10.10.2024
| "Die Patientin ist glücklich mit ihrem neuen Lächeln und die Integration des Komposits ist richtig. Die vereinfachten Venus Pearl Pure Shades liefern ein zufriedenstellendes und schnelles Ergebnis." |
| KLINISCHER FALL |
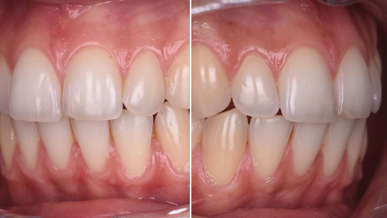
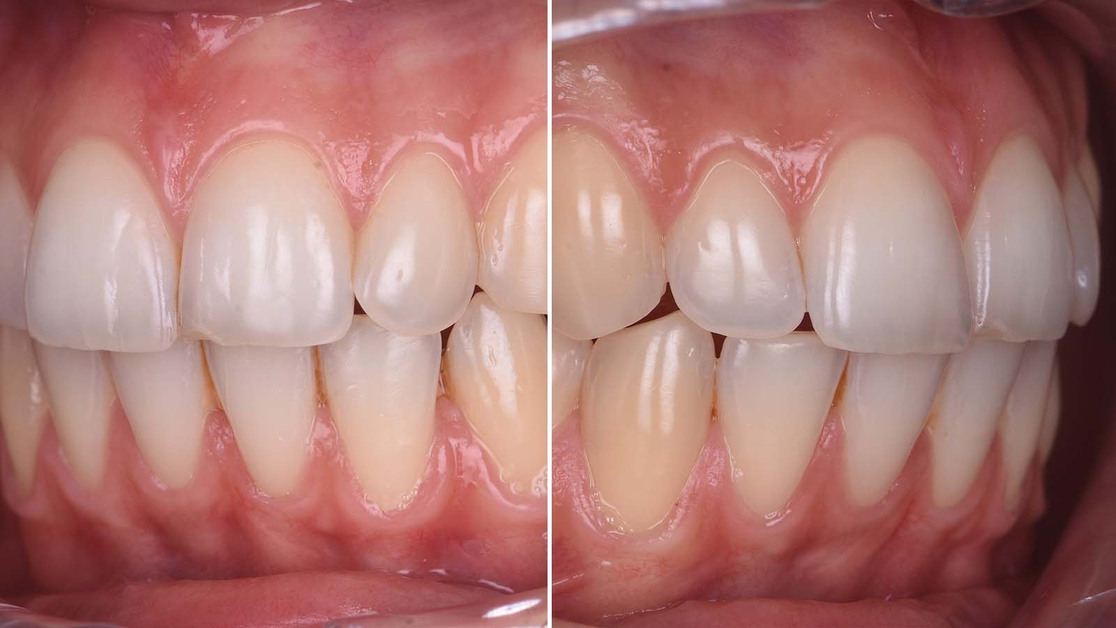
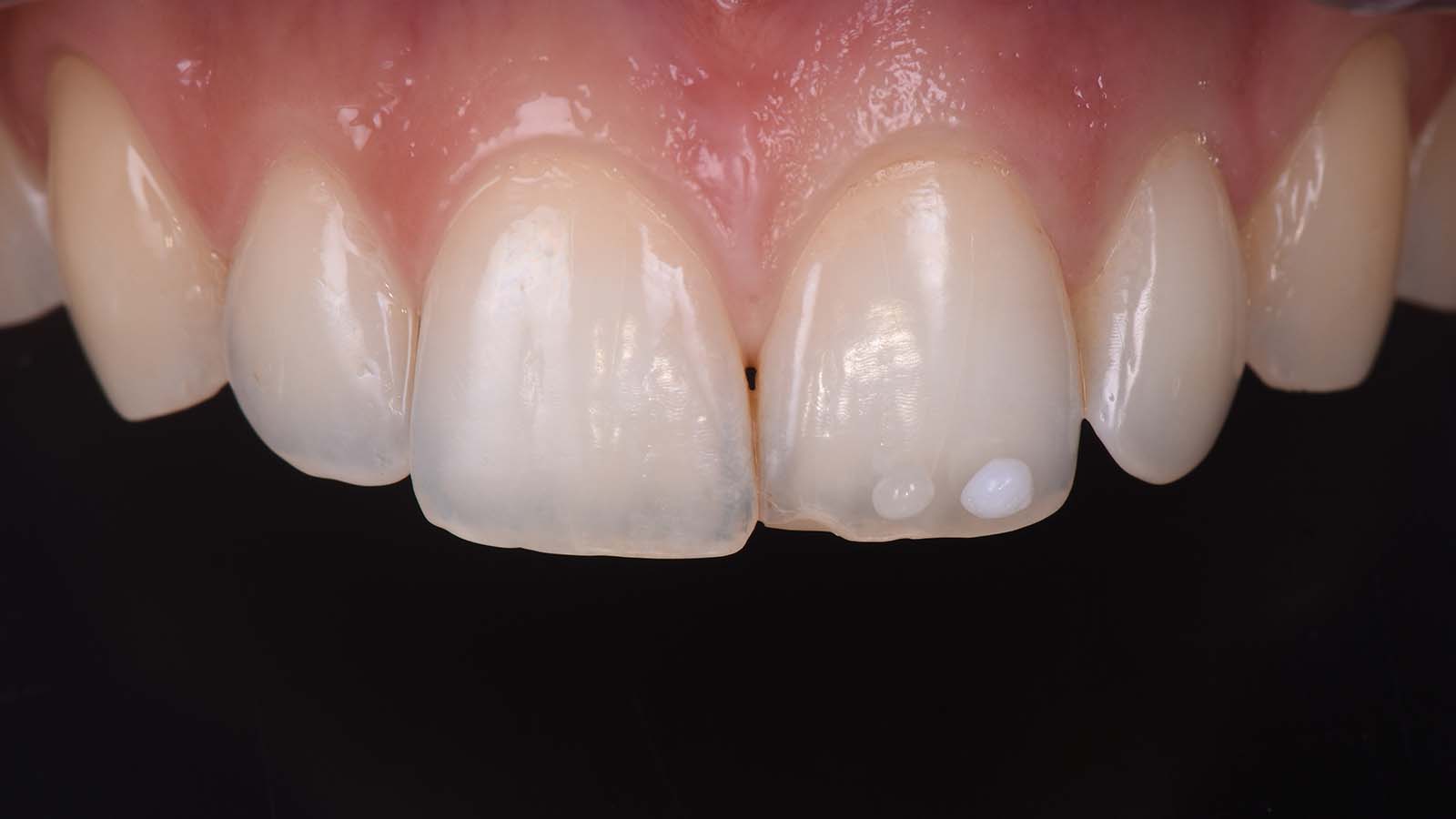
Dr. Mokhtari: „Die Patientin kam in meine Praxis, um die alte Kompositfüllung in ihrem oberen linken Schneidezahn zu ersetzen, da ihr die Form und die Farbe der Restauration nicht gefiel. Wir können einen Unterschied in Länge und Proportion zwischen den beiden mittleren Schneidezähnen feststellen. Das Komposit scheint zu kurz zu sein und die Farbe der Füllung passt nicht zum Rest des Zahns.
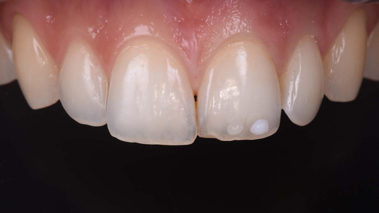
Ausgangssituation:
Seitliche Ansichten der Ausgangssituation.
Erkennen der Kompositfarbe vor dem Einrichten des Operationsfeldes, um eine Dehydrierung der Zähne und eine Farbveränderung zu vermeiden. Es wurde Venus Pearl LIGHT für die monochromatische Schichtung gewählt.
