Entdecken Sie, wie Venus Bulk Flow ONE eine schnelle und effiziente Möglichkeit bietet, Zähne mit einer universellen Farblösung zu restaurieren, ohne dass eine zusätzliche Deckschicht aus traditionellem Komposit oder Universalkomposit aufgetragen werden muss. Im klinischen Fallbeispiel von Prof. Dr. Claus-Peter Ernst werden die einfache Anwendung und die herausragenden ästhetischen und restaurativen Eigenschaften von Venus Bulk Flow ONE demonstriert.
Venus Bulk Flow ONE ist ein neues Komposit, das eine Bulk-Fill-Lösung bietet, ohne dass eine zusätzliche Deckfüllung bei Kavitäten bis 4mm erforderlich ist. Dank seiner fließfähigen Konsistenz ist es einfach zu handhaben und kann aufgrund seiner Bulk-Fill-Eigenschaften in bis zu 4 mm Schichtstärke verwendet werden, was es zum idealen Komposit für Zahnärzte und Zahnärztinnen macht, die einen schnellen und effizienten Restaurationsprozess suchen. Außerdem passt es sich dank ONE Shade jeder Zahnfarbe von A1 bis D4 an und sorgt für einen nahtlosen Übergang und ein natürliches Aussehen.
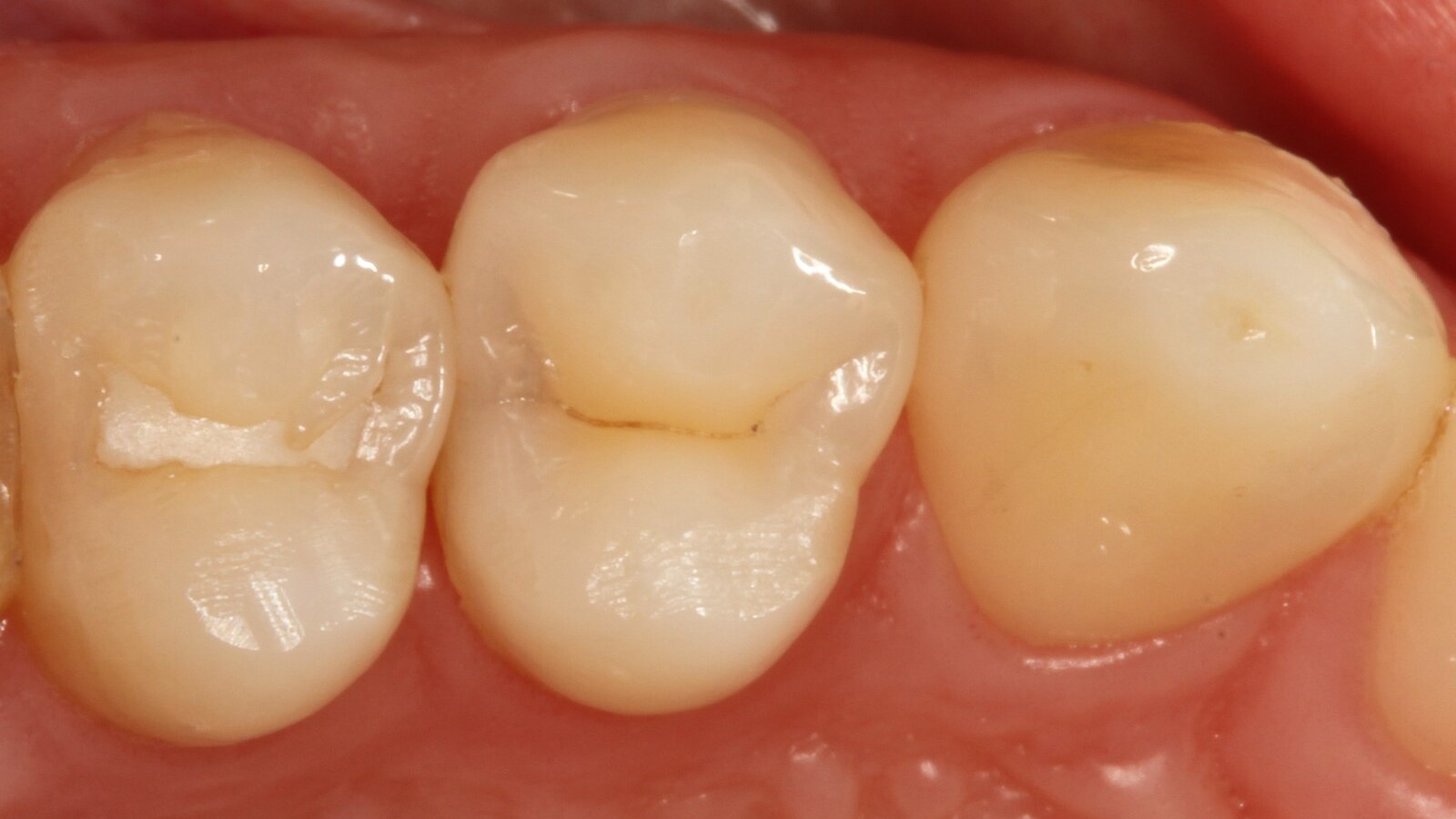
Prof. Dr. Claus-Peter Ernst, Zahnarzt und Lehrbeauftragter an der Universitätsklinik der Johannes Gutenberg-Universität in Mainz, verwendete Venus Bulk Flow ONE zur Restauration der Aproximalkaries eines Patienten an der distalen Fläche des ersten oberen linken Prämolaren. Dieser Fall veranschaulicht die Vielseitigkeit und einfache Anwendung