01.06.2024
Ein klinischer Fall unter Verwendung der vereinfachenden Venus Pearl Pure Shades.
Dr. Riccardo Baratto, ästhetischer Zahnarzt, stellt eine detaillierte Fallstudie über die Restauration zweier zentraler Schneidezähne (Zähne 11 und 21) unter Verwendung des Venus Pearl Pure Shade Komposits in monochromatischer (einfarbiger) Schichtung vor. Dieser Artikel beschreibt das schrittweise Vorgehen, hebt die Vielseitigkeit des Produkts hervor und zeigt die Ergebnisse, die mit einer sehr vereinfachten Technik durch die einfarbige Schichtung erzielt wurden.
| KLINISCHER FALL |
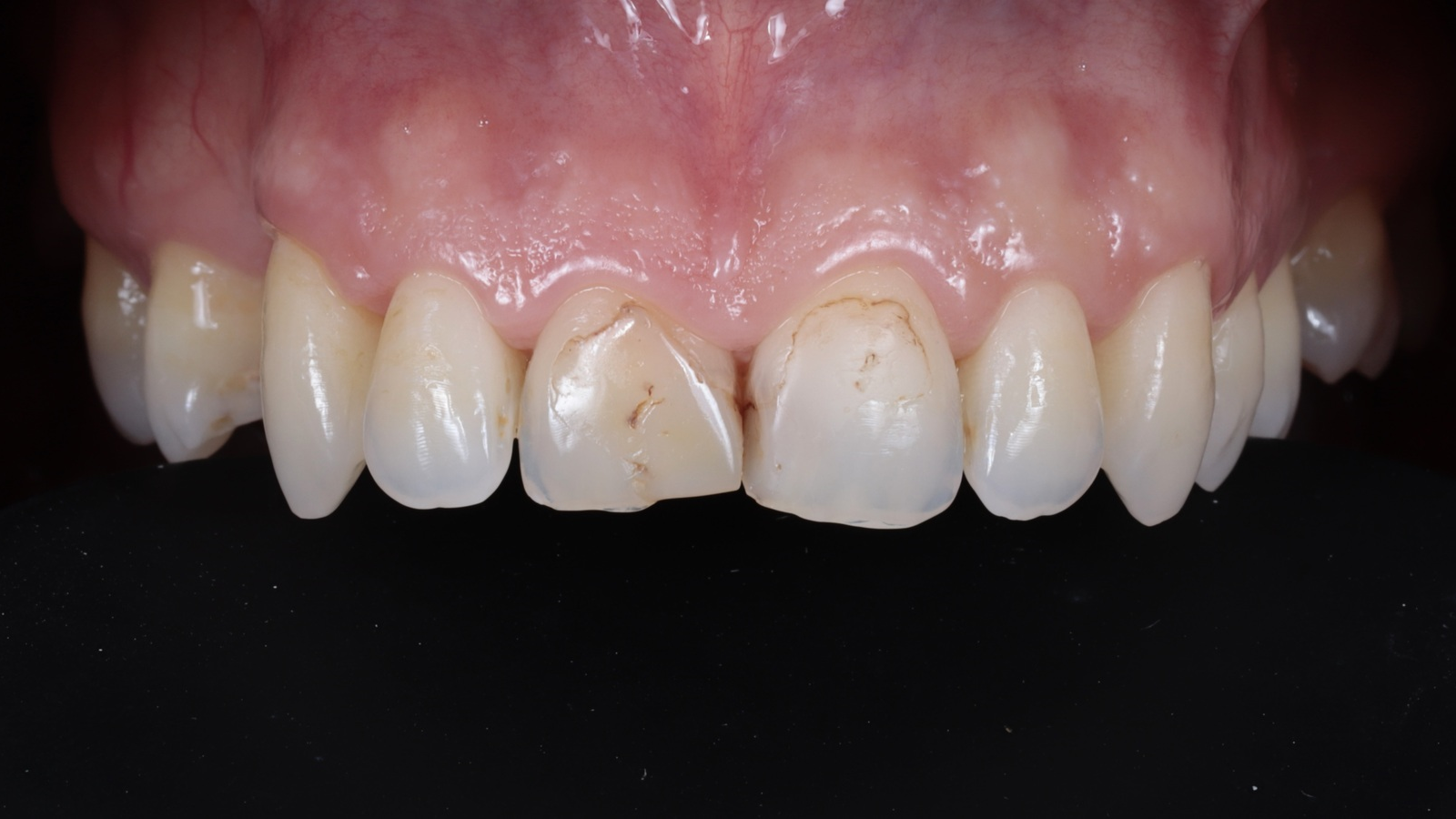
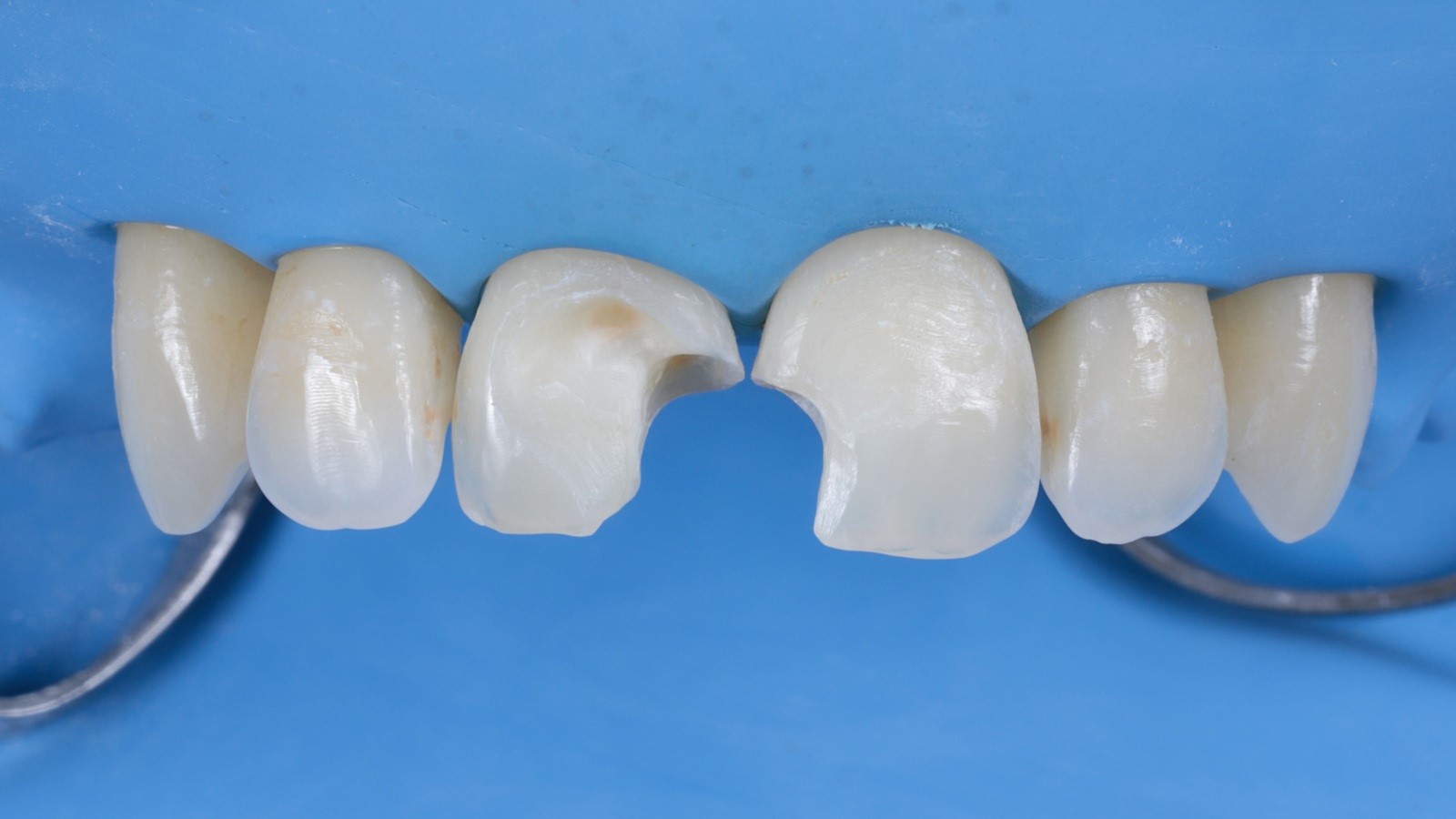
Der Patient stellte sich mit insuffizienten Kompositfüllungen an den Zähnen 11 und 21 vor. Das Ziel war es, die zentralen Schneidezähne mit einer einzigen Farbe zu restaurieren, um ein natürliches, ästhetisches Aussehen zu erreichen.