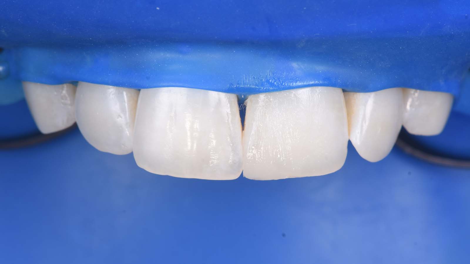
Einrichten des Operationsfeldes mit einem dicken Ivory Kofferdam. Obwohl wir nur an einem Zahn arbeiten, isolieren wir alle sechs Frontzähne, um dem Chirurg zu helfen, Symmetrie und Proportionen zu bewahren.
Nach dem Entfernen des alten Komposits wird eine Abschrägung vorgenommen, um den Lichtübergang und die Farbanpassung des neuen Komposits an den natürlichen Zahn zu erleichtern.
Schutz der Nachbarzähne, um zu verhindern, dass das Komposit während der Behandlung an ihnen haftet.
Vorbereiten der Zahnoberfläche: Ätzen mit iBOND Etch 35 Gel für 20 Sekunden.
iBOND Universal auftragen.
Bei kleinen Restaurationen verwenden Sie eine transparente Matrize, die Sie mit dem Daumen festhalten, um die Palatinalschale aufzubauen. Dieser einfache Trick hilft, schnell eine grobe Form zu modellieren, die beim Polieren verfeinert werden kann.