von Venus Bulk Flow ONE, die es zu einer ausgezeichneten Wahl für eine Reihe von Indikationen macht, während es gleichzeitig eine außergewöhnliche Festigkeit und Ästhetik bietet.
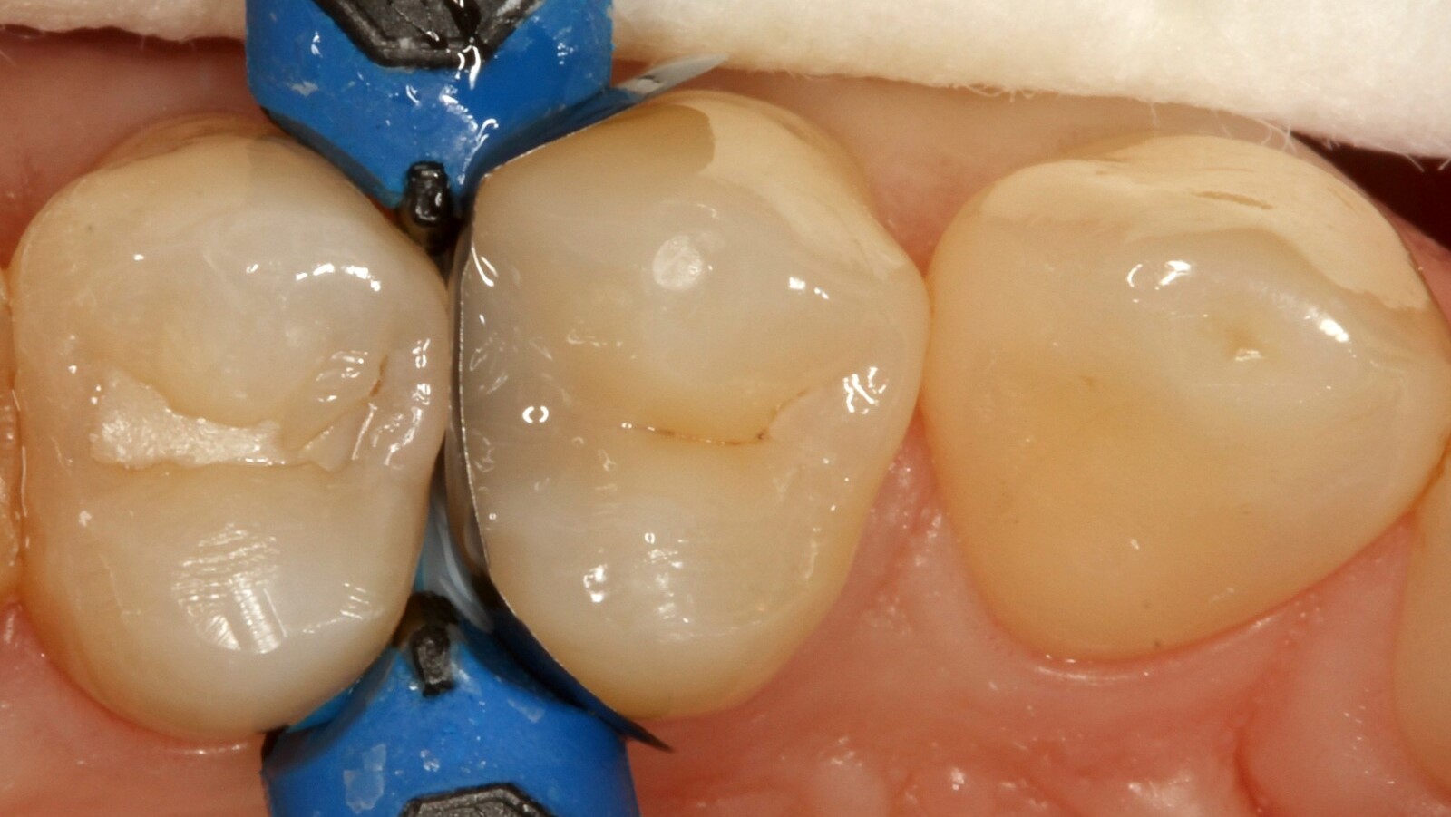
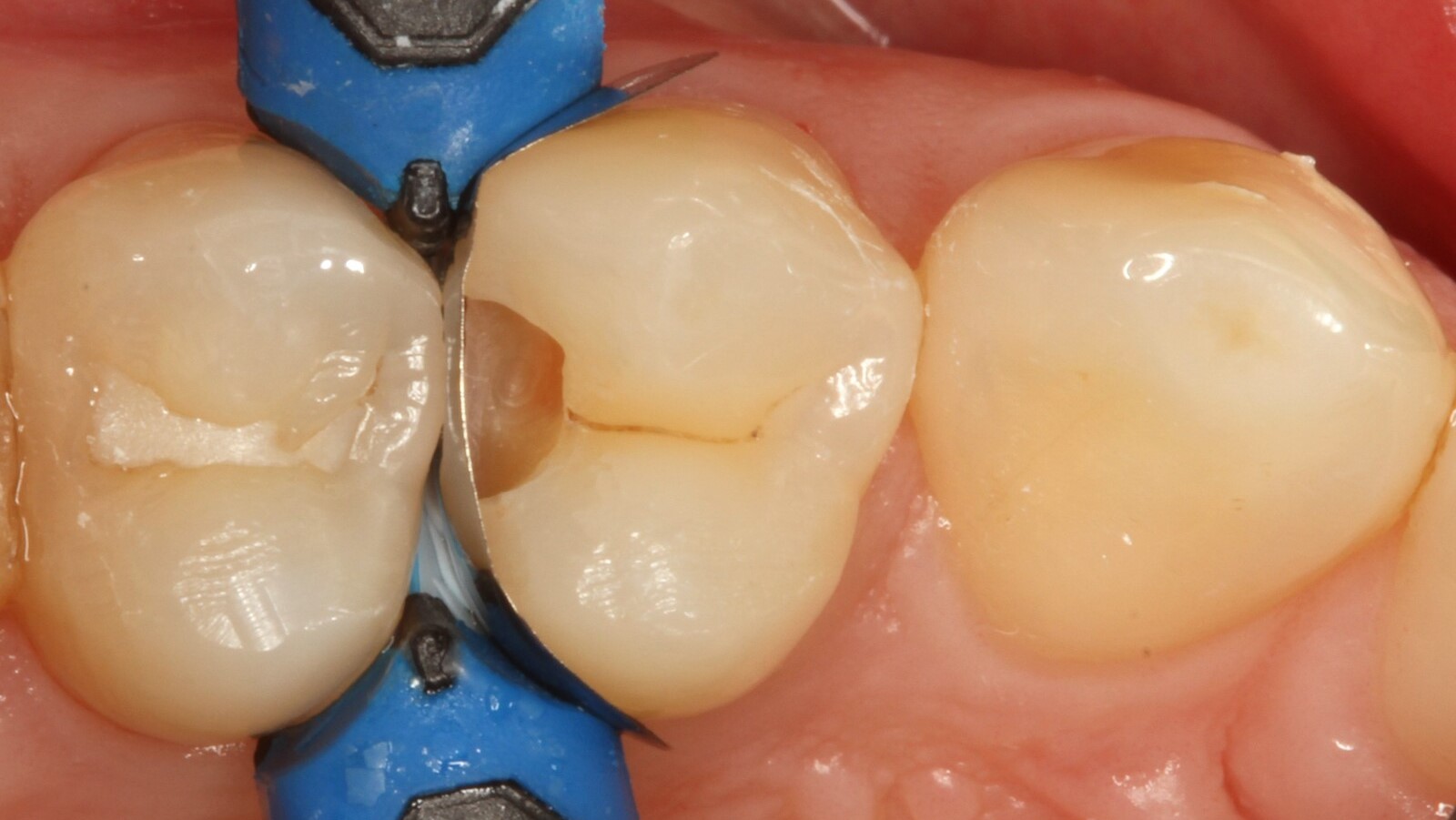
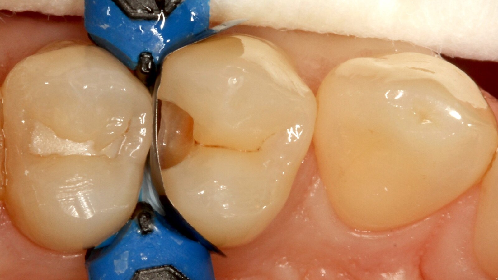
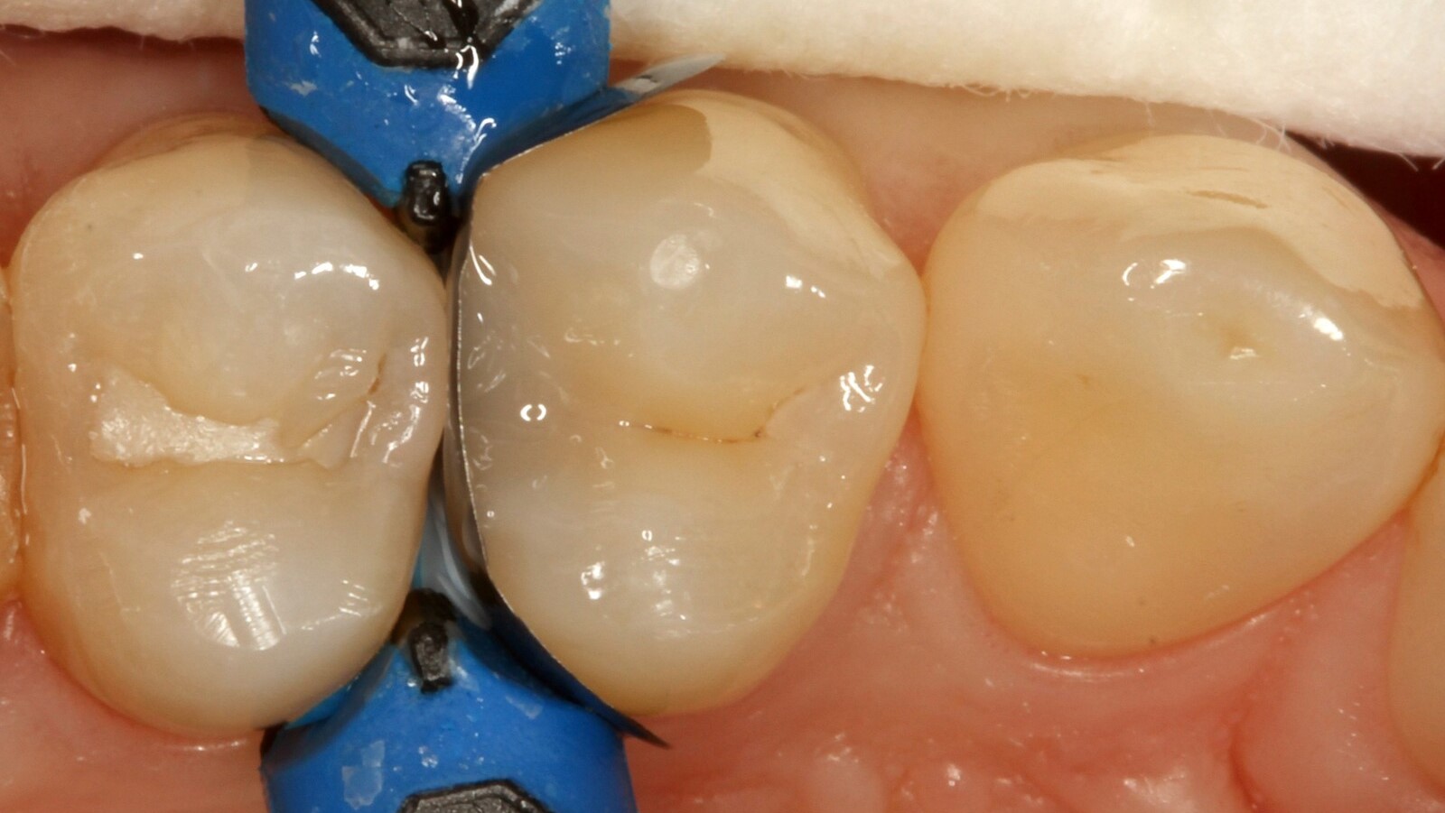
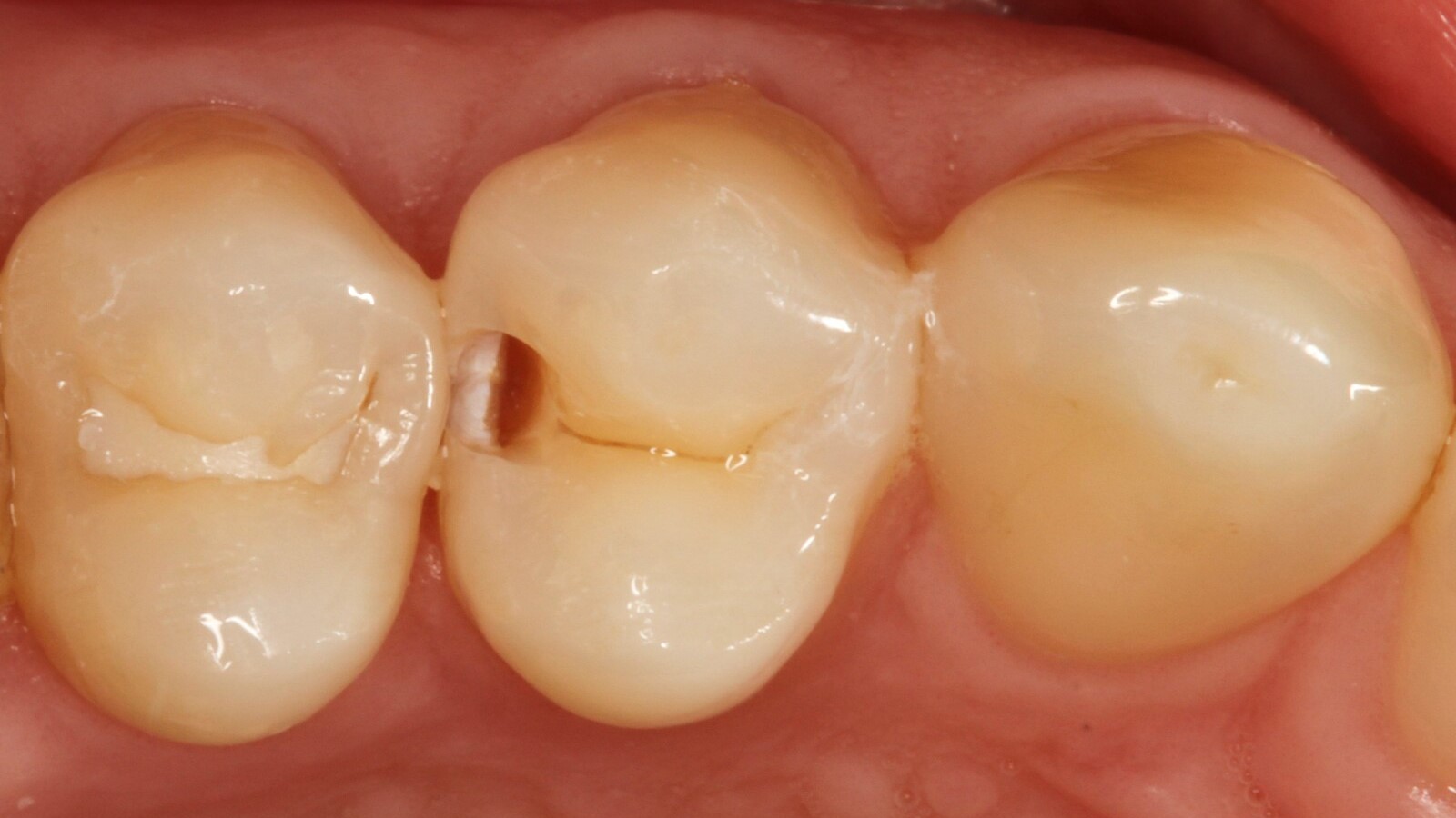
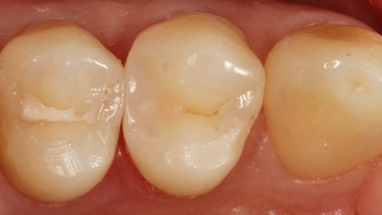
Professor Ernst identifizierte zunächst die versteckte Karies und öffnete die kariöse Läsion, um dem Patienten das Problem zu veranschaulichen (Abb. 1-2). Anschließend exkavierte er die Karies, präparierte die Kavität und setzte eine Teilmatrize ein (Abb. 3), bevor er die Kavität