden. Die optimale Schichtstärke der HeraCeram creactive 3D Massen beträgt 0,1 bis max. 0,3 mm.
Der Glanzgrad und die Textur der Keramikoberfläche können beim Brennen über die Temperatur und die Haltezeit gesteuert werden. Daher dienen die Angaben zu Brenntemperaturen und Haltezeit nur der Orientierung und müssen gegebenenfalls angepasst werden, um das gewünschte Ergebnis zu erzielen. Brandführung siehe Allgemeine Brenntabellen.
Arbeitsumgebung
Achten Sie auf die Sauberkeit der Pinsel, des metallfreien Spatels und der Arbeitsumgebung. Jede Verunreinigung von außen kann das ästhetische Ergebnis nach dem Brand negativ beeinflussen. Gefahr von Verunreinigungen!
Lagerung
Gebinde nach Produktentnahme sorgfältig wieder verschließen, um Verschmutzungen, Verklumpungen und Austrocknung zu vermeiden. Keine besonderen Lagerbedingungen erforderlich.
Sollte die Konsistenz der HeraCeram cre-active 2D oder 3D Pasten bzw. der HeraCeram cre-active Glaze / Glaze Fluo Pasten durch längere Lagerung trockener und damit fester werden, kann durch vorsichtiges Zudosieren des HeraCeram cre-active Liquids (CAL) die Viskosität wieder eingestellt werden.
Kontakt Deutschland
Kontakt Österreich
Außendienst Suche