Kann man mit weniger Schichten die gleichen ästhetischen Ergebnisse erzielen wie mit traditionellen mehrschichtigen Verfahren? Eine aktuelle Studie zeigt, dass Venus Pearl Pure Shades vergleichbare ästhetische Ergebnisse bei der Farbanpassung liefern wie polychromatische Techniken und Fehler bei der Farbauswahl um 67 % reduzieren können.
Könnte weniger wirklich mehr sein?
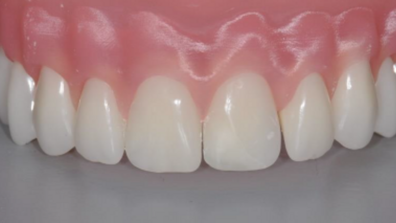
Traditionell ist die polychromatische Schichtung der Goldstandard für naturgetreue Restaurationen, insbesondere im Frontzahnbereich. Dieser Ansatz ahmt die natürliche Zahnstruktur nach, indem verschiedene Komposite geschichtet werden, um Farbverläufe, Transluzenz und Opaleszenz zu replizieren. Diese Technik ist jedoch komplex, zeitaufwändig und anfällig für Fehler bei der Farbanpassung, was im zahnärztlichen Alltag, wo die Zeit oft knapp ist und ein vereinfachter Ansatz wünschenswert ist, eine Herausforderung darstellen kann.
Was aber, wenn ein neues Farbsystem diesen Prozess vereinfachen und gleichzeitig ästhetisch ansprechende Ergebnisse erzielen könnte? Eine aktuelle In-vitro-Studie der Universität Heidelberg* zeigt, dass dies möglich ist. Durch die Verwendung von Venus Pearl Pure Shades in monochromatischer Schichtung können ästhetisch ansprechende Farbanpassungsergebnisse erzielt werden, die mit einer polychromatischen Schichtung vergleichbar sind und gleichzeitig von einem rationalisierten Arbeitsablauf profitieren.
Heidelberger Studie: 67% weniger Fehler bei der Farbwahl
In der In-vitro-Studie, die mit 64 fortgeschrittenen Zahnmedizinstudenten durchgeführt wurde, wurde die Leistung von Venus Pure Shades in Kavitäten der Klassen III und IV an hochästhetischen Zahnmodellen getestet. Durch den Vergleich von monochromen und polychromen Schichtungen kamen die Forscher zu mehreren bemerkenswerten Ergebnissen:
Vereinfachung der Ästhetik ohne Kompromisse
Venus Pearl Pure Shades reduzieren die Komplexität ohne Qualitätseinbußen durch ein "Gruppenfarbsystem". Das System bietet drei intuitive Optionen - LIGHT, MEDIUM und DARK - die die gesamte Palette der 16 Vita-Farben und den Farbton BLEACH für die Behandlung von gebleichten Zähnen abdecken. Da es nicht mehr notwendig ist, zwischen nahe beieinander liegenden Farbtönen wie A2 und A3 zu unterscheiden, machen die Venus Pure Shades die Farbauswahl einfacher und zuverlässiger.
Mit der perfekten Balance von Transluzenz, Farbton und Chroma deckt jede Venus Pearl Pure-Farbe einen Teil der 16 Vita-Farben ab und fügt sich bei monochromer Anwendung nahtlos in die umgebende Zahnstruktur ein. Dies minimiert potenzielle Probleme, die mit polychromen Schichtungen verbunden sind, wie z. B. die Verwendung von zu viel Schneidemasse im Inzisalbereich, die zu einem unerwünschten grauen Aussehen und einem Mangel an natürlichen Ergebnissen führen kann. Darüber hinaus wird diese Einfachheit durch die überlegenen Materialeigenschaften der bekannten TCD-Urethanmatrix ergänzt.
Für den Praktiker bedeuten die Venus Pure Shades:
Warum Venus Pure Shades für alle Zahnärzte von Nutzen sein können
Die Vorteile von Venus Pearl Pure Shades gehen weit über die Vereinfachung der restaurativen Arbeit für Zahnmedizinstudenten hinaus. Diese Materialien sind eine praktische Wahl für jeden Zahnarzt, der seinen Arbeitsablauf im Praxisalltag optimieren möchte.
In vielbeschäftigten Praxen können sich Zeit- und Kosteneinsparungen schnell summieren. Durch die Reduzierung komplexer Schichtungsverfahren und die Minimierung potenzieller Fehler bei der Farbanpassung ermöglichen Venus Pure Shades dem Zahnarzt, sich auf die Patientenversorgung zu konzentrieren und gleichzeitig hochwertige, ästhetisch ansprechende Restaurationen zu liefern.
* Heidelberg University Hospital, Department of Conservative Dentistry: Shade matching of monochromatic and polychromatic composite restorations – an in vitro study, test report 2024
Manager Corporate Communications
Matthias Brehmke