mit Adhäsiv versiegelte (Abb. 4). In einem einzigen Schritt füllte er die Kavität mit Venus Bulk Flow ONE (Abb. 5). Nach der Fertigstellung polierte Prof. Ernst die Restauration (Abb. 6) und fertigte ein Kontrollröntgenbild an, das ebenfalls die hervorragende Röntgenopazität von Venus Bulk Flow ONE zeigt (Abb. 7).
Venus Bulk Flow ONE ist ein vielseitig einsetzbares Komposit, das für ein breites Spektrum von Indikationen geeignet ist: Es kann für direkte Restaurationen der Klassen I, II, III und V, für Reparaturen von direkten und indirekten Restaurationen, als erste Schicht in Kavitäten der Klassen I und II, zur Schienung gelockerter Zähne und zur erweiterten Fissurenversiegelung verwendet werden. Aufgrund seiner Viskosität und seines kontrollierten Fließverhaltens eignet es sich bestens zur Schienung von gelockerten Zähnen, die durch ein Trauma oder parodontale Ereignisse entstanden sind. Darüber hinaus bietet es einen zusätzlichen Schutz für die Zahnoberfläche und ist daher eine hervorragende Option für die erweiterte Fissurenversiegelung. Venus Bulk Flow ONE ermöglicht Zahnärzten dank seiner geringen Schrumpfung, seiner hohen Biegebruchfestigkeit und seiner Abrasionsstabilität langlebige Restaurationen.
Einer der Hauptvorteile von Venus Bulk Flow ONE ist die zeitsparende Anwendung in einem Schritt, die gleichbleibende Ergebnisse garantiert. Das Komposit muss nicht geschichtet werden und kann daher in einem einzigen Schritt aufgetragen werden. Venus Bulk Flow ONE kann in Inkrementen von bis zu 4 mm mit der Bulk Filling- oder Bulk & Body-Technik verwendet werden. Das Komposit lässt sich aufgrund seiner guten Fließfähigkeit leicht platzieren. Nach dem Einbringen in die Kavität wird das Komposit mit einem Lichthärtegerät ausgehärtet, um den Restaurationsprozess abzuschließen.
Die Aushärtungstiefe von Venus Bulk Flow ONE beträgt bis zu 4 mm und die Aushärtungszeit 20 Sekunden. Es wird empfohlen, ein geeignetes Lichthärtungsgerät zu verwenden, das ein Wellenlängenspektrum von 450-480 nm abdeckt und eine Lichtleistung im Bereich von 1550-600 mW/cm² abgibt.
Manager Corporate Communications
Matthias Brehmke