21.05.2024
| Zitat zur Verwendung von Venus Pearl Pure Shades in monochromatischer Schichtung: |
| „Die Formbarkeit von Venus Pearl ist wirklich gut. Es klebt nicht am Spatel und haftet gut in der Kavität. Das hat den Vorteil, dass man weniger Kompositmassen hat und dass man nicht verschiedene Farben schichten muss.“ |
| KLINISCHER FALL |
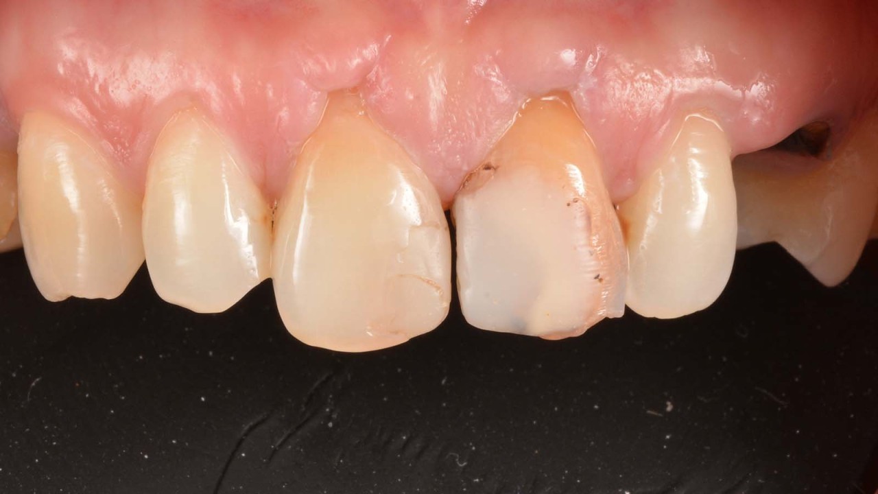
Unzureichende Kompositrestauration an Zahn 11.
Präparierte Kavität an Zahn 11 mit Silikonindex.
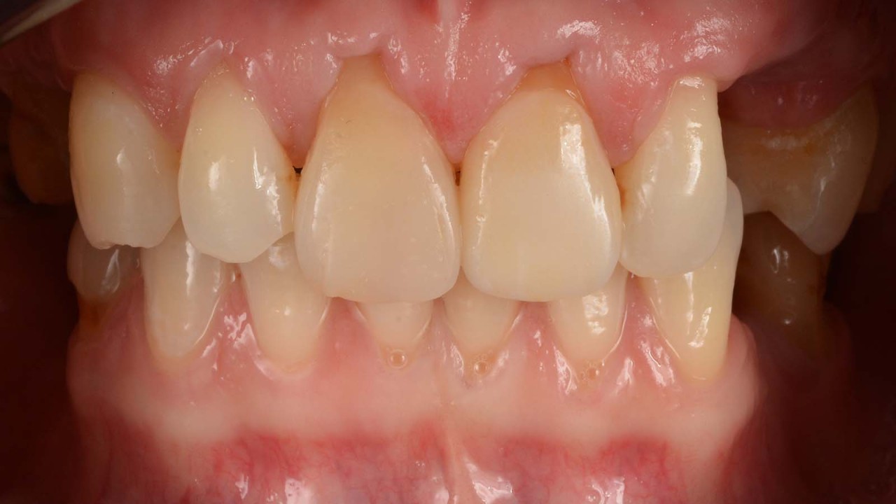
Endergebnis mit Venus Pearl LIGHT an Zahn 11 in monochromatischer Schichtung (Zahn 21 wurde mit einer Lithium-Disilikat-Krone versorgt).
Verwendete Produkte
Entdecken Sie die Kulzer Produkte, die in diesem Fall verwendet werden, und folgen Sie den Links für weitere Informationen:
Venus Diamond Pure Shades
Ähnliche Produkte
Gebrauchsanweisung:
Bitte beachten Sie bei der Verwendung der Medizinprodukte auch die entsprechenden Gebrauchsanweisungen (Gebrauchsanweisungen sind im e-IFU Portal verfügbar): Zum e-IFU Portal