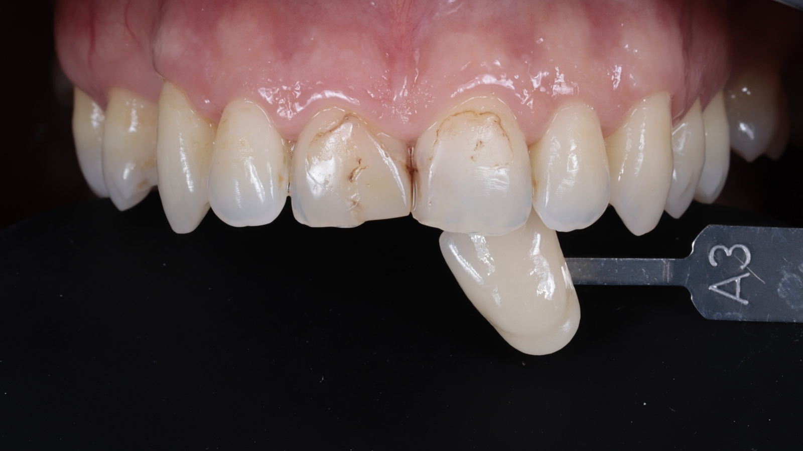
Mit Venus Pure Shades wird die Farbwahl leicht gemacht: Wählen Sie einfach zwischen den Grundfarben LIGHT, MEDIUM, DARK (diese decken das Farbspektrum A1-D4 ab) und dem zusätzlichen BLEACH-Farbton. Die Farbanpassung der Venus Pure Shades führt zu einer nahtlosen Integration an die natürliche Zahnfarbe. Mit Hilfe der Umrechnungsskala wurde die MEDIUM-Farbe (passend zu VITA®* A3) gewählt, um den natürlichen Zähnen dieser Patientin zu entsprechen.
| *Vita® ist eine eingetragene Marke der VITA Zahnfabrik. |
Das Arbeitsfed wurde isoliert, um eine saubere und trockene Arbeitsumgebung zu schaffen.
Das alte Komposit und das kariöse Gewebe wurden sorgfältig entfernt, um die Zähne für die neue Restauration vorzubereiten.
Die Zähne wurden mit 35%iger Orthophosphorsäure geätzt und mit iBOND Universal (Kulzer) gebondet.
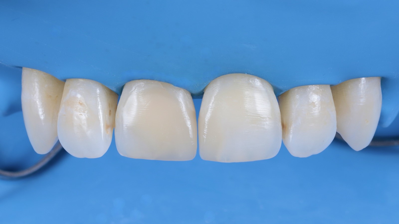
Venus Pearl (Farbe: MEDIUM) wurde zur Rekonstruktion der Zähne in einer einfarbigen Schichttechnik verwendet. Dieser Ansatz kann das restaurative Verfahren beschleunigen und die Behandlungszeit erheblich verkürzen.
Nach der Rekonstruktion der Zähne mit Komposit waren die Restaurationen bereit für das Finishing zur Verfeinerung der Form.
Die Restaurationen wurden noch unter dem Kofferdam poliert.
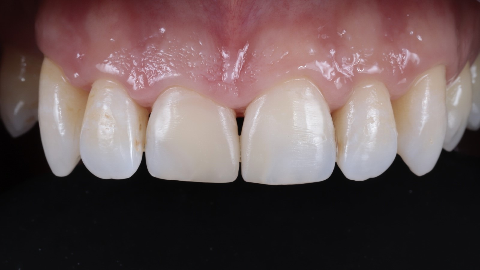
Der Kofferdam wurde entfernt, und die fertig polierten Restaurationen kamen zum Vorschein.
Nach der Rehydrierung haben sich die Restaurationen vollständig in die natürliche Zahnsubstanz integriert. Das Komposit entwickelte eigenständig Bereiche mit Transluzenz, die auf der geschaffenen Dichte basieren, was zu einem hochästhetischen und natürlichen Aussehen führte.
| VENUS PEARL PURE SHADES |
decken etwa 90 % der Restaurationen im Front- und Seitenzahnbereich ab |
| MIT NUR 4 FARBTÖNEN. |
| *Vita® ist eine eingetragene Marke der VITA Zahnfabrik. |
Verwendete Produkte
Entdecken Sie die Kulzer Produkte, die in diesem Fall verwendet werden, und folgen Sie den Links für weitere Informationen:
Diese Fallstudie zeigt die Wirksamkeit von Venus Pearl Pure Shades bei der Herstellung natürlicher und ästhetisch ansprechender Restaurationen, wie Dr. Riccardo Baratto bestätigt: „Venus Pearl Pure Shades sind ein fantastisches Komposit. Es ist sehr vielseitig, einfach in der Anwendung und vereinfacht viele Aspekte des Restaurationsprozesses. Seine Fähigkeit, sich unabhängig von der Kontur zu verankern, verbessert den Prozess der Farbgebung erheblich. ”
Die Venus Pearl Pure Shades sind für alltägliche Restaurationen im Front- und Seitenzahnbereich konzipiert. Die einfache Auswahl von vier Farben vereinfacht nicht nur das Verfahren, sondern erzielt auch hervorragende Ergebnisse bei der monochromatischen Schichtung und reduziert gleichzeitig Stress und mögliche Fehler bei der Farbauswahl.
Ähnliche Produkte
Gebrauchsanweisung:
Bitte beachten Sie bei der Verwendung der Medizinprodukte auch die entsprechenden Gebrauchsanweisungen (Gebrauchsanweisungen sind im e-IFU Portal verfügbar): Zum e-IFU Portal