Nahaufnahme der Gaumenschale: Die Form ist unregelmäßig, dient aber als Vorlage für den Aufbau des Komposits. Es wird Venus Pure Shade LIGHT verwendet.
Aufbauen mit der vereinfachten Kompositfarbe Venus Pearl LIGHT. Der Pinsel hilft dem Komposit, sich sanft an die Zahnoberfläche anzulegen und Unregelmäßigkeiten und Blasen zu vermeiden.
Der Aufbau des Komposits ist abgeschlossen. Die Form ist korrekt, aber für eine natürlichere Textur sind Nachbearbeitung und Politur erforderlich.
Beginn der Politur mit Finierscheiben, die die Form und Oberflächenstruktur korrigieren. Diese Scheiben werden an der Inzisalkante und im bukkalen Bereich des Zahns verwendet.
Polieren des Komposits mit dem Venus Supra Polierset: Vorpolitur mit Flame Polierer, um die bukkale Oberfläche zu polieren und Reliefs zu erzeugen.
Polieren der bukkalen Seite mit einer anderen Form - der Venus Supra Twist Disc. Beginnend mit dem rosa Vorpolierer …
…und abschließend mit dem grauen Hochglanzpolierer.
Verwenden Sie einen Polierstreifen, um die approximalen Bereiche des Komposits zu polieren. Dieser Schritt ist wichtig, um eine weiche approximale Oberfläche zu erhalten und eine Entzündung der Papille zu verhindern.
Polieren vor dem Entfernen des Operationsfeldes beenden.
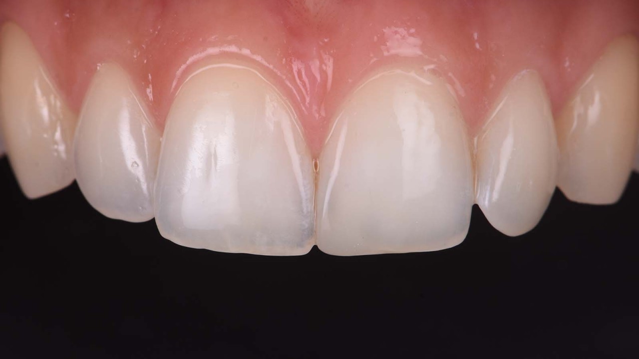
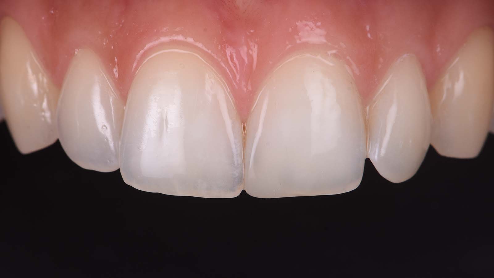
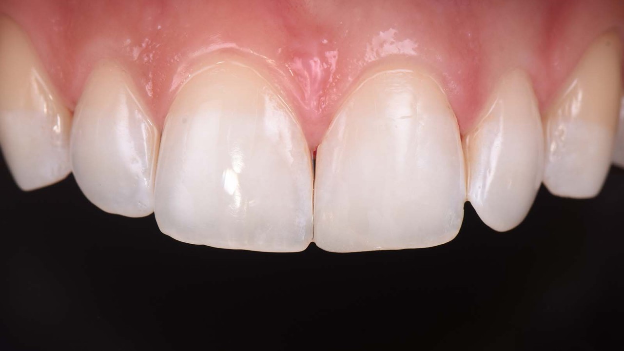
Das unmittelbare postoperative Ergebnis nach dem Polieren und Entfernen des Operationsfeldes ist zufriedenstellend, aber wir müssen auf die Rehydrierung der Zähne warten.
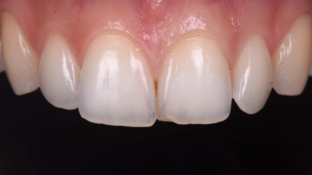
Endergebnis nach 1 Monat: Die Patientin ist mit ihrem neuen Lächeln zufrieden, und die Integration des Komposits ist korrekt. Die vereinfachte Kompositfarbe lieferte schnell ein zufriedenstellendes Ergebnis.
Verwendete Produkte
Entdecken Sie die in diesem Fall vorgestellten Kulzer-Produkte und folgen Sie den Links für weitere Informationen:
Gebrauchsanweisung:
Bitte beachten Sie bei der Verwendung der Medizinprodukte auch die entsprechenden Gebrauchsanweisungen (Gebrauchsanweisungen sind im e-IFU Portal verfügbar): Zum e-IFU Portal