Elevate your monolithic restorations with HeraCeram cre-active's "Just stain" concept. Achieve stunning results effortlessly using our 2D liquid ceramic stains.
Thomas Backscheider, dental technician
"I'll show you how to achieve fascinating results with 2D staining – true to the motto: bring love from the palette to the tooth."
Standard Staining of central incisor in 1 firing - Video Tutorial
JUST STAIN CONCEPT
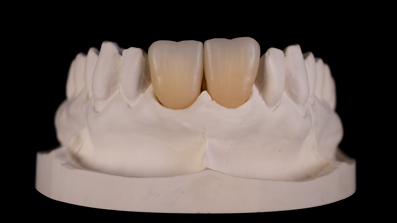
Zirconia multi-layer frames in A3 - ready for individualisation.
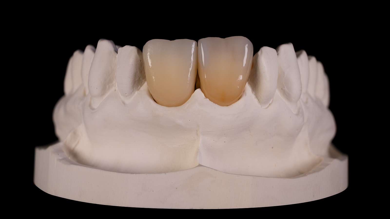
Thinly coat the surface with HeraCeram cre-active Glaze and enhance the chroma in the cervical area with HeraCeram cre-active 2D Peanut
Create transparency effect in incisal area with HeraCeram cre-active 2D Aubergine.
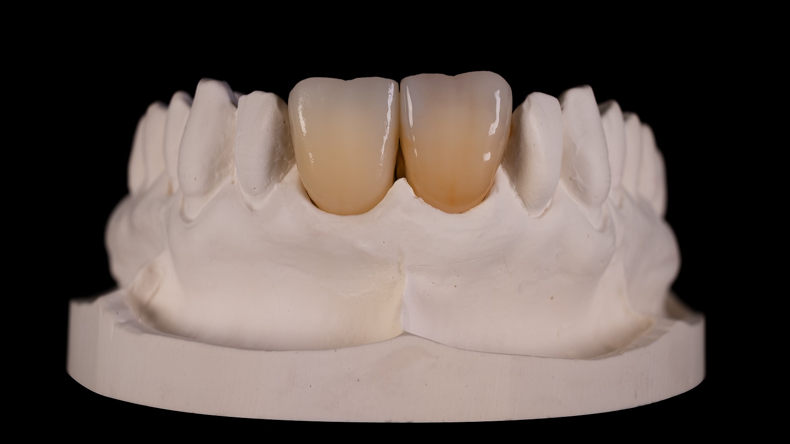
Apply HeraCeram cre-active 2D Anthracite distally and blend out towards the incisal edge. Apply HeraCeram cre-active 2D Pacific mesially and spread towards the incisal edge.
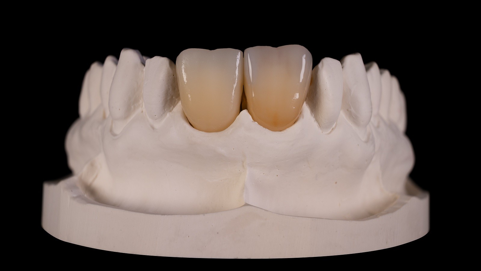
Adapt tooth colour with HeraCeram cre-active 2D Body A in dentin area.
Final result after HeraCeram cre-active 2D firing.